Glande apocrine

Une glande apocrine est une glande exocrine qui libère son produit de sécrétion par l'élimination de son pôle apical. La cellule perd une partie de son cytoplasme lors de la sécrétion.

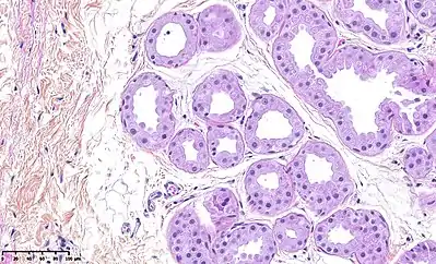
Glande apocrine humaine : multiples lumières glandulaires arrondies, tapissées de grandes cellules apocrine au cytoplasme éosinophile abondant, noyau arrondi nucléolé - la spécificité réside dans les grains de sécrétion situés au niveau du pôle apical bombé des cellules glandulaires (sécrétion par décapitation).
Sécrétion apocrine

Les glandes mammaires en période de lactation sont par exemple des glandes exocrines apocrine[1].

Au niveau de la peau, des glandes apocrines sont présentes au niveau des creux axillaires, de la région génitale et péri-anale, de la paupière, du canal auditif externe et en péri-ombilical[2].

Leur activation est liée aux hormones androgènes, ce qui est corroboré par une forte expression des récepteurs aux stéroïdes et notamment le récepteur aux androgènes (RA) au niveau de leur noyau. Cette surexpression des RA est retrouvé dans les adénocarcinomes apocrines vrais[3].

La sécrétion apocrine est moins dommageable pour la glande que la sécrétion holocrine (élimination de la cellule) mais plus dommageable que la sécrétion mérocrine (exocytose).

Notes et références

  1. (en) Anthony L. Mescher, « Epithelial Tissue », dans Junqueira’s Basic Histology: Text and Atlas, Mc Graw-Hill Gb, 12e éd.
  2. Requena, Luis,, Cutaneous adnexal neoplasms (ISBN 978-3-319-45704-8 et 3-319-45704-7, OCLC 1017751275, lire en ligne)
  3. (en) Anne M. Mills, Chelsea E. Gottlieb, Scott M. Wendroth et Christiana M. Brenin, « Pure Apocrine Carcinomas Represent a Clinicopathologically Distinct Androgen Receptor–Positive Subset of Triple-Negative Breast Cancers: », The American Journal of Surgical Pathology, vol. 40, no 8, , p. 1109–1116 (ISSN 0147-5185, DOI 10.1097/PAS.0000000000000671, lire en ligne, consulté le )
  • icône décorative Portail de la biologie cellulaire et moléculaire
Cet article est issu de Wikipedia. Le texte est sous licence Creative Commons – Attribution – Partage à l’identique. Des conditions supplémentaires peuvent s’appliquer aux fichiers multimédias.