Métastase osseuse
Les métastases osseuses, ou métastases squelettiques, sont des tumeurs malignes secondaires des os, formées par le déplacement (métastase) de cellules cancéreuses d'une tumeur primaire[1]. Ce sont de loin les tumeurs osseuses les plus fréquentes chez l'adulte. Pour certains cancers, comme le cancer du sein ou de la prostate, les métastases osseuses sont une complication fréquente, qui a une influence substantielle sur la qualité de vie du patient concerné, ainsi que sur le déroulement et le pronostic de la maladie. Fondamentalement, toute tumeur qui métastase par voie sanguine peut infiltrer la moelle osseuse[2]. Les métastases ainsi formées peuvent causer un déséquilibre de l'homéostasie osseuse entre l'activité des ostéoblastes (cellules qui fabriquent de l'os) et l'activité des ostéoclastes (cellules qui détruisent l'os) . On distingue ainsi les métastases osseuses lytiques (qui détruisent l'os), et les métastases ostéocondensantes, moins fréquentes. Le plus souvent, on observe une augmentation de l'activité ostéoclastique, ce qui entraîne une lyse osseuse. Les métastases osseuses provoquent des ostéopathies tumorales, c'est-à-dire des maladies osseuses provoquées par la tumeur. Elles peuvent par là influencer les échanges de matière de l'os localement ou globalement[3].


Après les ganglions, le poumon et le foie, c'est le squelette qui est le plus touché par les métastases cancéreuses[3]. Les métastases osseuses conduisent dans bien des cas à des douleurs violentes et à une instabilité des os touchés, si bien que l'on peut en arriver à une fracture même sans accident[4],[5].
Le diagnostic de métastase osseuse signifie pour la plupart des cancers qu'il n'y a plus d'espoir de guérison. Le centre du traitement est alors dans la plupart des cas purement palliatif, c'est-à-dire que les mesures prises servent pour l'essentiel à améliorer la qualité de vie du patient. L'administration de bisphosphonates et la radiothérapie peuvent aussi dans la plupart des cas l'améliorer substantiellement[6].
Diffusion et répartition

| Tumeur primitive | Fréquence des métastases osseuses[3] |
|---|---|
| Cancer du sein | 50 à 85 % |
| Cancer de la prostate | 50 à 75 % |
| Carcinome bronchique | 30 à 50 % |
| Cancer du rein | 30 à 50 % |
| Cancer de la thyroïde | 39 % |
| Tumeur du pancréas | 5 à 10 % |
| Carcinome colorectal | 5 à 10 % |
| Cancer de l'estomac | 5 à 10 % |
| Carcinome hépatocellulaire | 8 % |
| Carcinome de l'ovaire | 2 à 6 % |
Les métastases osseuses sont largement plus fréquentes que les tumeurs osseuses primitives, comme l'ostéosarcome. Aux États-Unis, on compte environ 1,3 million de nouveaux cas de cancer par an. Environ 50 % d'entre eux développent des métastases osseuses, ce que l'on peut démontrer aussi par les temps de vie. Face à cela, on compte environ 2000 cas de tumeurs primitives des os[8]p. 506. Sur l’exemple de l’ostéosarcome, la plus courante des tumeurs malignes des os, il y a en Allemagne environ 200 nouveaux cas par an. Face à cela, on trouve dans une autopsie soigneuse, des métastases osseuses chez environ 70 % des patients qui meurent de cancer[9],[10],[11],[12].
Pour les 210 000 décès par cancer par an en Allemagne, ceci correspondrait à 170 000 cas de métastases osseuses. Un grand nombre de ces métastases tumorales restent cependant sans symptôme, et sont trop petites pour être détectées avec des procédés d'imagerie[8]. Les métastases osseuses ne sont significatives sur le plan clinique et radiologique que pour environ 15 % des patients. Dans de nombreux cas, ce sont les métastases osseuses qui forment les premiers symptômes d'un cancer[12].
On a déjà pu trouver des métastases osseuses chez des momies[13] ; elles étaient cependant plutôt très rares chez l'homme[14], parce que le cancer est une maladie associée à l'âge[15], c'est-à-dire qu'il existe une relation entre la probabilité de maladie et l'âge. Seule une petite partie de nos aïeux atteignait un âge où l'on a une haute probabilité de tomber malade d'un cancer.
En raison de la prospective démographique dans la plupart des pays, l'espérance de vie croissante des populations, et les soins médicaux améliorés font que l'incidence (nombre de nouveaux cas) des métastases osseuses croît constamment. Les progrès du traitement de la plupart des cancers ont conduit à une amélioration du temps de survie relatif[16], qui est corrélée avec une augmentation des cas de métastases osseuses. L'amélioration des thérapies du cancer élève la probabilité statistique de développer des métastases osseuses[17],[18]p. 8.
La probabilité d'une métastase osseuse dépend fortement de la tumeur primitive et de son stade. Chez les hommes décédés de Cancer de la prostate, par exemple, on peut trouver chez 90 % d'entre eux des métastases osseuses[19],[20]. Pour le cancer du sein, les métastases osseuses sont extrêmement fréquentes. 90 % de toutes les métastases osseuses proviennent de cancers du sein, de la prostate, des bronches, des reins ou de myélome multiple[3]. Les métastases osseuses sont rares pour les sarcomes ou pour les lymphomes – à part le myélome multiple cité ci-dessus[21].
L'âge moyen des patients concernés se situe chez les hommes dans la sixième décennie et chez les femmes, en raison du cancer du sein, dans la cinquième décennie[22].
Les métastases osseuses apparaissent dans environ 75 % des cas à plusieurs. Dans les autres cas, elles sont solitaires, et peuvent simuler une tumeur osseuse primitive[1].
Pathogenèse
Formation des métastases

Quand des cellules cancéreuses se détachent de la tumeur primitive et circulent dans le système sanguin ou lymphatique, alors un petit nombre de ces cellules peut se fixer dans d'autres organes et s'y multiplier (« former une colonie »)[23]. Dans le cas de métastase osseuse, la dissémination se fait presque exclusivement par voie sanguine.
L'os reçoit environ 10 % du débit sanguin. On y observe pourtant plus fréquemment des métastases que dans d'autres organes plus vascularisés (comme le cerveau). Ceci s'explique principalement par la structure des vaisseaux sanguins dans l'os. Au niveau de la moelle osseuse, les capillaires sont sinusoïdes : les cellules endothéliales sont disjointes, et la membrane basale perd sa cohésion, ce qui explique que les cellules cancéreuses peuvent plus facilement sortir des vaisseaux et s'installer dans l'os.
Les organes cibles pour l'installation de cellules tumorales sont souvent ceux qui sont les plus proches de la tumeur primitive, et en aval du courant. D'habitude, les cellules cancéreuses détachées de la tumeur primitive envahissent la moelle osseuse par l'artère nourricière, l'artère apportant le sang dans l'os. Par contre, le carcinome de la prostate fait des métastases avant tout à travers un plexus veineux se trouvant devant la colonne vertébrale, et donc, par fréquence décroissante, les vertèbres lombaires, le fémur, le bassin, les vertèbres dorsales et les côtes[24].
Les domaines de l'os dans lesquels se fait l'hématopoïèse offrent aux cellules cancéreuses des conditions de croissance favorables[25]. La faible vitesse d'écoulement du sang dans l’os facilite en outre l'accrochage des cellules à la paroi du vaisseau. C'est alors que la membrane basale séparant le vaisseau et la moelle peut être ouverte par des enzymes de la cellule tumorale et cette dernière peut pénétrer dans la moelle[26]. Les métastases osseuses naissent presque exclusivement dans le volume de la moelle[27].
Au début, la métastase se trouve dans la cavité remplie de moelle rouge à l'intérieur de l’os. Puis des régions plus éloignées de l'os spongieux, et enfin l'os compact sont attaqués[2],[28]. Les cellules cancéreuses perturbent l'homéostasie osseuse qui est basée sur l'équilibre entre la formation osseuse et la résorption osseuse. L'hyperactivité ostéclastique aboutit à des métastases ostéolytiques.L'hyperactivité ostéblastique aboutit à des métastases ostéocondensantes
Chez beaucoup de patients, des métastases osseuses ne se forment souvent que plusieurs années après la suppression de la tumeur primitive. On suppose que dans ces cas, les cellules cancéreuses restent longtemps en état dormant, sans se multiplier pendant des années, avant de devenir cliniquement significatives[29],[30],[31].
La question de savoir quels sont les organes préférés par les cellules cancéreuses pour faire des métastases n'a pas encore reçu de réponse dans une large mesure[23] ; selon la théorie seed-and-soil, la colonisation a lieu quand la cellule tumorale (seed) montre une affinité particulière pour le milieu environnant l'organe concerné (soil)[7]. Les protéines avec de bonnes propriétés d'adhésion, comme les cadhérines, semblent jouer un rôle important pour la colonisation.
L'expérience montre qu'il y a des différences substantielles dans la probabilité pour des cancers de différents organes de provoquer des métastases osseuses (voir table ci-dessus).
Métastases ostéolytiques, ostéocondensantes et mixtes


Dans les os, les cellules tumorales provoquent des modifications locales de la structure de l'os, qui sont amenées par une perturbation de l’équilibre, dans le remodelage du tissu osseux. Celles-ci peuvent être soit ostéocondensantes (formant de l’os) soit ostéolytiques (détruisant de l’os), ou mixtes ostéocondensantes/ostéolytiques. En outre, les métastases osseuses peuvent libérer diverses hormones qui conduisent à une ostéopénie dans l'ensemble du squelette[32]. Les cellules des métastases osseuses ne prennent en général pas part directement à la formation ou à la destruction de l'os. Ces processus sont provoqués par les ostéoblastes et les ostéoclastes, cellules compétentes pour la formation et la destruction de l'os durant le remodelage du tissu osseux : elles sont mises en jeu par des protéines de signalisation émises par les cellules tumorales[6]. Dans de rares cas, et seulement pour des métastases très agressives, il y a une destruction directe de la matrice osseuse par les cellules tumorales, qui produisent des enzymes lytiques, comme des hydrolases lysosomales, des peptidases ou des collagénases[2],[33].
Les métastases osseuses ostéolytiques sont, avec une proportion d'environ 75 %, les métastases osseuses les plus fréquentes[27]. Les tumeurs primitives sont la plupart du temps des carcinomes des reins, des poumons, des seins ou de la thyroïde[34]. Dans le monde germanophone, on ne compte pas le myélome multiple, très ostéolytique, parmi les métastases osseuses[35].

Les métastases osseuses ostéocondensantes sont plus rares que les ostéolytiques. Leur proportion sur l'ensemble des métastases osseuses est d'environ 15 %[27]. Les métastases ostéocondensantes surviennent surtout pour le carcinome de la prostate, plus rarement dans les autres formes de cancer. Dans la littérature, on a signalé[36] des métastases ostéocondensantes pour des cas de cancer du sein[37], de myélome[38], de carcinome colorectal[39], d'astrocytome[40], de glioblastome multiforme[41], de thymome[42], de tumeur carcinoïde[43], de carcinome du nasopharynx[44], de syndrome de Zollinger-Ellison[45], de gliomatose méningée[46] et du cancer du col utérin[47].
Les métastases ostéolytiques et ostéocondensantes sont les deux extrêmes d'une mauvaise régulation du remodelage du tissu osseux. Entre ces deux extrêmes, on peut dire rapidement que tous les états intermédiaires sont possibles. Le type de cancer primitif n'a pas d'influence sur le fait qu'il s'agit de métastases ostéolytiques ou ostéocondensantes, qui peut changer d'un patient à l'autre[48]. Des cancers avec métastases ostéocondensantes, comme la plupart des carcinomes de la prostate, ont aussi une fraction d'ostéolytiques, qui par exemple élèvent le risque d'une fracture pathologique[48]. Les métastases osseuses causées par le cancer du sein sont chez la majorité des patientes des métastases ostéolytiques, mais pour de 15 à 20 % des cas, elles sont ostéocondensantes[49].
Avec une proportion d'environ 10 % des métastases osseuses, celles à caractère mixte ostéolytique/ostéocondensant forment le plus petit groupe. En principe, toutes les tumeurs primitives peuvent former des métastases de type mixte. Le cas le plus fréquent est cependant le cancer du sein et le carcinome pulmonaire à petites cellules. Des métastases ostéocondensantes et ostéolytiques peuvent même se trouver l'une auprès de l'autre sur un os[27].
En réaction à l'ostéolyse survient toujours une reconstruction osseuse, visible par exemple sur la radio comme bordure ostéoblastique, même quand la destruction osseuse domine. Par comparaison, le myélome multiple, une maladie cancéreuse primitive de l'os, est toujours purement ostéolytique[48].
Interaction entre cellule cancéreuse et os
L'apparition d'une métastase dans les os n'est pas un processus aléatoire, mais le résultat d'interactions moléculaires complexes entre les cellules cancéreuses détachées et leur environnement : ces interactions permettent aux cellules tumorales de pénétrer dans la matrice extracellulaire de l’os et d'y proliférer dans l'os.
Imitation osseuse
Les cellules qui ont reçu ou développé la capacité de métastaser dans l'os expriment particulièrement beaucoup de gènes en lien avec les échanges de matière des os, c'est-à-dire qu'elles ont la capacité de produire des protéines de la matrice osseuse, avec lesquelles elles imitent le phénotype d'une cellule osseuse, et en particulier d'un ostéoblaste. Ce processus est désigné par mimétisme osseux[50].
Parmi les protéines exprimées on trouve notamment les phosphatases alcalines et des molécules de signalisation (crosstalk) qui régulent l'interaction entre les divers facteurs de transcription des ostéoblastes et ostéoclastes[51]. Le crosstalk entre cellules tumorales et ostéoblastes est un paragraphe encore pas entièrement compris de la formation de métastase. Il déclenche dans la cellule tumorale une expression génétique changée, qui favorise l'occupation de l'os par la métastase[52]. Cette communication cellule-cellule est un élément essentiel de la formation de la métastase[53].
Au moyen du mimétisme osseux, la cellule tumorale se ménage un avantage de survie dans son tissu hôte[54]. Certaines de ces cellules tumorales déplacées échappent au système immunitaire en produisant des protéines qui correspondent à la structure de protéines des cellules normales de la moelle osseuse[55]. Une très grande fraction des cellules tumorales déplacées sont reconnues et éliminées par le système immunitaire[2]. Certaines de ces cellules cancéreuses peuvent rester méconnues dans leur nouvel hôte par des processus évolutionnaires (Immunoediting (en)) et échapper ainsi au système immunitaire[56].
