Fabella
La fabella est un os sésamoïde situé au niveau du genou dans le tendon du chef latéral du muscle gastrocnémien, en arrière du condyle fémoral latéral avec lequel elle s'articule.
Le terme « fabella » est d'origine latine et signifie « petite fève »[1],[2].
Épidémiologie
Considérée comme une variante de l'anatomie normale, la fabella est présente chez près de 30 % des individus européens[3],[1]. Des prévalences voisines de 60 % seraient retrouvées dans la population asiatique[3]. Lorsqu'elle est présente, la fabella est plus fréquemment bilatérale qu'unilatérale[3].
Anatomie

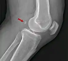
La fabella est située dans le tendon du chef latéral du muscle gastrocnémien et apparaît entourée sur son versant antérieur comme postérieur par les fibres tendineuses sur les études histologiques[3]. Elle est reliée dans la plupart des cas à la tête de la fibula par un ligament fabello-fibulaire[3]. Sa taille est variable, comprise entre 4 et 13 mm[3].
Aspect clinique
Asymptomatique dans la grande majorité des cas, la fabella peut être associée à une douleur de la face postérieure du genou[2]. Des cas de fracture de la fabella ont été rapportés dans la littérature avec une symptomatologie douloureuse [4]. Il ne faut toutefois pas confondre une fracture de la fabella avec la présence constitutionnelle d'une fabella bipartite voire tripartite.
Le déplacement de la fabella sur un cliché radiographique est un signe en faveur d'un épanchement intra-articulaire de grande abondance[5].
Notes et références
- (en) « Fabella », sur Radiopaedia (consulté le )
- (en) Steven D. Waldman, Fabella Syndrome (DOI 10.1016/b978-1-4557-0999-1.00108-8, lire en ligne), p. 315–317
- (en) Nicole Helene Hauser, Sebastian Hoechel, Mireille Toranelli et Joerg Klaws, « Functional and Structural Details about the Fabella: What the Important Stabilizer Looks Like in the Central European Population », BioMed Research International, vol. 2015, (ISSN 2314-6133, PMID 26413516, PMCID PMC4564579, DOI 10.1155/2015/343728, lire en ligne, consulté le )
- (en) Gregory M. Heideman, Keith E. Baynes, Alan P. Mautz et Melissa S. DuBois, « Fabella fracture with CT imaging: a case report », Emergency Radiology, vol. 18, no 4, , p. 357–361 (ISSN 1438-1435, PMID 21305331, DOI 10.1007/s10140-011-0941-z, lire en ligne, consulté le )
- (en) A. C. Friedman et T. P. Naidich, « The fabella sign: fabella displacement in synovial effusion and popliteal fossa masses. Normal and abnormal fabello-femoral and fabello-tibial distances », Radiology, vol. 127, no 1, , p. 113–121 (ISSN 0033-8419, PMID 635171, DOI 10.1148/127.1.113, lire en ligne, consulté le )
Liens externes
- Ressources relatives à la santé :
- « Fabella », sur le dictionnaire de l’Académie nationale de médecine
- Portail de la médecine
- Portail de l’anatomie