Anneau de Cabot
L'anneau de Cabot est une structure cellulaire parfois présente dans le globule rouge et correspondant à des vestiges de fuseau mitotique.

Histoire
L'anneau est décrit en 1903 par Richard Clarke Cabot (en)[1] médecin américain et d'abord connu sous le nom de Cabot's ring body[2].
Description
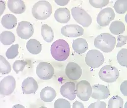
Il s'agit d'un inclusion cellulaire anormale en forme d'anneau, parfois tourné en huit[2] ayant l'aspect de fins filaments rouge-violet formant un anneau ou une boucle à l'intérieur d'une hématie le plus souvent polychromatophile (souvent de pair avec une ponctuation basophile), correspondant à des reliquats des microtubules du fuseau mitotique[3],[4]. Sauf situations exceptionnelles, leur nombre est toujours très faible, moins d'une hématie anormale pour 20 à 30 champs de microscope[3].

Signification pathologique
Ce type d'anomalies s’observe surtout lors d'anémies sévères, dans les grandes dysérythropoïèses (anémies mégaloblastiques, myélodysplasies, …), la splénomégalie myéloïde, en cas de saturnisme, et parfois chez les patients splénectomisés[2],[3].
Références
- Bernard Hœrni, « Richard Cabot (1868-1939) ou la médecine dans toutes ses dimensions », La Revue du praticien, vol. 70, , p. 575-7 (ISSN 0035-2640, lire en ligne).
- « Anneau de Cabot », sur Dictionnaire médical de l'Académie de Médecine, (consulté le ).
- « Anomalies morphologiques des hématies », sur Hematocell (consulté le ).
- (en) Richard A. McPherson et MR Pincus, Henry's clinical diagnosis and management by laboratory methods, Philadelphia, PA, Elsevier/Saunders, , 22e éd., 1543 p. (ISBN 978-1-4377-0974-2), p. 526
- Portail de la biologie cellulaire et moléculaire
- Portail de l’hématologie