L'hypothèse de mimétisme osseux a été proposée pour la première fois en 1999 par un groupe de travail autour de l'urologue américain Leland W. K. Chung[57] et bien assurée par des études pathologiques[58].
L'hypoxie, facteur favorisant les métastases osseuses
Dans le micro-environnement des os, il règne un manque d'oxygène (hypoxie). La pression partielle de l’oxygène pO2 se situe entre 1 et 7 %[59]. Ce manque d'oxygène est favorable à la croissance des cellules tumorales dans les métastases osseuses. Les cellules tumorales sont bien adaptées à des conditions hypoxiques. En outre, l'environnement pauvre en oxygène favorise la dissémination des cellules tumorales et la néoformation de vaisseaux sanguins (néoangiogenèse)[60]. L'hypoxie a en outre comme conséquence que les métastases osseuses présentent une forte résistance à l’égard des radiothérapies ou des chimiothérapies, ce qui est une raison pour l'impossibilité de guérir beaucoup de métastases osseuses[61]. Dans l'hypoxie, le facteur induit par l’hypoxie, en particulier le HIF-1α joue un rôle important. À haute pression partielle d'oxygène, le HIF-1α est hydroxylé et devient cible pour la destruction enzymatique par le suppresseur de tumeur de la maladie de von Hippel-Lindau. Par manque d'oxygène, par contre, le HIF-1α est déhydroxylé et peut faire un dimère HIF-1β dans le noyau cellulaire, où il commande la transcription de gènes adaptés à l'hypoxie[60],[62],[63]. L'expression de HIF-1α est directement corrélé avec le grade histologique de la tumeur, la croissance invasive et le stade de la métastase[63],[64].
Apparence clinique
| Complications des métastases osseuses | Proportion[3] |
|---|---|
| Douleurs osseuses | 50 à 90 % |
| Fractures pathologiques | 10 à 45 % |
| syndromes de compression spinale | moins de 10 % |
| Carcinose osseuse | moins de 10 % |
| Hypercalcémie | 10 à 20 % |
Douleurs
Dans bien des cas, des douleurs dans le domaine de la colonne vertébrale, avant tout au niveau des vertèbres lombaires, sont le premier symptôme d'un cancer avec atteinte de l’os. Quand les douleurs surviennent, le cancer est en règle générale déjà bien avancé. Le patient décrit la douleur, qui ne s'apaise pas dans les phases de repos, comme « perçante en profondeur » et « difficilement localisable ». Cette forme de douleur diffère de celles provoquées par les instabilités de la colonne vertébrale, qui surviennent avant tout pendant les mouvements de la colonne vertébrale et sont causées par l’écrasement de nerfs spinaux[65]p. 12. Les douleurs sont le facteur essentiel pour la perte de la qualité de vie chez les patients souffrant de métastases osseuses[66]. La cause de ces douleurs sont les compressions nerveuses et la libération d'hormones d'inflammation par les métastases osseuses ou par les cellules saines se trouvant à proximité de la métastase[67]. Les cellules cancéreuses, en perforant la paroi cellulaire perturbent dans ce dernier cas l'autorégulation de l'os (ici : l'équilibre et le milieu osseux), en libérant des substances (cytokines) qui à leur tour activent les ostéoclastes[68],[69]. À côté de la destruction de l'os concerné[70], l'activation des ostéoclastes conduit à acidifier le milieu environnant (le pH diminue), ce qui provoque aussi des douleurs dans l'os[71]. La formation d'os par les ostéoblastes, compensant la destruction de l'os, très mal contrôlée, conduit à la compression des terminaisons nerveuses qui se trouvent dans la moelle, sous le périoste et dans la matrice osseuse[72], ce qui est à nouveau source de douleurs. L'ensemble de ces modifications de l’os provoque un processus pathogène original mécanique et neurochimique, qui dépasse la simple combinaison de douleurs neurologiques et inflammatoires[73],[74]. Les modifications neurochimiques conduisent au fait qu'il faut administrer des doses substantiellement plus élevées d'opiacés que par exemple pour des douleurs inflammatoires d'intensité comparable[66]. Le traitement de la douleur est un des buts essentiels des soins palliatifs des patients souffrant de métastases osseuses.
Fractures pathologiques
La fracture pathologique est une circonstance rare de découverte d'une métastase osseuse[75],[76].
Les fractures pathologiques sont des fractures de l’os qui surviennent sans atteinte extérieure, à cause d'un affaiblissement pathologique de la matrice osseuse. Les métastases surtout ostéolytiques, mais aussi parfois ostéocondensantes, affaiblissent l’os concerné qui selon les circonstances peut être sursollicité par des contraintes mécaniques faibles, et rompt. Ces fractures peuvent survenir dans des situations de tous les jours, comme le fait de se lever d'un siège ou de déplacer le patient[77]. Pour les métastases ostéocondensantes, l'épaisseur de l’os est certes augmentée, mais sa solidité est abaissée par sa construction complètement non structurée[6]. Dans le domaine de la colonne vertébrale, elles peuvent conduire à des enraidissements[65].
Les fractures pathologiques conduisent à des complications étendues et ont une influence considérable sur la qualité de vie et sur le pronostic. La durée de survie moyenne peut être diminuée de plusieurs mois[22]. Les bisphosphonates peuvent éviter dans bien des cas cette forme de fracture[78],[79].
Ce sont la plupart du temps les côtes ou les corps vertébraux qui sont atteints par les fractures. Les fractures dans les os longs, en particulier au col du fémur, présentent une gravité particulièrement élevée et sont le principal motif pour une intervention chirurgicale. Les fractures des corps vertébraux peuvent conduire à des syndromes de compression médullaire[65].
- Vues de fractures pathologiques
Fracture pathologique de l'humérus sur une métastase de carcinome du rein
Fracture pathologique du bras gauche sur une métastase osseuse de cancer du sein
Scintigraphie corps entier avec 99mTc-HDP de la patiente avec une fracture du bras due à une métastase du cancer du sein
Syndromes de compression médullaire

Les fractures de compression d'un ou plusieurs corps vertébraux peuvent conduire à une compression médullaire ou à un syndrome de la queue de cheval et sont des complications redoutées d'une métastase osseuse dans une vertèbre[80]. Les syndromes de compression médullaire se traduisent la plupart du temps par de fortes douleurs dorsales, ainsi que des insuffisances motrices et sensitives des extrémités inférieures. Le contrôle de la vessie et du rectum peuvent aussi être détériorés par la compression médullaire.
Chez environ 5 % de tous les patients du cancer apparaît une compression médullaire[81]. La proportion approximative des vertèbres atteintes est de 70 % dans le domaine des vertèbres thoraciques, de 20 % dans celui des vertèbres lombaires et de 10 % dans celui des vertèbres cervicales[80]. Dans 4 à 22 % des cas de compression médullaire, c'est le premier symptôme du cancer primitif. Ceci est en particulier le cas pour les lymphomes, les carcinomes du rein et des bronches[82].
Le temps de survie moyen des patients avec une compression médullaire causée par des métastases osseuses est d'environ 2 à 6 mois[81],[83],[84].
L'intervalle entre la survenue d'épisodes neurologiques et leur traitement ne devrait pas dépasser 24 heures. Le traitement est purement palliatif, par exemple par radiothérapie, de hautes doses de glucocorticoïdes comme la dexaméthasone et l'ostéosynthèse avec implants[80],[81].
Hypercalcémie
Chez 10 à 20 % de tous les patients atteints de métastases osseuses, il peut s'établir une hypercalcémie. Ces patients ont un nombre élevé d'ostéoclastes, qui accomplissent une destruction accélérée de l'os, ce qui provoque la libération dans l'os d'ions calcium, qui passent dans le sang. Ces ions calcium libres dans le plasma, non liés à une protéine, peuvent devenir dangereux pour la vie. Le niveau élevé de calcium sanguin peut être efficacement baissé par des médicaments comme les bisphosphonates[85] ou les glucocorticoïdes. Dans les cas aigus, le médicament calcitonine permet de le baisser rapidement.
Carcinose de la moelle osseuse
Une carcinose de la moelle osseuse est une complication qui survient assez rarement des suites d'une métastase osseuse. Dans la littérature, on cite des fréquences de 8 à 10 % pour tous les cas de métastase osseuse. Les cellules cancéreuse de la métastase s'infiltrent dans les espaces de la moelle des os, ce qui conduit à une réduction, voire un arrêt de la formation des cellules hématopoïétiques. En conséquence, une carcinose de la moelle osseuse s'exprime par des symptômes comme l'anémie, une coagulation diminuée, et un système immunitaire perturbé (plus grande tendance à l'infection). Le traitement d'une carcinose de la moelle osseuse est purement palliatif[86].
Diagnostic
Dans la plupart des cas, les métastases osseuses sont diagnostiquées dans le cadre du suivi des tumeurs par l'imagerie médicale.
Après l'anamnèse, l'examen clinique et l'évaluation d'une radio conventionnelle, on peut poser le premier diagnostic différentiel. Il est alors possible dans bien des cas de distinguer entre les cas suivants :
- tumeur bénigne, sans tendance à la croissance, par exemple un hémangiome
- tumeur bénigne avec tendance à la croissance, comme une tumeur bénigne à cellules géantes
- tumeur osseuse maligne primitive, comme le sarcome d'Ewing
- tumeur osseuse maligne secondaire (métastase osseuse), la tumeur primitive est connue ou non.
Pour le squelette du tronc, le diagnostic différentiel est nettement plus difficile, si bien qu'il faut souvent utiliser un procédé d'imagerie supplémentaire[87]. Des examens de laboratoire peuvent fournir des indications supplémentaires importantes pour l'élucidation du type de tumeur. Un échantillon de tissu prélevé au moyen d'une biopsie peut dans la plupart des cas répondre de façon sûre et définitive à la question « bénigne ou maligne ? » ainsi qu'à l'origine de la tumeur primitive.
Dans les autres cas, les métastases osseuses sont le premier symptômes d'une maladie cancéreuse, c'est-à-dire que la métastase est découverte avant la tumeur primitive. On parle dans ces cas de cancer avec tumeur primitive inconnue (angl. CUP, Cancer with Unknown Primary origin)[87].
Quand la tumeur primitive n'est pas connue, on procède à un examen clinique approfondi du patient. La connaissance de la tumeur primitive source de la métastase est d'importance fondamentale pour la planification de la thérapie ultérieure. Chez les patients hommes, du point de vue purement statistique, la probabilité est très élevée que ce soit un carcinome de la prostate, si bien que l’on commence par examiner soigneusement la prostate. Le niveau sanguin du PSA (angl. Prostate Specific Antigen), un marqueur des tumeurs de la prostate fournit des informations supplémentaires. Un processus semblable est suivi chez les patientes femmes : la probabilité que la tumeur primitive soit un cancer du sein est très élevée, ce qui fait qu'il est procédé à un examen gynécologique poussé, avec mammographie, échographie ou élastographie du sein. Là, c'est le marqueur tumoral CA 15.3 qui peut donner des informations supplémentaires pour le diagnostic. Une scintigraphie du squelette entier peut éventuellement mettre en évidence d'autres métastases osseuses[87]. Il est possible que malgré des recherches diagnostiques approfondies, la tumeur primitive ne soit pas ou plus localisable.
Avec le scanner, l'IRM et le PET scan, on dispose maintenant d'autres processus d'imagerie pour rechercher la tumeur primitive. Un nombre de marqueurs tumoraux peuvent en outre fournir des indices supplémentaires. Dans bien des cas, ce n'est qu'une biopsie qui fournira la certitude définitive du diagnostic.
Diagnostic au laboratoire

Chez les patients souffrant de métastases osseuses, les marqueurs ostéocondensants et ostéolytiques, ainsi que les marqueurs de l'activité ostéoclastique présentent une apparence modifiée. La détermination du niveau plasmatique de ces marqueurs peut être utilisée comme aide diagnostique pour les métastases osseuses. Mais la recherche dans le sérum sanguin de certains marqueurs associés aux métastases osseuses ne livre pas normalement aucune preuve univoque pour le diagnostic des métastases osseuses. La plupart des paramètres de laboratoire ne sont pas assez spécifiques, car ils peuvent aussi être modifiés par d'autres maladies.
En général, les mesures chimiques ne fournissent pas de diagnostic. Elles peuvent néanmoins apporter des informations supplémentaires importantes pour la pose du diagnostic, et fournissent, en tant qu'indicateurs spécifiques de processus ou de tissus, des contributions valables au « puzzle » diagnostic[88]. Comme dans bien des cas les métastases osseuses sont les premiers symptômes d'un cancer[12], on peut sur la base de certains paramètres endocrinologiques du sang du patient renforcer ou affaiblir le soupçon de métastase osseuse, avant de faire entrer en jeu des procédés d'imagerie plus sophistiqués.
Quand le diagnostic a été établi d'une quelconque manière, les marqueurs peuvent servir d'indicateurs pour le statut de la métastase osseuse, et ainsi être utilisés pour contrôler la thérapie[89]. Les marqueurs peuvent par exemple servir au contrôle de l'efficacité et à l'optimisation d'un traitement aux bisphosphonates[90].
Pour le diagnostic en laboratoire, des marqueurs importants, qui indiquent un accroissement de la formation d'os sont l'ostéocalcine, la phosphatase alcaline, les formes aminoterminale (PINP) et carboxy-terminale (PICP) du procollagène de type I. Par contre, les deux fragments de collagène : télopeptide de collagène de type I carboxy-terminal croisé (ICTP) et isomère β (βCTX), ainsi que la phosphatase acide résistant au tartrate 5b (TRAcP5b) servent de marqueurs pour la résorption de l'os dans les métastases osseuses[91].
Les niveaux des divers marqueurs pour les métastases osseuses ne présentent aucune corrélation avec le degré de douleur évoquée par les métastases[92]. Il y a par contre une corrélation négative avec la concentration des marqueurs dans le sérum et la survie du patient (un niveau élevé correspond à une espérance de survie courte)[90],[93],[94].
