Corps albicans

Le corps albicans (ou corpus albicans) est aussi appelé corps blanc ou corps fibreux (la dégénérescence est fibreuse, les cellules glandulaires se transforment en tissu conjonctif dense[réf. nécessaire]). Il apparaît lors de la lutéolyse (en)) du corps jaune, à la fin de la phase lutéale ou, après que le placenta a pris le relais pour la production d'hormones.[réf. nécessaire]

ovaire excisé avec corps jaune et corps blanc bien visibles
Ovaire avec un corps jaune dans la partie supérieure gauche de l'image; et un corps blanc dans sa partie inférieure droite (confer description).
  • icône décorative Portail de la physiologie
  • icône décorative Portail de la médecine
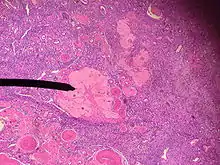
ovaire de femelle de l'homme avec zoom sur un corps blanc
Corps blanc (ou corpus albicans en latin), dans un ovaire de femelle de l'homme, coloration hématoxyline-éosine ou apparenté. On remarque le stroma (Tissu conjonctif cellulaire) à l'aspect "en tourbillon".
Cet article est issu de Wikipedia. Le texte est sous licence Creative Commons – Attribution – Partage à l’identique. Des conditions supplémentaires peuvent s’appliquer aux fichiers multimédias.