Ligne de Kerley
Les lignes de Kerley sont un signe de syndrome interstitiel sur une radiographie du thorax. Elles traduisent l'épaississement des septa interlobulaires dû à un infiltrat du tissu conjonctif (interstitium pulmonaire). On distingue les lignes de Kerley de type A (apical), B (basal), C (apical+basal) et D[1].

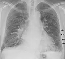
Lignes de Kerley B chez un patient souffrant d'insuffisance cardiaque congestive.
Leur nom est emprunté à Peter Kerley qui les a décrites.
Voir aussi
Notes et références
- « Le syndrome interstitiel », sur le site de la faculté de médecine Pierre et Marie Curie (consulté le )
- Portail de la médecine
Cet article est issu de Wikipedia. Le texte est sous licence Creative Commons – Attribution – Partage à l’identique. Des conditions supplémentaires peuvent s’appliquer aux fichiers multimédias.