PINP et PICP
Le collagène de type I est, avec une fraction de plus de 90 %, le composant principal de la matrice organique de l'os[95]. Le collagène de type I est constamment détruit dans le cadre du remodelage normal de l'os. Les fragments sont transportés par la voie sanguine vers les reins, et là, ils sont éliminés. Quand la destruction osseuse augmente, comme c'est le cas dans le cas d'une métastase ostéolytique, le niveau de ces fragments dans le sérum sanguin augmente. Pour compenser la destruction osseuse, des mécanismes de réparation sont mis en route, afin de fournir une masse osseuse suffisante. Le procollagène de type I, , qui contient des protéines précurseurs aminoterminale et carboxyterminale, est sécrété par les ostéoblastes et les fibroblastes. Les propeptides carboxy- et amino-terminaux PICP resp. PINP sont détachés par des protéases au cours de la transformation de procollagène en collagène[96],[97] puis relâchés dans la circulation sanguine. Leur concentration y est corrélée avec la néoformation de collagène de type I[98]. Le PINP peut être utilisé comme marqueur pour le diagnostic et le suivi des métastases osseuses, comme aussi du myélome multiple[99], du carcinome de la prostate[100], ou du cancer du sein[101]. La corrélation entre perte de masse osseuse et concentration en PINP a pu par exemple être démontrée chez des patientes ménopausées atteintes du cancer du sein[98],[102].
La concentration de PINP dans le sérum est corrélée chez les patientes atteintes de cancer du sein avec le nombre de métastases osseuses[103].
ICTP
Le niveau d'ICTP est relevé pour les métastases osseuses ostéolytiques et mixtes, et relativement peu sensible en ce qui concerne les variations dans les échanges de matière dans l'os. Dans le cas d'insuffisance rénale, avec un débit de filtration glomérulaire de moins de 50 ml/min, la concentration d'ICTP évacué par les reins est cependant élevée aussi[104]. L'ICTP et le β-CTX peuvent être utilisés comme indicateurs supplémentaires pour des métastases osseuses dans le cas du carcinome bronchique[89].
Ostéocalcine

L'ostéocalcine n'est formée que par les ostéoblastes actifs. On peut la mettre en évidence aussi bien dans le sang que dans l'urine. Les métastases ostéolytiques[105] et ostéocondensantes[106] élèvent le niveau d'ostéocalcine. Des valeurs élevées de cette hormone peptidique ne s'observent cependant pas spécifiquement dans le cas de métastases osseuses. On en a mesuré des valeurs élevées dans des cas d'hyperparathyroïdie, d'ostéoporose à haut renouvellement osseux, la maladie osseuse de Paget, l'ostéomalacie, l’hyperthyroïdie ou l'insuffisance rénale. L'ostéocalcine peut par exemple servir de marqueur pour la démonstration de métastases osseuses dans des carcinomes thyroïdiques différenciés[107]. Pour les carcinomes de la prostate, il est par contre largement inutilisable[92].
Phosphatase alcaline spécifique de l'os
La phosphatase alcaline spécifique de l'os (angl. BAP, Bone-specific Alkaline Phosphatase) est un marqueur de la phase moyenne de la formation de l'os, libéré pendant la maturation de la matrice osseuse[100]. La BAP est un marqueur spécifiquepour l'ostéogenèse et les métastases ostéocondensantes, et présente des élévations du niveau sérique de discret à clairement marqué. C'est spécialement dans le carcinome de la prostate qu'on peut observer une telle élévation à la formation de métastases osseuses[88]. Mais d'autres maladies avec une ostéogenèse marquée, comme la maladie de Paget ou l'ostéomalacie conduisent également à des niveaux élevés de BAP dans le sérum[94].
Autres marqueurs
Les hypercalcémies, conséquences de métastases ostéolytiques, peuvent être diagnostiquées par le dosage des ions calcium libres dans le sérum[91]. Mais les hypercalcémies peuvent être provoquées par un grand nombre d'autres maladies. Même la tumeur primitive peut faire monter le niveau de calcium dans le sang par réduction de l'excrétion du calcium par les reins[6].
Chez les patients souffrant de métastases ostéolytiques, on trouve aussi dans le sang des niveaux élevés de prostaglandine E2 (PGE2)[108]. Le même phénomène existe avec la protéine de structure ostéopontine[107],[109],[110],[111].
Rayons X
Pour le diagnostic initial, la radio X classique a une importance centrale. L'indication pour des projections sur deux plans est toujours donnée en cas de soupçon de tumeur osseuse[87]. Les métastases ostéolytiques sont caractérisées par une perte de densité osseuse. Ceci se reconnaît sur la radio par un noircissement plus élevé, en raison de la plus grande transparence aux rayons X. Inversement, les métastases ostéocondensantes présentent à cause de la plus grande densité osseuse un noircissement inférieur. Les métastases ostéolytiques sur la colonne vertébrale sont nettement plus difficiles à reconnaître : seulement quand environ 50 % de la densité totale de l'os a disparu[87].
Scanner d'une métastase ostéocondensante dans l'os du crâne d'un patient souffrant d'un carcinome de la prostate. On reconnaît clairement l'extension de la métastase au-delà des limites initiales de l’os.
Par comparaison, scanner de métastases ostéolytiques dans l'os du crâne d'une patiente souffrant d'un cancer du sein. On distingue une ostéolyse plus grande sur le front, et plusieurs plus petites.
Radio du bassin d'un patient atteint d'un carcinome de la prostate : multiples métastases ostéocondensantes, en particulier sur le sacrum, mais aussi sur l'ilion surtout gauche (à dr. sur l'image), sur la pointe de l'ischion gauche, et sur le fémur proximal gauche. On détecte à l'occasion une arthrose de hanche droite (à g. sur l'image).
Radio du bassin avec métastases ostéolytiques. Les métastases sont sur les deux fémurs et sur le bassin lui-même.
Scintigraphie osseuse

Les métastases qui se cantonnent qu squelette sont très rares dans le carcinome colorectal[112].
La scintigraphie osseuse est actuellement encore le meilleur moyen de diagnostic des métastases osseuses. Ce procédé est relativement sophistiqué, coûteux et soumis à quelques limites diagnostiques[90]. Contrairement à la radio, on peut avec la scintigraphie représenter assez simplement l'ensemble des attaques du squelette[87]. Une scintigraphie osseuse est normalement bien plus sensible pour la détection des métastases osseuses qu'une radio. La sensibilité de la scintigraphie osseuse est assez élevée, avec 95 %. En moyenne, avec cette méthode, les métastases osseuses sont détectées six mois avant leur mise en évidence sur la radio[113]. Par contre la spécificité est substantiellement plus faible[114], car presque toutes les modifications tumorales ou inflammatoires du squelette conduisent à un enrichissement en radiotraceurs dans le voisinage. Le remodelage plus élevé et les processus de réparation dans la bordure des métastases osseuses ostéolytiques conduisent à une accumulation plus élevée du radiotraceur, visible comme un « point chaud » sur l'image de scintigraphie[115]. Un phénomène observable de rebond (flare up) peut être dû à l’augmentation de l’activité ostéoblastique au niveau des zones d’ostéolyse tumorale clinique, dont la colonisation métastatique a été éradiquée par le traitement ; il ne doit pas être confondu avec une progression métastatique, au risque de modifier le traitement de façon intempestive[116]. Dans les métastases osseuses de cancer du poumon ou du sein, la néoformation réactive d'os peut dans de rares cas être absente[117]. Sur la scintigraphie, ceci apparaît alors comme un « point froid », un domaine avec une absorption réduite du radiotraceur[118].
Pour le myélome multiple purement ostéolytique, on ne reconnaît sur la scintigraphie osseuse aucun changement[87]. Alors que sur la radio, le résultat de la sommation de tous les processus d'échange de matière dans l'os se voient sur une longue période, la scintigrapie osseuse présente un instantané des processus d'échange de matière en cours dans l'os. C'est pourquoi les métastases osseuses ostéocondensantes, qui se déroulent avec un taux d'échange de matière très bas, restent imperceptibles à la scintigraphie[119].
La scintigraphie osseuse est avant tout utilisée pour le contrôle de la thérapie, que ce soit une chimiothérapie, une radiothérapie externe ou métabolique, pour la détermination des stades, notamment pour les cancers avec tumeur primitive inconnue, et pour le suivi après cancer[87].
Scanner
La tomodensitométrie, ou tomographie axiale calculée par ordinateur est pratiquée le plus souvent après la radio X conventionnelle et la scintigraphie. Dans ces procédés d'imagerie, on détermine les domaines qui doivent être représentés par le scanner avec une résolution bien plus fine, et une meilleure qualité. Le scanner donne des informations sur la mesure de la destruction de l'os et la stabilité du domaine touché par les métastases osseuses[87]. Ces informations sont de grande importance pour la planification du traitement, en particulier pour des interventions chirurgicales éventuelles.
L'indication pour un examen au scanner est donc avant des interventions opératoires stabilisantes (par exemple une excision vertébrale), avant une biopsie (quand la lésion est visible en scintigraphie, mais pas en radio) ainsi que dans le cas de fractures menaçantes ou déjà survenues[87].
Imagerie par résonance magnétique

Avec l'IRM, on peut en particulier obtenir de bonnes images des tissus mous. C'est un processus idéal pour le diagnostic des métastases spinales (métastases des vertèbres). Avec l'IRM, on peut en outre rendre visible des complications supplémentaires dans la région des métastases spinales, comme des infections ou des blessures des tendons et ligaments, des œdèmes de la moelle osseuse après une fracture récente[120],[121], ou la compression de structures nerveuses[18]p. 16. Au moyen de séquences STIR, il est possible d'évaluer l'âge d'une fracture. Pour la détection des métastases, la pondération T1 avec des produits de contraste au gadolinium, comme l'acide gadotérique est particulièrement bien adaptée. Le produit de contraste s'accumule particulièrement fort dans les métastases[18],[122].
Pour le diagnostic des récidives (2), l'IRM est plus adapté que le scanner. Par exemple, les implants de titane font moins d'artefacts pour l’IRM[87],[123].
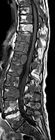
- Comparaison scanner/IRM pour des métastases ostéolytique d'un cancer du sein dans la colonne vertébrale
Scanner sagittal reconstruit, représentation dans la fenêtre osseuse. Comme la patiente avait des métastases dans toutes les régions du corps, elle ne pouvait pas lever les bras pour l'examen, ce pourquoi les mains sont présentées.
Scanner sagittale, parties molles. Outre les métastases dans la colonne vertébrale, qui envahissent en partie le canal médullaire vers l'arrière, métastases aussi dans le sternum. Plus des métastases dans le foie.
IRM natif avec pondération T1.
IRM sagittal natif avec pondération T1. On voit clairement l’extension jusqu'aux lames vertébrales.
Tomographie par émission de positons (TEP)
- Projection d'intensité maximale avec divers traceurs
- Projection d'intensité maximale d'un TEP/scanner avec de la choline. On reconnaît clairement l'enrichissement physiologique dans le foie, le pancréas, les reins, la vessie, larate, la moelle osseuse et les glandes salivaires. La métastase osseuse se trouve dans le pubis à gauche.
- TEP/scanner d'intensité maximale avec du fluorodésoxyglucose (18F) (FDG) avec un cancer du sein en métastases. Tumeur primaire dans le sein droit. Métastases dans les ganglions lymphatiques du médiastin et dans les poumons. Les métastases osseuses sont mieux délimitées dans la vue avec 18F-NaF (vidéo suivante).
- TEP/scanner au maximum d'intensité avec du 18F-NaF (fluorure de sodium) sur un cancer du sein en métastases dans le crâne, la colonne vertébrale, le bassin, les côtes, la clavicule gauche et le fémur droit. Même patiente que dans la vidéo précédente (FDG).
Les métastases osseuses de divers cancers peuvent être très bien visualisées par TEP/scanner. Le procédé est plus sensible que la TEMP et notablement plus que la scintigraphie, cependant, plus sophistiquée, et donc plus onéreuse. Selon de type de tumeur primitive, on utilise divers traceurs, mais le plus souvent le Fluorodésoxyglucose (18F) et le fluorure de sodium NaF (18F), et aussi pour le cancer de la prostate la choline (18F). L'activité métabolique de la tumeur est le plus souvent bien visible avec le FDG, et la réaction de l'os à la métastase avec le NaF[124].
- TEP/scanner à la choline 18F
Métastases ostéolytiques dans la deuxième vertèbre du cou (Axis) d'un cancer de la prostate.
Métastase ostéocondensante d'un cancer de la prostate dans la hanche
Scanner d'une métastase d'un cancer de la prostate à gauche dans le pubis (à dr. sur l'image)
TEP de la même métastase au pubis
Image composite scanner/TEP de la même métastase
Biopsie de la moelle osseuse
Une biopsie de la moelle osseuse peut fournir des informations essentielles sur l'étiologie de la métastase osseuse, spécialement dans le cas d'un cancer avec tumeur primitive inconnue[22]. L'examen pathohistologique des cellules de la métastase obtenues par la biopsie permet une délimitation de la tumeur primitive. Même quand la tumeur primitive est connue, il est possible d'avoir une indication pour une biopsie de la moelle. Dans ce cas, elle sert à assurer le diagnostic, et à exclure l'existence d'un deuxième cancer[87].
La biopsie fournit aussi des informations importantes pour savoir, dans le diagnostic différentiel, s'il s'agit d'une métastase osseuse ou d'une tumeur osseuse primitive. Comme une biopsie peut provoquer des artefacts lors des processus d'imagerie ultérieurs, on la fait en règle générale après les processus d'imagerie[87].
Dans le cas de cellules fortement dédifférenciées, il se peut que l'étude histopathologique ne conduise à aucune conclusion concernant la tumeur primitive[27],[125].
Thérapeutique
Pour la plupart des métastases osseuses causées par des cancers du sein, de la prostate ou des bronches, on ne peut plus entreprendre dans la plupart des cas de traitement curatif. En outre, on ne connaît pas jusqu'à présent de méthode de traitement efficace pour les métastases osseuses. Les bisphosphonates et l'anticorps de RANKL Denosumab améliorent la qualité de vie, mais ne rallongent pas l'espérance de survie des malades[29],[126].
Contrairement aux métastases dans le poumon ou le foie, le temps de survie avec des métastases osseuses est relativement long. Selon les circonstances, elles peuvent pour de nombreux cancers affecter par leurs symptômes l'état de maladie pendant de nombreuses années. Le traitement des douleurs osseuses est un des buts essentiels de la thérapie palliative[3]. Dans certaines publications, l'administration de calcitonine est préconisée pour soulager les douleurs[127],[128]. Dans ce cas, le produit est administré soit par injection sous-cutanée[129] soit comme aérosols intranasaux[130]. De nouvelles études arrivent au résultat que la calcitonine n'est pas appropriée pour la thérapeutique de la douleur dans les métastases osseuses[131],[132].
