Anatomie radiologique
La radioanatomie est une technique utilisée dans le domaine de l'anatomie qui repose sur l'exploitation de films radiographiques[1]. Le film radiographique représente l'image bidimensionnelle d'un objet tridimensionnel en raison de la projection de différentes structures anatomiques sur une surface plane.

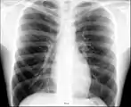
Anatomie radiographique d'une poitrine humaine.
En raison des compétences nécessaires à la lecture correcte des images, l'anatomie radiologique est la base de la formation des radiologistes, et une composante de la formation des étudiants en médecine.
Notes et références
- (en) Cet article est partiellement ou en totalité issu de l’article de Wikipédia en anglais intitulé « Radiographic anatomy » (voir la liste des auteurs).
- « What Is Radiographic Anatomy? », wiseGEEK (consulté le )
Liens externes
- Portail de la médecine
- Portail de l’anatomie
Cet article est issu de Wikipedia. Le texte est sous licence Creative Commons – Attribution – Partage à l’identique. Des conditions supplémentaires peuvent s’appliquer aux fichiers multimédias.