Concha bullosa
La concha bullosa désigne la pneumatisation du cornet nasal moyen[1].

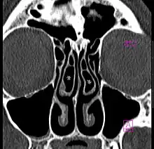
Concha bullosa bilatérale en scanner (coupe coronale)
Il s'agit d'une variante anatomique fréquente, retrouvée chez près de la moitié de la population[2]. Elle est bilatérale dans la moitié des cas[2].
L'existence d'une concha bullosa peut être un facteur de confinement du sinus maxillaire homolatéral[1] en participant à un rétrécissement du complexe infundibulo-méatique aux côtés d'autres variantes anatomiques (cellules de Haller, anomalies du processus unciforme, déviation septale). Ce confinement du sinus entraîne à son tour la survenue d'une sinusite chronique.
La présence d'une concha bullosa est associée de façon significative à une déviation controlatérale du septum nasal[2].
Références
- Frédérique Dubrulle, Nadine Martin-Duverneuil et Guy Moulin, Imagerie en ORL, Elsevier-Masson, , 448 p. (ISBN 978-2-294-70498-7, lire en ligne)
- Jamie S. Stallman, Joao N. Lobo et Peter M. Som, « The incidence of concha bullosa and its relationship to nasal septal deviation and paranasal sinus disease », AJNR. American journal of neuroradiology, vol. 25, no 9, , p. 1613–1618 (ISSN 0195-6108, PMID 15502150, lire en ligne, consulté le )
- Portail de l’anatomie
- Portail de la médecine
Cet article est issu de Wikipedia. Le texte est sous licence Creative Commons – Attribution – Partage à l’identique. Des conditions supplémentaires peuvent s’appliquer aux fichiers multimédias.