Les cellules des métastases osseuses se comportent largement comme celles de la tumeur primitive dont elles sont issues. Beaucoup de mesures thérapeutiques efficaces sur la tumeur primitive présentent aussi une efficacité sur les métastases osseuses. Cette forme de traitement, à laquelle appartiennent l'« hormonothérapie », (ou plus exactement antihormonothérapie), et la chimiothérapie, est dirigée contre le type de cancer, et pas spécialement contre les métastases osseuses. D'autres formes de traitement sont spécifiquement destinées à lutter contre les métastases osseuses. Parmi celles-ci, on compte la radiothérapie, la thérapie par bisphosphonate, et les interventions chirurgicales[6].
Radiothérapie

L'utilisation de la radiothérapie pour le traitement des métastases osseuses est purement palliatif. La maladie cancéreuse n'est pas guérie, mais pour environ 70 % des patients ainsi traités, les douleurs sont significativement réduites. D'après une méta-étude de l'année 2000, on a atteint pour 41 % des patients une diminution de la douleur d'au moins 50 % pendant au moins un mois. Un tiers des patients était complètement débarrassé de la douleur après le traitement[133]. Environ 70 % des métastases ostéolytiques se recalcifient après le traitement. La résistance totale de l'os est atteinte à nouveau pour de grandes lésions après environ six mois. D'habitude, on utilise de relativement faibles doses de rayonnement, dans l'intervalle de 10 à 40 Gray. Cette dose est d'habitude répartie en 15 à 18 doses plus petites. L'irradiation peut avoir lieu journellement en ambulatoire et dure jusqu'à quatre semaines. En raison de la faible dose, les effets collatéraux graves sont très rares. La vie privée n'est pas compromise et le traitement n'est pas stigmatisant. Les cheveux ne tombent que sur les régions directement traitées. Les nausées et la fatigue ne surviennent normalement que dans l'irradiation de métastases multiples. Sur la peau, on ne voit que les marques des bords du champ. La dose relativement faible empêche avant tout la croissance des ostéoclastes et réduit l'inflammation du tissu osseux[134].
Radiothérapie métabolique palliative
Dans la radiothérapie métabolique palliative, des médicaments radioactifs sont injectés au patient. Comme pour la radiothérapie externe, le remodelage osseux et les inflammations dans le voisinage des métastases sont freinés par la radiothérapie métabolique. L'efficacité de la radiothérapie métabolique pour les métastases de cancer du sein et de la prostate a été démontrée par de nombreuses études. Le taux de réponses se situe à environ 70 % des patients traités. On obtient une disparition complète de la douleur pour environ 30 % des patients. L'apaisement des douleurs a lieu environ 48 heures après le traitement avec le 186rhénium ou le 153samarium et dure entre un et douze mois[135]. Dans les deux à quatre premiers jours, on obtient chez 10 %[136] à 30 %[137] des patients une accentuation initiale durant en moyenne trois jours des douleurs[137]. Selon le type de tumeur primitive, on peut utiliser encore d'autres radionucléides.
Bisphosphonates

Les bisphosphonates sont – avec les anticorps anti-RANKL (Denosumab) – les seuls médicaments destinés tout particulièrement au traitement des métastases osseuses. Jusqu'à présent ils étaient considérés comme le nec plus ultra[138]. Mais leur utilisation est purement palliative et pas curative[5],[48],[63].
Les bisphosphonates ont été développés initialement pour le traitement de l'ostéoporose. Ils stabilisent les os fragiles en se liant particulièrement fort avec le tissu osseux. Ceci rend plus difficile la dégradation du tissu osseux par les ostéoclastes. Les bisphosphonates sont en général bien supportés et peuvent être administrés en même temps qu'une hormonothérapie ou une chimiothérapie. Les bisphosphonates modernes, comme l'acide zolédronique sont efficaces rapidement et pour longtemps. L'acide zolédronique est appliqué par perfusion. Il existe des bisphosphonates disponibles pour la voie orale, comme l'acide clodronique ou l'acide ibandronique. On peut commodément les prendre sous forme de comprimés par voie orale, ils sont très bien supportés par les reins et bien adaptés à une thérapie au long cours[6]. Ils ne diffèrent que marginalement en efficacité des divers autres bisphosphonates[139]. Les bisphosphonates réduisent en outre les douleurs osseuses provoquées par les métastases[140],[141].
L'nécrose osseuse associée au bisphosphonate dans la région du maxillaire sont un effet secondaire des bisphosphonates décrit depuis 2003[142]. Cette modification osseuse est caractérisée par une ostéonécrose secondaire à une oblitération vasculaire, limitée aux maxillaires[143].
Une discussion fait encore l'objet de controverse : savoir si l’administration de bisphosphonates avant la survenue de métastases osseuses peut avoir une action préventive, voire anti-tumorale[144],[145]. Les études effectuées jusqu’à présent ne donne pas de vision uniforme[6]. In vitro, l'acide zolédronique a la propriété de réprimer les métastases osseuses, de diminuer la prolifération cellulaire et de remonter le taux d'apoptoses[146].
Anticorps du RANKL
L'anticorps monoclonal entièrement humain denosumab offre pour la première fois la possibilité d'intervenir causalement dans le mécanisme pathophysiologique de la destruction de l'os par les ostéoclastes. Le denosumab et similaires sont autorisés pour la prévention de complications osseuses (fracture pathologique, irradiation de l’os, compression médullaire, ou intervention chirurgicales sur l’os) chez l'adulte avec des métastases osseuses dues à des tumeurs primitives solides[147]. Le temps moyen jusqu'à la première survenue de complications osseuses a été de 27,6 mois pour le denosumab et de 19,4 mois pour le bisphosphonate acide zolédronique[148],[149]. Le denosumab interrompt la transmission du signal entre les ostéoblastes et les ostéoclastes qui détruisent l'os. Il joue par là le rôle d'une ostéoprotégérine, le leurre naturel de RANKL. Cette interruption de la transmission du signal interrompt le cercle vicieux de la destruction de l’os. Quand l'ostéoclaste ne reçoit plus d'ordres, il ne peut plus continuer la destruction de l'os. Par la diminution de la néoformation et de l'activation des cellules détruisant l'os, le squelette attaqué et menacé par la métastase est protégé[150].
Des effets rares mais graves sont associées au dénosumab comprennent l'ostéonécrose de la mâchoire, l'hypocalcémie et les fractures fémorales atypiques, avec de multiples fractures vertébrales signalées après l'arrêt du traitement [151]. Il a été conclu qu'une utilisation et un dosage inappropriés du dénosumab pourraient conduire à un résultat insatisfaisant pour les patients, et il est hautement souhaité que davantage d'études optimisent l'administration clinique des patients utilisant le dénosumab avec une meilleure sécurité et efficacité. Il y avait un manque notable de bénéfice en termes de survie sans métastases osseuses chez les patientes traitées par le denosumab comme adjuvant pour le cancer du sein, soulignant la nécessité de recherches supplémentaires sur le rôle potentiel du denosumab dans les tumeurs malignes à un stade précoce [152].
Le denosumab est également autorisé pour le traitement de l'ostéoporose chez les femmes ménopausées avec risque de fracture augmenté. Le denosumab diminue de manière significative le risque de fractures vertébrales, non-vertébrales et de la hanche. Le traitement de la diminution osseuse chez l'homme souffrant de carcinome de la prostate en liaison avec l'ablation hormonale avec un risque augmenté de fracture fait aussi partie de l’autorisation. Le prolia diminue de façon significative le risque de fracture vertébrale chez les hommes avec un carcinome de la prostate traité par thérapie anti-hormonale[153].
Thérapie anti-hormonale
Certaines sortes de tumeurs nécessitent pour leur croissance certaines hormones sexuelles. La présence de ces hormones peut être limitée par une thérapie anti-hormonale ou une thérapie d'élimination de ces hormones. Ceci limite la croissance de la tumeur primitive et également de ses métastases[6]. Une guérison n'est pas possible par thérapie anti-hormonale. Chez les patients atteints de tumeurs qui répondent à ce type de thérapie, on peut néanmoins atteindre un arrêt de la croissance pour de longues durées (des mois ou des années). En outre, les douleurs suscitées par la tumeur sont apaisées[154]. Avec la progression du cancer, après un certain temps, la plupart des cellules tumorales n'ont plus besoin d'hormones sexuelles pour se multiplier. La tumeur devient insensible, ou réfractaire, à l'hormone, et la thérapie anti-hormonale devient inefficace.
Chimiothérapie
La chimiothérapie vise à brider le développement des cellules. Les cellules en forte prolifération, auxquelles appartiennent aussi les cellules tumorales des métastases osseuses, sont particulièrement atteintes, mais aussi les cellules saines qui se divisent rapidement. Par exemple, les cellules des follicules pileux sont perturbées dans leur prolifération et leur différenciation, ce qui peut conduire à la chute des cheveux (alopécie)[155].
Le choix du médicament chimiothérapique est déterminé pour l'essentiel par le type de tumeur, de sa vitesse de croissance et de l’état général du patient. Entre chimiothérapie et thérapie anti-hormonale peuvent s'établir des effets synergiques positifs[6].
Chirurgie
Les opérations chirurgicales des os attaqués par des métastases sont une partie de l'approche globale. Outre un aspect purement palliatif, elles peuvent revêtir dans bien de cas des aspects curatifs, par exemple dans les carcinomes des cellules rénales[156]. L'état général du patient prend dans ce cas une importance particulière. Tout ce qui serait possible sur le plan chirurgical n'est pas réalisé en fait. Il faut que l'opération apporte un bénéfice, dans le cadre général de la maladie[157]. Il faut par exemple que le temps de survie attendu pour le malade s'étende au-delà du temps de soins postopératoires (convalescence)[77]. Dans bien des cas, le meilleur traitement possible ne conduit pas à une augmentation du temps de survie du patient atteint de métastases osseuses[8]. L'état général du patient est extrêmement mauvais, des suites de la maladie ainsi que de celles de la thérapeutique. Dans des cas particuliers, comme spécialement dans le cas de métastases du carcinome des cellules rénales, la chirurgie conserve une chance curative[22].
Un besoin de soins aigu est avant tout le cas des fractures pathologiques, c'est-à-dire la fracture d'os malades sans intervention de forces extérieures, quand il s'agit d'os longs ou de zones du bassin à proximité de la hanche. Également dans le cas d'instabilité de la colonne vertébrale provoquée par des métastases osseuses, et qui peuvent conduire à des accidents neurologiques, comme dans les compressions médullaires ou des racines des nerfs spinaux, une intervention chirurgicale la plus urgente est indiquée[77],[158]. Il est alors relativement simple de donner de la place à la moelle épinière par derrière (dorsalement) et de stabiliser la colonne vertébrale par des implants métalliques[159]. Du côté avant de la colonne vertébrale, il est aussi possible d'enlever tout ou partie des corps vertébraux[160]. La plupart du temps, on utilise pour cela des paniers métalliques[161]. Des procédés moins invasifs, comme la vertébroplastie ou la cyphoplastie sont en outre possibles[162]. Le taux de complications pour les opérations chirurgicales sur la colonne vertébrale sont relativement élevés, en comparaison avec les mêmes interventions sans métastase osseuse. On arrive à des complications pour 6 à 9 % des patients. Une nouvelle opération en raison d'une récidive locale est nécessaire pour au moins 5 % des cas[77].
Les os pour lesquels une fracture est attendue en raison d'une ostéolyse qui progresse ont aussi besoin d'une opération préventive. Si l'ostéolyse atteint 50 % dans un os long, il y a une grande probabilité de fracture pathologique. En particulier pour les métastases dans le haut du fémur, il y a un grand danger de fracture[77].
Pendant l'opération, la métastase est dans la mesure du possible totalement enlevée de l'os. La zone proche des articulations des os longs est alors généralement munie d'une endoprothèse de la tumeur pour être stabilisée[163]. Si la métastase n'est pas proche d'une articulation, l'os long peut être renforcé par une ostéosynthèse ou par une prothèse de diaphyse[164].
Perspectives thérapeutiques
Les succès thérapeutiques de départ aboutissent après quelque temps à une résistance des métastases à la thérapie. Plusieurs procédés thérapeutiques sont en cours de développement, voire d'essais cliniques, pour améliorer cette situation.
Ablations
Pour des opérations chirurgicales ouvertes, le taux de survie des patients âgés et de ceux en mauvais état physique général est très faible. L'endoscopie chirurgicale provoque par contre en règle générale moins de douleurs et conduit à un rétablissement plus rapide du patient.
Diverses procédures d’ablation par endoscopie pour le traitement des métastases osseuses ont été développées ces dernières années. Parmi celles-ci, on compte l'ablation par micro-ondes, la cryothérapie, les ultrasons focalisés de haute intensité (HIFU, angl. : High Intensity Focused Ultrasound) et l'ablation laser. Ces procédés reposent sur une destruction locale des cellules tumorales par une influence purement physique, essentiellement la chaleur, ou le froid dans le cas de la cryothérapie. Le guidage des instruments sur le point de métastase a lieu d'habitude au moyen de procédés d'imagerie, par exemple échographie, scanner, IRM ou radio (angl. image-guided percutaneous ablation)[165]. Ces procédés peuvent être combinés avec l'endoscopie chirurgicale, vertébroplastie ou cyphoplastie dans lesquelles un ciment pour os liquide est injecté dans l'os endommagé[166],[167],[168].
Pour les patients chez lesquels une opération chirurgicale n'est pas possible, l'ablation par micro-ondes offre une alternative spéciale pour le traitement des métastases osseuses[169],[170],[171].
Avec ces procédés, on ne peut cependant traiter qu'un nombre limité de métastases osseuses[172], si bien que pour un grand nombre, on ne traite en préférence que les lésions les plus douloureuses[173],[174].
Ces procédés sont utilisés isolément pour le traitement palliatif de métastases osseuses. Jusqu'à présent, il n'y a pas encore assez de données prédictives sur leur efficacité et leur durée, à partir de petites études cliniques, dont les résultats, en particulier pour l'ablation par micro-ondes, sont particulièrement prometteurs[175],[176],[177],[178].
On peut aussi apporter des médicaments sous imagerie dans les métastases osseuses. Un médicament est l'éthanol, dans l'ablation percutanée par éthanol[179].
