Cervicalgie
On parle en médecine de cervicalgie pour désigner une douleur du cou. Il s'agit d'un terme générique et une cervicalgie peut avoir plusieurs causes[1]. Les plus fréquentes sont un traumatisme au niveau du rachis cervical, l'arthrose cervicale et une hernie discale[2].

Définition
La cervicalgie se définit comme une douleur localisée sur la partie haute de la colonne vertébrale, plus précisément au niveau des vertèbres cervicales (nuque).
Même si les cervicalgies sont généralement sans conséquence grave, elles peuvent limiter les mouvements de la personne qui en souffre.
Mais attention, une cervicalgie peut s'accompagner de maux de tête, de troubles du sommeil, de fourmillements dans un bras ou dans les doigts... ou parfois de fièvre.
Il existe différentes douleurs, chroniques ou aiguës (qui durent 2 à 3 jours) .
Épidémiologie
30 à 50 % de la population serait concernée chaque année. La cervicalgie aiguë la plus connue est le torticolis.
Chez les plus de 50 ans, il s’agit généralement d’arthrose alors que chez les plus jeunes, le torticolis passe au premier plan.
La cervicalgie est fréquente, touche souvent plus de femmes que d'hommes, et représente une source importante d'invalidité, car elle peut gêner la personne dans sa vie de tous les jours y compris son travail.
Causes
Il existe plusieurs types de cervicalgies :
- La cervicalgie mécanique. C'est la structure articulaire qui est touchée. C'est le cas de l’arthrose cervicale, par exemple. Le problème peut être lié aussi à un canal cervical étroit (la moelle épinière présente dans la colonne vertébrale cervicale, se trouve à l'étroit).
- La cervicalgie traumatique. Elle résulte d'un choc, comme le « coup du lapin » ou d'une chute.
- La cervicalgie posturale. Elle est provoquée par une mauvaise position, au travail le plus souvent. De mauvaises postures répétées quotidiennement entraînent à la longue des douleurs cervicales. Ce sont les muscles mais aussi les articulations qui peuvent être concernées.
- La cervicalgie viscérale. La douleur est due à des problèmes (comme une infection) survenant dans le pharynx, le larynx, l’œsophage... Ainsi, une forte angine peut déclencher une cervicalgie.
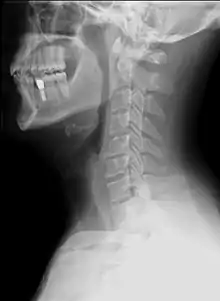
Examens paracliniques
Les examens dépendent du contexte et dans un premier temps seront simples
- Une radiographie du rachis cervical de face et de profil et en fonction de la localisation un autre cliché cette fois de face et la bouche ouverte pour voir les deux premières vertèbres cervicales ;
- Un bilan inflammatoire ne sera réalisé que s’il existe des signes pouvant évoquer une pathologie inflammatoire : vitesse de sédimentation et dosage de la protéine C réactive.
D’autres examens comme en particulier l’IRM ou le scanner ne seront indiqués qu’en fonction des résultats des précédents examens à la recherche d’une étiologie spécifique mais jamais en première intention ou systématiquement[3].
Prévention
La prévention des cervicalgies consiste essentiellement à respecter des règles d’hygiène et de posture au quotidien. Par exemple, bien placer son écran au bureau et être bien assis, sur un siège ad hoc. Les conseils d'un kinésithérapeute ou d'un ergothérapeute peuvent aider à prévenir les récidives.
L'article 3 du décret du 25 mars 2007 relatif aux actes et aux conditions de l'exercice de l'ostéopathie, dispose qu'un médecin doit d'abord attester de l'absence de contre indication médicale à l'ostéopathie avant toute intervention ostéopathique[4].
Traitement
Vingt guides à destination des professionnels de santé concernant les traitements de la cervicalgie sont recensés[5]. Dix-neuf de ces guides recommandent la pratique d'exercices actifs.
Tous les guides sauf deux recommandent la mobilisation. Or, le risque de raideur et de rétraction peuvent nécessiter des mouvements passifs.
La majorité des guides recommandent d'éduquer les patients sur l'importance de ne pas se reposer et de rester actif. Seulement la moitié des guides recommandent d'utiliser des médicaments (principalement du paracétamol, des opioïdes ou des AINS). La plupart se prononcent contre le port de colliers cervicaux.
Les kinésithérapeutes et les occlusodontistes (médecins spécialistes de la mâchoire) peuvent proposer une prise en charge pluridisciplinaire du patient[6].
Références
- Renan Bain, Eytan Beckmann, Arthur Milley, Frédéric Pariaud et Jean-Jacques Vignaux, L'ostéopathie pour les nuls, FIRST, , 346 p. (ISBN 978-2-7540-7738-5 et 2-7540-7738-3)
- « Cervicalgie: symptômes, traitements et remèdes », sur www.arthrosecervicale.org (consulté le )
- « Cervicalgies : Quels examens ? », sur sante.lefigaro.fr (consulté le )
- « Décret n° 2007-435 du 25 mars 2007 relatif aux actes et aux conditions d'exercice de l'ostéopathie - Légifrance », sur www.legifrance.gouv.fr (consulté le )
- Pulak Parikh, Pasqualina Santaguida, Joy Macdermid et Anita Gross, « Comparison of CPG’s for the diagnosis, prognosis and management of non-specific neck pain: a systematic review », BMC Musculoskeletal Disorders, vol. 20, no 1, , p. 81 (ISSN 1471-2474, PMID 30764789, PMCID PMC6376764, DOI 10.1186/s12891-019-2441-3, lire en ligne, consulté le )
- (en) Mathilde Hourset, Rémi Esclassan, Florent Destruhaut et Julie Dufour-Machuret, « Odontologie et kinésithérapie : postures cranio-cervicales, DTM et cervicalgies posturales », Kinésithérapie, la Revue, vol. 19, , p. 3 (DOI 10.1016/j.kine.2019.05.009, lire en ligne, consulté le )
- Portail de la médecine