- Vues au scanner d'une ablation aux micro-ondes
Avant l'ablation : crête supérieure arrière de l'ilion, avec une métastase ostéolytique (diam. environ 2 cm, flèches)
A-Pendant l'ablation, l'électrode micro-onde est directement insérée dans la métastase. B-En fin d'ablation, un mélange de ciment pour os et de sulfate de baryum est injecté dans l'espace vide créé.
Après ablation, la répartition du ciment dans l'espace vide est visible.
Développement de médicaments
Avec une meilleure compréhension des processus de biologie moléculaire qui conduisent à des métastases osseuses et aux processus destructifs associés, on a pu développer quelques substances potentiellement actives nouvelles, qui pourraient élever le temps de survie moyen. Ces substances se trouvent encore au stade des essais cliniques[138],[180].
Dans ce contexte, l'anticorps monoclonal denosumab paraît particulièrement prometteur (cf. § 5.4).
D'autres substances potentiellement prometteuses sont par exemple l'odanacatib[181], l'évérolimus[182], l'atrasentan[183] et l'anticorps monoclonal MCS110 anti-colony stimulating factor (CSF) de macrophages[184],[185],[186].
Pronostic
Comme dans toutes les maladies cancéreuses proliférantes (à métastases), le pronostic global en cas de métastases osseuses est mauvais. En général, la maladie n'est plus guérissable. Fondamentalement, le pronostic pour les métastases osseuses est fortement dépendant de la tumeur primitive, et c'est donc le facteur de pronostic le plus important. Les métastases se comportent largement comme la tumeur primitive. Si bien que les tumeurs primitives difficilement guérissables ont des métastases difficilement guérissables, notamment les osseuses : un exemple en est le carcinome bronchique. Pour des tumeurs avec de très bons résultats thérapeutiques, même dans les stades avancés avec des métastases éloignées, les métastases osseuses peuvent dans beaucoup de cas se guérir, c'est-à-dire qu'on aboutit à une guérison totale : comme exemples, citons avant tout le cancer du testicule et le carcinome folliculaire de la thyroïde.
Chez les patients avec cancer du sein ou de la prostate, le temps de survie moyen après le premier diagnostic de métastase osseuse est de 12 à 18 mois, tandis que pour les patients avec un carcinome bronchique il n'est que de trois mois[187]. Des patients chez lesquels des métastases ne se sont développées que dans les os, peuvent survivre avec pour dix ans ou plus[188],[189],[190],[191],[192].
Le nombre de métastases, si elles apparaissent seule ou multiples, a aussi une influence significative sur le pronostic, en tous cas pour le cancer du sein et le carcinome des cellules rénales. Si la tumeur a des métastases dans d'autres organes, le pronostic va dépendre exclusivement du siège de ces métastases, mais il est en général assez détérioré. Les métastases osseuses n'ont alors plus beaucoup d'influence sur le temps de survie. Le lieu des métastases osseuses n'a que peu d'influence sur le pronostic, mais il intervient sur les possibilités d'intervention chirurgicale. L'âge du patient influence peu le pronostic[12],[193]. Pour le carcinome de la prostate, les métastases osseuses sont la cause première de décès[52].
Un autre paramètre important encore pour le pronostic est ce qu'on appelle l'indice de Karnofsky, qui décrit l'efficacité globale du patient[187].
Métastases osseuses en médecine vétérinaire

Les métastases osseuses sont très anciennes dans l'évolution. On en trouve déjà chez des fossiles, comme sur des os de dinosaures[13], par radio X[194],[195].
La survenue de métastases osseuses chez le chien est nettement plus rare que chez l'homme. Pour les cancers de la mamelle, environ seulement 10 % des animaux développent des métastases osseuses[196]. Dans ces cas, ce sont pour l’essentiel les vertèbres lombaires et les os du bassin qui sont atteints. Les autres tumeurs qui font des métastases typiquement dans les os du chien sont les cancers de la prostate, de l'urètre et de la vessie, ainsi que l'histiocytose maligne. Les tumeurs primitives de l'os, du type de l'ostéosarcome, notablement plus fréquentes, en particulier chez les races de grande taille, font de préférence des métastases dans les os[196]p. 406. Avec l'utilisation croissante des chimiothérapies pour les cancers du chien, le comportement des métastases des tumeurs se modifie tellement que l'on trouve de plus en plus de tumeurs osseuses[196]p. 390.
Chez le chat, les métastases osseuses des cancers sont extrêmement rares. Parmi les tumeurs auxquelles il arrive de le faire, on compte l'angiosarcome, le cancer de la prostate, l'ostéosarcome et le carcinome de l'urothélium du système urinaire[197].
Pour la recherche des métastases osseuses, sa prévention et sa thérapeutique, on utilise avant tout l'organisme modèle la souris, en particulier la souris « nude ». Chez les souris avec ce défaut immunitaire, on peut inoculer des cellules tumorales humaines, qui se développent après quelques semaines en métastases osseuses[63].
Notes et références
- (de) Cet article est partiellement ou en totalité issu de l’article de Wikipédia en allemand intitulé « Knochenmetastase » (voir la liste des auteurs).
- (de) C. P. Adler, Knochenkrankheiten., Springer, , 3e éd. (ISBN 3-540-21962-5), p. 418–429.
- (de) A. Pelz, Retrospektive Untersuchungen zur zytologischen und histologischen Diagnostik von Knochenmarkmetastasen im Untersuchungsmaterial des Institutes für Pathologie des Klinikums Bad Saarow im Zeitraum von 1993-2006. : Dissertation, Charité – Universitätsmedizin Berlin, (lire en ligne) p. 1
- (de) B. Krempien, « Die Entstehung von Knochenschmerzen bei Knochenmetastasen und ihre Behandlung durch Bisphosphonate. », dans H. H. Bartsch, W. Hornstein, Interdisziplinäre Schmerztherapie bei Tumorpatienten., Karger Publishers, (ISBN 3-805-56594-1).
- (en) H. Yasuda, N. Shima et coll., « Osteoclast differentiation factor is a ligand for osteoprotegerin/osteoclastogenesis-inhibitory factor and is identical to TRANCE/RANKL. », Proceedings of the National Academy of Sciences of the United States of America, vol. 95, no 7, , p. 3597–3602 (ISSN 0027-8424, PMID 9520411, PMCID 19881).
- (en) G. D. Roodman, « Mechanisms of bone metastasis. », Discovery medicine, vol. 4, no 22, , p. 144–148 (ISSN 1944-7930, PMID 20704976) (Open Access).
- (de) I. J. Diel, H. Seegenschmiedt, « Therapie von Skelettmetastasen. », dans H.-J. Schmoll, K. Höffken, K. Possinger, Kompendium Internistische Onkologie., Springer, , 994–1014 p. (ISBN 978-3-540-20657-6, lire en ligne).
- (de) G. Layer, « Skelettmetastasen. », dans J. Freyschmidt, A. Stäbler, Handbuch diagnostische Radiologie., Springer, , 327–338 p. (ISBN 978-3-540-26388-3, présentation en ligne).
- (en) W. K. Hong, R. C. Bast, W. Hait et coll., Holland-Frei : Cancer Medicine., vol. 8, Shelton, Conn., BC Decker, , 2021 p. (ISBN 978-1-60795-014-1 et 1-60795-014-6, lire en ligne) (aperçu limité sur Google livres).
- (en) J. R. Neff, « Metastatic disease to bone. », dans M. M. Lewis, Musculoskeletal oncology: a multi-disciplinary approach., W. B. Saunders, (ISBN 0-721-65771-0), p. 377–399.
- (en) H. L. Abrams, R. Spiro et N. Goldstein, « Metastases in carcinoma; analysis of 1000 autopsied cases. », Cancer, vol. 3, no 1, , p. 74–85 (ISSN 0008-543X, PMID 15405683).
- (en) M. Campanacci, « Anonymous bone and soft tissue tumors. », dans Bone metastases from carcinomas., Wien, New York, Springer, , p. 677–679.
- (de) H. R. Dürr et H. J. Refior, « Prognose of skelettärer Metastasen. », Der Orthopäde, vol. 27, no 5, , p. 294–300 (ISSN 0085-4530, PMID 9646321, lire en ligne).
- (en) R. A. Ruggiero, O. D. Bustuoabad, P. Chiarella, J. Bruzzo, R. P. Meiss, « On the biological Significance of Tumor Growth. », dans D. Kimura, Cell growth processes - New Research., Nova Publishers, (ISBN 1-604-56132-7), p. 89-122 (aperçu limité sur Google Livres).
- (en) M. E. Kricun, « Edward B. D. Neuhauser Lecture. Paleoradiology of the prehistoric Australian aborigines. », American journal of roentgenology, vol. 163, no 2, , p. 241–247 (ISSN 0361-803X, PMID 8037007, lire en ligne).
- (en) Y. Gorina, D. Hoyert, H. Lentzner et M. Goulding, « Trends in Causes of Death among Older Persons in the United States. », Aging Trends., National Center for Health Statistics, vol. 6, (lire en ligne) selon données de Deaths: Leading Causes of 2002., NVSR, 53, no 17.
- (de)« Krebs in Deutschland 2005/2006 – Häufigkeiten und Trends. »(Archive.org • Wikiwix • Archive.is • Google • Que faire ?), sur Robert-Koch-Institut, (consulté le ).
- (en) D. M. Sciubba et Z. L. Gokaslan, « Diagnosis and management of metastatic spine disease. », Surgical oncology, vol. 15, no 3, , p. 141–151 (ISSN 0960-7404, PMID 17184989, DOI 10.1016/j.suronc.2006.11.002) (revue).
- (de) S. Freynik, Ballonkyphoplastie von pathologischen Frakturen der Wirbelkörper bei vertebralen Tumormetastasen. Prospektive Studie mit 65 Patienten über zwei Jahre Nachuntersuchungszeitraum. : Dissertation, Medizinische Fakultät Charité – Universitätsmedizin Berlin, (lire en ligne).
- (en) L. Bubendorf, A. Schöpfer, U. Wagner, G. Sauter, H. Moch, N. Willi, T. C. Gasser et M. J. Mihatsch, « Metastatic patterns of prostate cancer: an autopsy study of 1,589 patients. », Human pathology, vol. 31, no 5, , p. 578–583 (ISSN 0046-8177, PMID 10836297).
- (en) I. Roato, P. D'Amelio, E. Gorassini, A. Grimaldi et coll., « Osteoclasts are active in bone forming metastases of prostate cancer patients. », PLoS ONE, vol. 3, no 11, , e3627 (ISSN 1932-6203, PMID 18978943, PMCID 2574033, DOI 10.1371/journal.pone.0003627, lire en ligne).
- (de) C. P. Adler, G. W. Herget et M. Uhl, Radiologische Diagnostik der Knochenkrankheiten., (ISBN 3-540-20465-2), p. 166-170 (aperçu limité sur Google livres).
- (en) H. R. Dürr, V. Jansson et P. U. Tunn, « Differenzierte Therapie metastatischer Läsionen des Knochens. », Arthritis und Rheuma, vol. 3, , p. 162–168.
- (en) L. A. Liotta et E. C. Kohn, Holland-Frei : Invasion and Metastases., BC Decker, , 5e éd. (lire en ligne).
- (de) T. Peters, Inzidenz von Knochenmetastasen bei der Erstdiagnose von Prostatakarzinomen in Abhängigkeit vom prostataspezifischen Antigen. : Dissertation, Westfälische Wilhelms-Universität Münster, (lire en ligne).
- (en) R. L. Carter, « Patterns and mechanisms of bone metastases. », Journal of the Royal Society of Medicine, vol. 78 Suppl 9, , p. 2–6 (ISSN 0141-0768, PMID 4045915, PMCID 1289525).
- (de) H. Noltenius, D. Wolter, « Zur allgemeinen Pathologie der Tumormetastasen. », dans H. Remé, Osteolysen: pathologische Frakturen., Thieme, (ISBN 3-136-36501-1), p. 2–14.
- S. Braun, Operative Therapie und Prognose bei Patienten mit skelettären Karzinommetastasen.
- (en) R. L. Carter, « Patterns and mechanisms of localized bone invasion by tumors: studies with squamous carcinomas of the head and neck. », Critical reviews in clinical laboratory sciences, vol. 22, no 3, , p. 275–315 (ISSN 1040-8363, PMID 3899510) (revue).
- (en) P. Clezardin et A. Teti, « Bone metastasis: pathogenesis and therapeutic implications. », 'Clinical & experimental metastasis, vol. 24, no 8, , p. 599–608 (ISSN 0262-0898, PMID 18008175, DOI 10.1007/s10585-007-9112-8) (revue).
- (en) A. F. Chambers, A. C. Groom et I. C. MacDonald, « Dissemination and growth of cancer cells in metastatic sites. », Nature Reviews Cancer, vol. 2, no 8, , p. 563–572 (ISSN 1474-175X, PMID 12154349, DOI 10.1038/nrc865) (revue).
- (de) C. F. Nußbaum, Funktion von Thrombozyten bei antivaskulärer Tumortherapie durch Paclitaxel enkapsuliert in kationische Liposomen. : Dissertation, Ludwig-Maximilians-Universität zu München, (lire en ligne), p. 2.
- (en) E. J. Raubenheimer et C. E. Noffke, « Pathogenesis of bone metastasis: a review. », Journal of oral pathology & medicine, vol. 35, no 3, , p. 129–135 (ISSN 0904-2512, PMID 16454807, DOI 10.1Remodelage du tissu osseux111/j.1600-0714.2006.00360.x) (revue).
- (de) R. Bartl, E. von Tresckow et C. Bartl, Bisphosphonat-Manual : Wirkungen – Indikationen – Strategien. : chap. 9 : Knochenmetastasen, Springer, (ISBN 3-540-25362-9), p. 225–249 (aperçu très limité sur Google livres).
- (en) G. S. Forbes, R. A. McLeod et R. R. Hattery, « Radiographic manifestations of bone metastases from renal carcinoma. », AJR. American journal of roentgenology, vol. 129, no 1, , p. 61–66 (ISSN 0361-803X, PMID 409145, lire en ligne).
- S. Braun, Operative Therapie und Prognose bei Patienten mit skelettären Karzinommetastasen, p. 25.
- (en) T. A. Guise, J. J. Yin et K. S. Mohammad, « Role of endothelin-1 in osteoblastic bone metastases. », Cancer, vol. 97, no 3 Suppl, , p. 779–784 (ISSN 0008-543X, PMID 12548575, DOI 10.1002/cncr.11129, résumé, lire en ligne) (revue).
- (en) T. A. Guise et G. R. Mundy, « Cancer and bone. », Endocrine reviews, vol. 19, no 1, , p. 18–54 (ISSN 0163-769X, PMID 9494779, lire en ligne) (revue).
- (en) Massachusetts General Hospital, « Case records of the Massachusetts General Hospital. Weekly clinicopathological exercises. Case 29-1972. », The New England Journal of Medicine, vol. 287, no 3, , p. 138–143 (ISSN 0028-4793, PMID 4338086, DOI 10.1056/NEJM197207202870308).
- (en) M. R. Paling et T. L. Pope, « Computed tomography of isolated osteoblastic colon metastases in the bony pelvis. », The Journal of computed tomography, vol. 12, no 3, , p. 203–207 (ISSN 0149-936X, PMID 3168541).
- (en) J. E. Kingston, P. N. Plowman, B. F. Smith et N. J. Garvan, « Differentiated astrocytoma with osteoblastic skeletal metastases in a child. », Child's nervous system, vol. 2, no 4, , p. 219–221 (ISSN 0256-7040, PMID 3779686).
- (en) A. S. Gamis, J. Egelhoff, G. Roloson, J. Young, G. M. Woods, R. Newman et A. I. Freeman, « Diffuse bony metastases at presentation in a child with glioblastoma multiforme. A case report. », Cancer, vol. 66, no 1, , p. 180–184 (ISSN 0008-543X, PMID 2162242).
- (en) M. K. McLennan, « Case report 657: Malignant epithelial thymoma with osteoplastic metastases. », Skeletal radiology, vol. 20, no 2, , p. 141–144 (ISSN 0364-2348, PMID 2020863).
- (en) N. Giordano, P. Nardi, P. Vigni, F. Palumbo, E. Battisti et C. Gennari, « Osteoblastic metastases from carcinoid tumor. », Clinical and experimental rheumatology, vol. 12, no 2, , p. 228–229 (ISSN 0392-856X, PMID 8039297).
- (en) C. C. Liaw, Y. S. Ho, N. G. Koon-Kwan, T. L. Chen et W. C. Tzann, « Nasopharyngeal carcinoma with brain metastasis: a case report. », Journal of neuro-oncology, vol. 22, no 3, , p. 227–230 (ISSN 0167-594X, PMID 7760099).
- (en) R. T. Pederson, D. J. Haidak, R. A. Ferris, J. S. Macdonald et P. S. Schein, « Osteoblastic bone metastasis in Zollinger-Ellison syndrome. », Radiology, vol. 118, no 1, , p. 63–64 (ISSN 0033-8419, PMID 1244675).
- (en) A. Pingi, G. Trasimeni, C. Di Biasi, G. Gualdi, G. Piazza, F. Corsi et F. Chiappetta, « Diffuse leptomeningeal gliomatosis with osteoblastic metastases and no evidence of intraaxial lesions. », AJNR. American journal of neuroradiology, vol. 16, no 5, , p. 1018–1020 (ISSN 0195-6108, PMID 7639122).
- (en) J. George et F. M. Lai, « Metastatic cervical carcinoma presenting as psoas abscess and osteoblastic and lytic bony metastases. », Singapore medical journal, vol. 36, no 2, , p. 224–227 (ISSN 0037-5675, PMID 7676275).
- (en) G. D. Roodman, « Mechanisms of bone metastasis. », The New England journal of medicine, vol. 350, no 16, , p. 1655–1664 (ISSN 1533-4406, PMID 15084698, DOI 10.1056/NEJMra030831) (revue).
- (en) R. E. Coleman et J. J. Seaman, « The role of zoledronic acid in cancer: clinical studies in the treatment and prevention of bone metastases. », Seminars in oncology, vol. 28, no 2 Suppl 6, , p. 11–16 (ISSN 0093-7754, PMID 11346860) (revue).
- (en) L. W. K. Chung, W.-C. Huang, S.-Y. Sung, D. Wu, V. Odero-Marah, H. E. Zhau, « Cancer–Host Interactions. », dans L. W. K. Chung, W. B. Isaacs, J.W. Simons, Prostate cancer – biology, genetics, and the new therapeutics., Humana Press, (ISBN 1-588-29696-2), p. 76–78.
- (en) N. Rucci et A. Teti, « Osteomimicry: how tumor cells try to deceive the bone. », Frontiers in bioscience (Scholar edition), vol. 2, , p. 907–915 (ISSN 1945-0524, PMID 20515833) (revue).
- (en) K. Knerr, K. Ackermann, T. Neidhart et W. Pyerin, « Bone metastasis: Osteoblasts affect growth and adhesion regulons in prostate tumor cells and provoke osteomimicry. », International journal of cancer. Journal international du cancer, vol. 111, no 1, , p. 152–159 (ISSN 0020-7136, PMID 15185357, DOI 10.1002/ijc.20223, lire en ligne).
- (de)K. Ackermann, W. Pyerin, « Zwiegespräche zwischen Knochen und Tumorzellen. », sur orthinform.de, (consulté le ).
- (de) G. N. Thalmann, M. G. Cecchini, A. Wetterwald, R. Schwanninger et C. Rentsch, « Knochenmetastasen – Zufall oder vorbestimmt? », UNIPRESS, vol. 120, , p. 34–36 (lire en ligne).
- (en) N. S. Fedarko, B. Fohr, P. G. Robey, M. F. Young et L. W. Fisher, « Factor H binding to bone sialoprotein and osteopontin enables tumor cell evasion of complement-mediated attack. », The Journal of Biological Chemistry, vol. 275, no 22, , p. 16666–16672 (ISSN 0021-9258, PMID 10747989, DOI 10.1074/jbc.M001123200, lire en ligne).
- (en) H. T. Khong et N. P. Restifo, « Natural selection of tumor variants in the generation of "tumor escape" phenotypes. », Nature immunology, vol. 3, no 11, , p. 999–1005 (ISSN 1529-2908, PMID 12407407, PMCID 1508168, DOI 10.1038/ni1102-999) Texte sur PMCID (revue).
- (en) K. S. Koeneman, F. Yeung et L. W. Chung, « Osteomimetic properties of prostate cancer cells: a hypothesis supporting the predilection of prostate cancer metastasis and growth in the bone environment. », The Prostate, vol. 39, no 4, , p. 246–261 (ISSN 0270-4137, PMID 10344214) (revue).
- (en) A. Halas, Crosstalk of cells in bone metastasis : Molecular and cellular analysis of the mutual effects of prostate cancer cells and osteoblasts. : Dissertation, Universität Kaiserslautern, (lire en ligne).
- (en) M. Hirao, J. Hashimoto, N. Yamasaki, W. Ando, H. Tsuboi, A. Myoui et H. Yoshikawa, « Oxygen tension is an important mediator of the transformation of osteoblasts to osteocytes. », Journal of bone and mineral metabolism, vol. 25, no 5, , p. 266–276 (ISSN 0914-8779, PMID 17704991, DOI 10.1007/s00774-007-0765-9, lire en ligne).
- (en) A. L. Harris, « Hypoxia–a key regulatory factor in tumour growth. », Nature reviews. Cancer, vol. 2, no 1, , p. 38–47 (ISSN 1474-175X, PMID 11902584, DOI 10.1038/nrc704) (revue).
- (en) J. M. Brown et W. R. Wilson, « Exploiting tumour hypoxia in cancer treatment. », Nature reviews. Cancer, vol. 4, no 6, , p. 437–447 (ISSN 1474-175X, PMID 15170446, DOI 10.1038/nrc1367) (revue).
- (en) Gregg L. Semenza, « Targeting HIF-1 for cancer therapy. », Nature reviews. Cancer, vol. 3, no 10, , p. 721–732 (ISSN 1474-175X, PMID 13130303, DOI 10.1038/nrc1187) (revue).
- (en) L. K. Dunn, K. S. Mohammad, P. G. Fournier, C. R. McKenna, H. W. Davis, M. Niewolna, X. H. Peng, J. M. Chirgwin et T. A. Guise, « Hypoxia and TGF-beta drive breast cancer bone metastases through parallel signaling pathways in tumor cells and the bone microenvironment. », PloS one, vol. 4, no 9, , e6896 (ISSN 1932-6203, PMID 19727403, PMCID 2731927, DOI 10.1371/journal.pone.0006896, lire en ligne) (Texte dans PMCID et DOI).
- (en) H. Zhong, A. M. De Marzo, E. Laughner, M. Lim, D. A. Hilton, D. Zagzag, P. Buechler, W. B. Isaacs, Gregg L. Semenza et J. W. Simons, « Overexpression of hypoxia-inducible factor 1alpha in common human cancers and their metastases. », Cancer Research, vol. 59, no 22, , p. 5830–5835 (ISSN 0008-5472, PMID 10582706, lire en ligne).
- (de) D. A. Wölke, Ergebnisse der Strahlentherapie bei schmerzhaften Skelettmetastasen. : Dissertation, Westfälische Wilhelms-Universität Münster, (lire en ligne).
- (en) S. Mercadante et F. Fulfaro, « Management of painful bone metastases. », Current opinion in oncology, vol. 19, no 4, , p. 308–314 (ISSN 1040-8746, PMID 17545792, DOI 10.1097/CCO.0b013e3281214400) (revue).
- (en) P. Honore et P. W. Mantyh, « Bone cancer pain: from mechanism to model to therapy. », Pain medicine (Malden, Mass.), vol. 1, no 4, , p. 303–309 (ISSN 1526-2375, PMID 15101876).
- (en) I. Roato, M. Grano, G. Brunetti, S. Colucci, A. Mussa, O. Bertetto et R. Ferracini, « Mechanisms of spontaneous osteoclastogenesis in cancer with bone involvement. », The FASEB journal, vol. 19, no 2, , p. 228–230 (ISSN 1530-6860, PMID 15550550, DOI 10.1096/fj.04-1823fje).
- (en) H. A. Harvey et L. R. Cream, « Biology of bone metastases: causes and consequences. », Clinical breast cancer, vol. 7 Suppl 1, , S7–S13 (ISSN 1526-8209, PMID 17683652) (revue).
- (en) P. W. Mantyh, D. R. Clohisy, M. Koltzenburg et S. P. Hunt, « Molecular mechanisms of cancer pain. », Nature reviews. Cancer, vol. 2, no 3, , p. 201–209 (ISSN 1474-175X, PMID 11990856, DOI 10.1038/nrc747) (revue).
- (en) M. Nagae, T. Hiraga et T. Yoneda, « Acidic microenvironment created by osteoclasts causes bone pain associated with tumor colonization. », Journal of bone and mineral metabolism, vol. 25, no 2, , p. 99–104 (ISSN 0914-8779, PMID 17323179, DOI 10.1007/s00774-006-0734-8).
- (en) D. B. Mach, S. D. Rogers, M. C. Sabino, N. M. Luger et coll., « Origins of skeletal pain: sensory and sympathetic innervation of the mouse femur. », Neuroscience, vol. 113, no 1, , p. 155–166 (ISSN 0306-4522, PMID 12123694).
- (en) P. Honore, S. D. Rogers, M. J. Schwei, J. L. Salak-Johnson, N. M. Luger, M. C. Sabino, D. R. Clohisy et P. W. Mantyh, « Murine models of inflammatory neuropathic and cancer pain each generates a unique set of neurochemical changes in the spinal cord and sensory neurons. », Neuroscience, vol. 98, no 3, , p. 585–598 (ISSN 0306-4522, PMID 10869852).
- (en) L. Doré-Savard, V. Otis, K. Belleville, M. Lemire et coll., « Behavioral, medical imaging and histopathological features of a new rat model of bone cancer pain. », PloS one, vol. 5, no 10, , e13774 (ISSN 1932-6203, PMID 21048940, PMCID 2966439, DOI 10.1371/journal.pone.0013774, lire en ligne) (Open Access).
- S. Braun, Operative Therapie und Prognose bei Patienten mit skelettären Karzinommetastasen, p. 11.
- (en) R. J. Papac, « Bone marrow metastases. A review. », Cancer, vol. 74, no 9, , p. 2403–2413 (ISSN 0008-543X, PMID 7922993) (revue).
- (de) H. J. Helling, « Therapie symptomatischer Knochenmetastasen. », dans U. B. Hankemeier, Tumorschmerztherapie., Springer, (ISBN 3-540-20431-8), p. 167 sq..
- (en) S. Bottiglieri, V. Adams et K. M. Smith, « Pharmacologic prevention of skeletal-related events in cancer patients. », Orthopedics, vol. 33, no 8, , p. 577–580 (ISSN 1938-2367, PMID 20704155, DOI 10.3928/01477447-20100625-20) (revue).
- (en) L. Costa et P. P. Major, « Effect of bisphosphonates on pain and quality of life in patients with bone metastases. », Nature clinical practice. Oncology, vol. 6, no 3, , p. 163–174 (ISSN 1743-4262, PMID 19190592, DOI 10.1038/ncponc1323) (revue).
- (en) J. S. Zimmermann, M. W. Groß, T. Riegel et R. Engenhart-Cabillic, « Spinales Kompressionssyndrom. », Der Onkologe, vol. 5, no 12, , p. 1054–1061 (ISSN 0947-8965).
- (de) D. Bottke, S. Hammersen, S. Höcht et W. Hinkelbein, « Spinales Kompressionssyndrom. », Der Onkologe, vol. 10, no 4, , p. 345–350 (DOI 10.1007/s00761-004-0693-4).
- (de) R. Kath, E. Aulbert, K. Höffgen, « Behandlung onkologischer Notfälle. », dans E. Aulbert, F. Nauck, L. Radbruch, Lehrbuch der Palliativmedizin., Schattauer Verlag, (ISBN 3-794-52361-X) aperçu limité sur Google livres.
- (en) P. J. Hoskin, A. Grover et R. Bhana, « Metastatic spinal cord compression: radiotherapy outcome and dose fractionation. », Radiotherapy and oncology: journal of the European Society for Therapeutic Radiology and Oncology, vol. 68, no 2, , p. 175–180 (ISSN 0167-8140, PMID 12972313).
- (en) M. C. Chamberlain et P. A. Kormanik, « Epidural spinal cord compression: a single institution's retrospective experience. », Neuro-oncology, vol. 1, no 2, , p. 120–123 (ISSN 1522-8517, PMID 11550307, PMCID 1920751).
- (en) F. Lumachi, A. Brunello, A. Roma et U. Basso, « Cancer-induced hypercalcemia. », Anticancer research, vol. 29, no 5, , p. 1551–1555 (ISSN 0250-7005, PMID 19443365) (revue).
- (de) A. A. Kurth, L. Hovy et T. Hennigs, Bisphosphonattherapie von Knochenerkrankungen., Birkhäuser, (ISBN 3-7985-1266-3), p. 37.
- (de) B. Wippermann, E. Mössinger, H. E. Schratt et C. Krettek, « Diagnostik und Therapie von Knochenmetastasen. », Der Unfallchirurg, vol. 105, no 2, , p. 147–160 (ISSN 0177-5537, PMID 11968542).
- (de) C. Meier et M. J. Seibel, « Biochemische Knochenumbaumarker bei Knochenmetastasen. », Onkologie, vol. 5, , p. 34–39 (lire en ligne).
- (en) Q. Q. Kong, T. W. Sun, Q. Y. Dou, F. Li, Q. Tang, F. X. Pei, C. Q. Tu et Z. Q. Chen, « Beta-CTX and ICTP act as indicators of skeletal metastasis status in male patients with non-small cell lung cancer. », The International journal of biological markers, vol. 22, no 3, , p. 214–220 (ISSN 0393-6155, PMID 17922466).
- (de) M. Lein, A. Ramankulov, C. Stephan, J. Kramer, S. A. Loening et K. Jung, « Neue Serummarker zur Diagnostik von Knochenmetastasen beim Prostatakarzinom. », Der Urologe. Ausg. A, vol. 46, no 9, , p. 1087–1088 (ISSN 0340-2592, PMID 17628774, DOI 10.1007/s00120-007-1437-z).
- (de) H. Renz, Praktische Labordiagnostik., Walter de Gruyter, , 603 p. (ISBN 978-3-11-019576-7 et 3-11-019576-3, lire en ligne), p. 431.
- (en) A. G. Zafeirakis, G. A. Papatheodorou et G. S. Limouris, « Clinical and imaging correlations of bone turnover markers in prostate cancer patients with bone only metastases. », Nuclear medicine communications, vol. 31, no 3, , p. 249–253 (ISSN 1473-5628, PMID 20038858, DOI 10.1097/MNM.0b013e328335a5ed).
- (en) K. Jung, M. Lein, C. Stephan, K. Von Hösslin, A. Semjonow, P. Sinha, S. A. Loening et D. Schnorr, « Comparison of 10 serum bone turnover markers in prostate carcinoma patients with bone metastatic spread: diagnostic and prognostic implications. », International journal of cancer, vol. 111, no 5, , p. 783–791 (ISSN 0020-7136, PMID 15252851, DOI 10.1002/ijc.20314).
- (en) J. E. Brown et S. Sim, « Evolving role of bone biomarkers in castration-resistant prostate cancer. », Neoplasia (New York, N.Y.), vol. 12, no 9, , p. 685–696 (ISSN 1476-5586, PMID 20824045, PMCID 2933689, lire en ligne) (revue).
- (en) A. Berruti, M. Torta, A. Piovesan, C. A. Raucci, F. Orlandi, A. Panero, L. Dogliotti et A. Angeli, « Biochemical picture of bone metabolism in breast cancer patients with bone metastases. », Anticancer research, vol. 15, no 6B, , p. 2871–2875 (ISSN 0250-7005, PMID 8669881).
- (en) J. Melkko, S. Kauppila, S. Niemi, L. Risteli, K. Haukipuro, A. Jukkola et J. Risteli, « Immunoassay for intact amino-terminal propeptide of human type I procollagen. », Clinical chemistry, vol. 42, nos 6-1, , p. 947–954 (ISSN 0009-9147, PMID 8665688).
- (en) O. Orum, M. Hansen, C. H. Jensen, H. A. Sørensen, L. B. Jensen, K. Hørslev-Petersen et B. Teisner, « Procollagen type I N-terminal propeptide (PINP) as an indicator of type I collagen metabolism: ELISA development, reference interval, and hypovitaminosis D induced hyperparathyroidism. », Bone, vol. 19, no 2, , p. 157–163 (ISSN 8756-3282, PMID 8853860).
- (de) D. Pollmann, Ein neuer, automatisierter PINP-Assay im Vergleich zu etablierten Markern des Knochenmetabolismus und der Tumormasse in der Verlaufsbeurteilung des ossär metastasierten Mammakarzinoms. : Dissertation, Medizinischen Fakultät Charité - Universitätsmedizin Berlin, .
- (en) I. Elomaa, L. Risteli, M. Laakso, R. Lahtinen, P. Virkkunen et J. Risteli, « Monitoring the action of clodronate with type I collagen metabolites in multiple myeloma. », European journal of cancer, vol. 32A, no 7, , p. 1166–1170 (ISSN 0959-8049, PMID 8758248).
- (en) M. Koizumi, J. Yonese, I. Fukui et E. Ogata, « The serum level of the amino-terminal propeptide of type I procollagen is a sensitive marker for prostate cancer metastasis to bone. », BJU international, vol. 87, no 4, , p. 348–351 (ISSN 1464-4096, PMID 11251528).
- (en) R. Tähtelä et E. Thölix, « Serum concentrations of type I collagen carboxyterminal telopeptide (ICTP) and type I procollagen carboxy-and aminoterminal propeptides (PICP, PINP) as markers of metastatic bone disease in breast cancer. », Anticancer research, vol. 16, no 4B, , p. 2289–2293 (ISSN 0250-7005, PMID 8694558).
- (en) T. Saarto, C. Blomqvist, J. Risteli, L. Risteli, S. Sarna et I. Elomaa, « Aminoterminal propeptide of type I procollagen (PINP) correlates to bone loss and predicts the efficacy of antiresorptive therapy in pre- and post-menopausal non-metastatic breast cancer patients. », British journal of cancer, vol. 78, no 2, , p. 240–245 (ISSN 0007-0920, PMID 9683300, PMCID 2062893).
- (en) D. Pollmann, S. Siepmann, R. Geppert, K. D. Wernecke, K. Possinger et D. Lüftner, « The amino-terminal propeptide (PINP) of type I collagen is a clinically valid indicator of bone turnover and extent of metastatic spread in osseous metastatic breast cancer. », Anticancer research, vol. 27, no 4A, , p. 1853–1862 (ISSN 0250-7005, PMID 17649784, lire en ligne).
- (de)« I-carboxyterminales Telopeptid (ICTP) – kataboler Knochenmarker. », sur Würmtal-Diagnostics, (consulté le ).
- (en) A. M. Salem, S. F. Zohny, M. M. Abd El-Wahab et R. Hamdy, « Predictive value of osteocalcin and beta-CrossLaps in metastatic breast cancer. », Clinical biochemistry, vol. 40, nos 16–17, , p. 1201–1208 (ISSN 0009-9120, PMID 17889845, DOI 10.1016/j.clinbiochem.2007.07.006).
- (en) T. A. Gardner, S. J. Lee, S. D. Lee, X. Li, T. Shirakawa, D. D. Kwon, R. Y. Park, K. Y. Ahn et C. Jung, « Differential expression of osteocalcin during the metastatic progression of prostate cancer. », Oncology reports, vol. 21, no 4, , p. 903–908 (ISSN 1021-335X, PMID 19287987).
- (en) Y. Gao, H. Lu, Q. Luo, X. Wu et S. Sheng, « Predictive value of osteocalcin in bone metastatic differentiated thyroid carcinoma. », Clinical biochemistry, vol. 43, no 3, , p. 291–295 (ISSN 1873-2933, PMID 19732762, DOI 10.1016/j.clinbiochem.2009.08.015).
- (en) L. Y. Shih, H. N. Shih et T. H. Chen, « Bone resorption activity of osteolytic metastatic lung and breast cancers. », Journal of orthopaedic research, vol. 22, no 6, , p. 1161–1167 (ISSN 0736-0266, PMID 15475192, DOI 10.1016/j.orthres.2004.03.004).
- (en) S. J. Hotte, E. W. Winquist, L. Stitt, S. M. Wilson et A. F. Chambers, « Plasma osteopontin: associations with survival and metastasis to bone in men with hormone-refractory prostate carcinoma. », Cancer, vol. 95, no 3, , p. 506–512 (ISSN 0008-543X, PMID 12209742, DOI 10.1002/cncr.10709, lire en ligne).
- (en) A. Ramankulov, M. Lein, G. Kristiansen, S. A. Loening et K. Jung, « Plasma osteopontin in comparison with bone markers as indicator of bone metastasis and survival outcome in patients with prostate cancer. », The Prostate, vol. 67, no 3, , p. 330–340 (ISSN 0270-4137, PMID 17192877, DOI 10.1002/pros.20540).
- (en) A. Macrì, A. Versaci, G. Lupo, G. Trimarchi, C. Tomasello, S. Loddo, G. Sfuncia, R. Caminiti, D. Teti et C. Famulari, « Role of osteopontin in breast cancer patients. », Tumori, vol. 95, no 1, , p. 48–52 (ISSN 0300-8916, PMID 19366056).
- (en) K. Mado, Y. Ishii, T. Mazaki, M. Ushio, H. Masuda et T. Takayama, « A case of bone metastasis of colon cancer that markedly responded to S-1/CPT-11 combination chemotherapy and became curable by resection. », World journal of surgical oncology, vol. 4, , p. 3 (ISSN 1477-7819, PMID 16417646, PMCID 1395313, DOI 10.1186/1477-7819-4-3) (Open Access).
- (en)« Selection of Labelling Kit. », International Atomic Energy Agency (consulté le ).
- (en) R. E. O'Mara, « Skeletal scanning in neoplastic disease. », Cancer, vol. 37, no 1 suppl, , p. 480–486 (ISSN 0008-543X, PMID 1247979).
- (en) N. Alazraki, D. Resnick, « Radionuclide techniques. », dans D. Resnick, Bone and joint imaging, W. B. Saunders, (ISBN 0-721-62215-1), p. 185–198.
- Cyrille Confavreux et al., « Métastases osseuses- Référentiels Auvergne-Rhône-Alpes en oncologie thoracique », sur oncorif.fr, .
- (en) N. Otsuka, M. Fukunaga, K. Morita, S. Ono et K. Nagai, « Photon-deficient finding in sternum on bone scintigraphy in patients with malignant disease. », Radiation medicine, vol. 8, no 5, , p. 168–172 (ISSN 0288-2043, PMID 2075233).
- (en) R. S. Hellman, et M. A. Wilson, « Discordance of sclerosing skeletal secondaries between sequential scintigraphy and radiographs. », Clinical nuclear medicine, vol. 7, no 3, , p. 97–98 (ISSN 0363-9762, PMID 7060310).
- (en) F. L. Datz, G. G. Patch, J. M. Arias et K. A. Morton, Nuclear medicine. A teaching file., Mosby Year Book, (ISBN 0-8016-6365-2), p. 28–29.
- (en) W. T. Yuh, C. K. Zachar, T. J. Barloon, Y. Sato, W. J. Sickels et D. R. Hawes, « Vertebral compression fractures: distinction between benign and malignant causes with MR imaging. », Radiology, vol. 172, no 1, , p. 215–218 (ISSN 0033-8419, PMID 2740506).
- (en) A. Baur, A. Stäbler, S. Arbogast, H. R. Duerr, R. Bartl et M. Reiser, « Acute osteoporotic and neoplastic vertebral compression fractures: fluid sign at MR imaging. », Radiology, vol. 225, no 3, , p. 730–735 (ISSN 0033-8419, PMID 12461253).
- (de) J. Kollath, « Radiologische Diagnostik der Knochenmetastasen. », dans H. Böttcher, I. Adamietz, Klinik der Skelettmetastasen: Grundlagen, Diagnostik, Therapie., Zuckschwerdt (ISBN 3-886-03587-5), p. 8–13.
- (en) N. A. Ebraheim, R. E. Rupp, E. R. Savolaine et D. Reinke, « Use of titanium implants in pedicular screw fixation. », Journal of spinal disorders, vol. 7, no 6, , p. 478–486 (ISSN 0895-0385, PMID 7873844).
- (en) James A.Scott, Edwin L. Palmer, « Chapter 32: PET-CT of Bone Metastases », dans Paul Shreve, David W.Townsend, Clinical PET-CT in Radiology Integrated Imaging in Oncology, Springer Science+Business Media, (ISBN 978-0-387-48900-1).
- (en) A. D. Johnston, « Pathology of metastatic tumors in bone. », Clinical orthopaedics and related research, vol. 73, , p. 8–32 (ISSN 0009-921X, PMID 4920992) (revue).
- (en) C. R. Dunstan, D. Felsenberg et M. J. Seibel, « Therapy insight: the risks and benefits of bisphosphonates for the treatment of tumor-induced bone disease. », Nature clinical practice. Oncology, vol. 4, no 1, , p. 42–55 (ISSN 1743-4262, PMID 17183355, DOI 10.1038/ncponc0688) (revue).
- (en) A. C. Hindley, E. B. Hill, M. J. Leyland et A. E. Wiles, « A double-blind controlled trial of salmon calcitonin in pain due to malignancy. », Cancer chemotherapy and pharmacology, vol. 9, no 2, , p. 71–74 (ISSN 0344-5704, PMID 6756666).
- (en) D. Lussier, A. G. Huskey et R. K. Portenoy, « Adjuvant analgesics in cancer pain management. », The oncologist, vol. 9, no 5, , p. 571–591 (ISSN 1083-7159, PMID 15477643, DOI 10.1634/theoncologist.9-5-571, lire en ligne) (revue).
- (en) A. Roth et K. Kolaric, « Analgetic activity of calcitonin in patients with painful osteolytic metastases of breast cancer. Results of a controlled randomized study. », Oncology, vol. 43, no 5, , p. 283–287 (ISSN 0030-2414, PMID 3531953).
- (en) J. Szántó, N. Ady et S. József, « Pain killing with calcitonin nasal spray in patients with malignant tumors. », Oncology, vol. 49, no 3, , p. 180–182 (ISSN 0030-2414, PMID 1495743).
- (en) M. J. Martinez-Zapata, M. Roqué, P. Alonso-Coello et E. Català, « Calcitonin for metastatic bone pain. », Cochrane database of systematic reviews (Online), vol. 3, , p. CD003223 (ISSN 1469-493X, PMID 16856000, DOI 10.1002/14651858.CD003223.pub2) (revue).
- (en) M. J. Martinez, M. Roqué, P. Alonso-Coello, E. Català, J. L. Garcia et M. Ferrandiz, « Calcitonin for metastatic bone pain. », Cochrane database of systematic reviews (Online), vol. 3, , p. CD003223 (ISSN 1469-493X, DOI 10.1002/14651858.CD003223.pub2).
- (en) H. J. McQuay, S. L. Collins, D. Carroll et R. A. Moore, « Radiotherapy for the palliation of painful bone metastases. », Cochrane database of systematic reviews (Online), no 2, , p. CD001793 (ISSN 1469-493X, PMID 10796822, DOI 10.1002/14651858.CD001793) (revue).
- (de)P. Köhler, « Strahlentherapie von Knochenmetastasen. »(Archive.org • Wikiwix • Archive.is • Google • Que faire ?), sur radiologen-konstanz.de, (consulté le ).
- (de)« Palliative Schmerztherapie von Skelettmetastasen. »(Archive.org • Wikiwix • Archive.is • Google • Que faire ?), Universitätsklinikum Ulm (consulté le ).
- (en) E. B. Silberstein, « Teletherapy and radiopharmaceutical therapy of painful bone metastases. », Seminars in nuclear medicine, vol. 35, no 2, , p. 152–158 (ISSN 0001-2998, PMID 15765378, DOI 10.1053/j.semnuclmed.2004.11.006) (revue).
- (en) D. A. Loblaw, J. S. Wu, P. Kirkbride, T. Panzarella, K. Smith, J. Aslanidis et P. Warde, « Pain flare in patients with bone metastases after palliative radiotherapy–a nested randomized control trial. », Supportive care in cancer, vol. 15, no 4, , p. 451–455 (ISSN 0941-4355, PMID 17093912, DOI 10.1007/s00520-006-0166-y).
- (en) J. T. Buijs, C. C. Kuijpers et G. van der Pluijm, « Targeted therapy options for treatment of bone metastases; beyond bisphosphonates. », Current pharmaceutical design, vol. 16, no 27, , p. 3015–3027 (ISSN 1873-4286, PMID 20722621) (revue).
- (en) C. H. Van Poznak, S. Temin et coll., « American Society of Clinical Oncology executive summary of the clinical practice guideline update on the role of bone-modifying agents in metastatic breast cancer. », Journal of clinical oncology, vol. 29, no 9, , p. 1221–1227 (ISSN 1527-7755, PMID 21343561, DOI 10.1200/JCO.2010.32.5209).
- (en) R. E. Coleman et E. V. McCloskey, « Bisphosphonates in oncology. », Bone, vol. 49, no 1, , p. 71–76 (ISSN 1873-2763, PMID 21320652, DOI 10.1016/j.bone.2011.02.003) (revue).
- (en) E. J. Woodward et R. E. Coleman, « Prevention and treatment of bone metastases. », Current pharmaceutical design, vol. 16, no 27, , p. 2998–3006 (ISSN 1873-4286, PMID 20722624) (revue).
- (de) I. Schirmer, H. Peters, P. A. Reichart et H. Dürkop, « Bisphosphonate und Osteonekrosen im Kieferbereich. », Mund-, Kiefer- und Gesichtschirurgie, vol. 9, no 4, , p. 239–245 (PMID 15918066, DOI 10.1007/s10006-005-0616-6).
- (en) L. Raffaelli, L. Scaramuzzo, P. Rossi Iommetti, C. Graci, G. Maccauro et P. F. Manicone, « Jaw osteonecrosis related to bisphosphonate treatment of bone metastasis. », Journal of biological regulators and homeostatic agents, vol. 24, no 2, , p. 115–121 (ISSN 0393-974X, PMID 20487624).
- (en) P. G. Fournier, V. Stresing, F. H. Ebetino et P. Clézardin, « How do bisphosphonates inhibit bone metastasis in vivo? », Neoplasia, vol. 12, no 7, , p. 571–578 (ISSN 1476-5586, PMID 20651986, PMCID 2907583).
- (en) I. J. Diel, « Antitumour effects of bisphosphonates: first evidence and possible mechanisms. », Drugs, vol. 59, no 3, , p. 391–399 (ISSN 0012-6667, PMID 10776826) (revue).
- (en) H. Almubarak, A. Jones, R. Chaisuparat, M. Zhang, T. F. Meiller et M. A. Scheper, « Zoledronic acid directly suppresses cell proliferation and induces apoptosis in highly tumorigenic prostate and breast cancers. », Journal of carcinogenesis, vol. 10, , p. 2 (ISSN 1477-3163, PMID 21297922, PMCID 3030761, DOI 10.4103/1477-3163.75723).
- (de)« XGEVA® 120 mg Injektionslösung : Fachinformation XGEVA® (Zusammenfassung der Merkmale des Arzneimittels) », (consulté le ).
- (de)« ® Denosumab : Neue Arzneimittel - Information der Arzneimittelkommission der deutschen Ärzteschaft »(® Archive.org • ® Wikiwix • ® Archive.is • ® Google • Que faire ?) (consulté le ).
- (de)« Denosumab bei Knochenmetastasen: Verbesserung der Lebensqualität der Patienten », JOURNAL ONKOLOGIE, (consulté le ).
- (de)« Onkologie: Antikörper bremst Knochenabbau », Deutsches Aerzteblatt 107(3): A-98, (consulté le ).
- (en) Benoit Cadieux, Robert Coleman, Pegah Jafarinasabian et Allan Lipton, « Experience with denosumab (XGEVA®) for prevention of skeletal-related events in the 10 years after approval », Journal of Bone Oncology, vol. 33, , p. 100416 (PMID 35242510, PMCID PMC8857591, DOI 10.1016/j.jbo.2022.100416, lire en ligne, consulté le )
- (en) Elena Tsourdi, Bente Langdahl, Martine Cohen-Solal et Bérengere Aubry-Rozier, « Discontinuation of Denosumab therapy for osteoporosis: A systematic review and position statement by ECTS », Bone, vol. 105, , p. 11–17 (DOI 10.1016/j.bone.2017.08.003, lire en ligne, consulté le )
- (de)« Prolia® 60 mg Injektionslösung: Fachinformation Prolia® (Zusammenfassung der Merkmale des Arzneimittels) », (consulté le ).
- (de)« Prostatakrebs, Therapieverfahren: Hormonelle Therapie. »(Archive.org • Wikiwix • Archive.is • Google • Que faire ?), sur krebsinformationsdienst.de, (consulté le ).
- (de) P. Schöffski, « 33 », dans Kompendium Internistische Onkologie., (DOI 10.1007/3-540-31303-6_138, lire en ligne), p. 2244–2247.
- (de)« Knochenmetastasen beim Nierenzellkarzinom » (consulté le ).
- (de) T. Wirth et P. Griss, « Die operative Therapie von Knochenmetastase. », Der Urologe, vol. 38, no 3, , p. 226–230 (référence erronée).
- (de)« Generelles Vorgehen bei Wirbeläsulenmetastasen » (consulté le ).
- (de)« Dorsale Instrumentation an der Wirbelsäule » (consulté le ).
- (de)« Ventrale Wirbelsäulenstabilisierung » (consulté le ).
- (en)« Department of Orthopedics. »(Archive.org • Wikiwix • Archive.is • Google • Que faire ?), sur Heidelberg University Hospital (consulté le ).
- (de)« Vertebro- und Kyphoplastie » (consulté le ).
- (de)« Tumorendoprothesen (Megaprothesen) » (consulté le ).
- (de)« Diaphysenprothesen » (consulté le ).
- (en) A. N. Kurup et M. R. Callstrom, « Ablation of skeletal metastases: current status.Ablation of skeletal metastases: current status. », Journal of vascular and interventional radiology, vol. 21, no 8 Suppl, , S242–S250 (ISSN 1535-7732, PMID 20656234, DOI 10.1016/j.jvir.2010.05.001) (revue).
- (en) M. D. Lane, H. B. Le, S. Lee, C. Young, M. K. Heran, M. Badii, P. W. Clarkson et P. L. Munk, « Combination radiofrequency ablation and cementoplasty for palliative treatment of painful neoplastic bone metastasis: experience with 53 treated lesions in 36 patients. », Skeletal radiology, vol. 40, no 1, , p. 25–32 (ISSN 1432-2161, PMID 20686765, DOI 10.1007/s00256-010-1010-5).
- (en) P. L. Munk, F. Rashid, M. K. Heran, M. Papirny, D. M. Liu, D. Malfair, M. Badii et P. W. Clarkson, « Combined cementoplasty and radiofrequency ablation in the treatment of painful neoplastic lesions of bone. », Journal of vascular and interventional radiology, vol. 20, no 7, , p. 903–911 (ISSN 1535-7732, PMID 19481469, DOI 10.1016/j.jvir.2009.03.035).
- (de) K. Wilhelm, « Osteoplastie in Kombination mit der Radiofrequenzablation zur palliativen Therapie schmerzhafter osteolytischer Knochenmetastasen. », Deutsche Zeitschrift für Onkologie, vol. 41, no 4, , p. 183–186 (DOI 10.1055/s-0029-1242535).
- (en) A. F. Posteraro, D. E. Dupuy et W. W. Mayo-Smith, « Radiofrequency ablation of bony metastatic disease. », Clinical radiology, vol. 59, no 9, , p. 803–811 (ISSN 0009-9260, PMID 15351245, DOI 10.1016/j.crad.2004.01.015) (revue).
- (en) G. Belfiore, E. Tedeschi, F. M. Ronza, M. P. Belfiore, T. Della Volpe, G. Zeppetella et A. Rotondo, « Radiofrequency ablation of bone metastases induces long-lasting palliation in patients with untreatable cancer. », Singapore medical journal, vol. 49, no 7, , p. 565–570 (ISSN 0037-5675, PMID 18695866, lire en ligne).
- (en) M. R. Callstrom et J. W. Charboneau, « Image-guided palliation of painful metastases using percutaneous ablation. », Techniques in vascular and interventional radiology, vol. 10, , p. 120–131 (ISSN 1089-2516, PMID 18070690, DOI 10.1053/j.tvir.2007.09.003) (revue).
- (en) L. Thanos, S. Mylona, P. Galani, D. Tzavoulis, V. Kalioras, S. Tanteles et M. Pomoni, « Radiofrequency ablation of osseous metastases for the palliation of pain. », Skeletal radiology, vol. 37, no 3, , p. 189–194 (ISSN 0364-2348, PMID 18030464, PMCID 2226078, DOI 10.1007/s00256-007-0404-5) (revue).
- (en) A. Gillams, « Tumour ablation: current role in the liver, kidney, lung and bone. », Cancer imaging, vol. 8, , S1–S5 (ISSN 1470-7330, PMID 18852074, PMCID 2582496, DOI 10.1102/1470-7330.2008.9001) (revue).
- (en) M. R. Callstrom, T. D. Atwell, J. W. Charboneau, M. A. Farrell et coll., « Painful metastases involving bone: percutaneous image-guided cryoablation-prospective trial interim analysis. », Radiology, vol. 241, no 2, , p. 572–580 (ISSN 0033-8419, PMID 17057075, DOI 10.1148/radiol.2412051247, lire en ligne).
- (en) D. E. Dupuy, D. Liu, D. Hartfeil, L. Hanna, J. D. Blume, K. Ahrar, R. Lopez, H. Safran et T. DiPetrillo, « Percutaneous radiofrequency ablation of painful osseous metastases: a multicenter American College of Radiology Imaging Network trial. », Cancer, vol. 116, no 4, , p. 989–997 (ISSN 0008-543X, PMID 20041484, PMCID 2819592, DOI 10.1002/cncr.24837).
- (en) M. Kashima, K. Yamakado, H. Takaki, T. Kaminou, N. Tanigawa, A. Nakatsuka et K. Takeda, « Radiofrequency ablation for the treatment of bone metastases from hepatocellular carcinoma. », AJR. American journal of roentgenology, vol. 194, no 2, , p. 536–541 (ISSN 1546-3141, PMID 20093621, DOI 10.2214/AJR.09.2975, lire en ligne).
- (en) G. Carrafiello, D. Laganà, A. Ianniello, P. Nicotera, F. Fontana, M. Dizonno, S. Cuffari et C. Fugazzola, « Radiofrequency thermal ablation for pain control in patients with single painful bone metastasis from hepatocellular carcinoma. », European journal of radiology, vol. 71, no 2, , p. 363–368 (ISSN 1872-7727, PMID 18514456, DOI 10.1016/j.ejrad.2008.04.019).
- (en) G. Orgera, L. Monfardini et coll., « High-intensity focused ultrasound (HIFU) in patients with solid malignancies: evaluation of feasibility, local tumour response and clinical results. », La Radiologia medica., vol. 116, no 5, , p. 734–748 (ISSN 1826-6983, PMID 21293939, DOI 10.1007/s11547-011-0634-4).
- (en) A. Gangi, B. Kastler, A. Klinkert et J. L. Dietemann, « Injection of alcohol into bone metastases under CT guidance. », Journal of computer assisted tomography, vol. 18, no 6, , p. 932–935 (ISSN 0363-8715, PMID 7962803).
- (en) J. C. Clark, C. R. Dass et P. F. Choong, « Current and future treatments of bone metastases », Expert opinion on emerging drugs, vol. 13, no 4, , p. 609–27. (ISSN 1744-7623, PMID 19046130, DOI 10.1517/14728210802584217) (revue).
- (en) E. M. Lewiecki, « Odanacatib, a cathepsin K inhibitor for the treatment of osteoporosis and other skeletal disorders associated with excessive bone remodeling », IDrugs, vol. 12, no 12, , p. 799–809. (ISSN 2040-3410, PMID 19943223) (revue).
- (en) « Efficacy of RAD001 in Breast Cancer Patients With Bone Metastases (Radar) », sur clinicaltrials.gov, (consulté le ).
- (en) A. Russo, G. Bronte, S. Rizzo, D. Fanale, F. Di Gaudio, N. Gebbia et V. Bazan, « Anti-endothelin drugs in solid tumors », Expert opinion on emerging drugs, vol. 15, no 1, , p. 27–40. (ISSN 1744-7623, PMID 20102289, DOI 10.1517/14728210903571667) (revue).
- (en) « Anti-M-CSF monoclonal antibody MCS110 », National Cancer Institute (consulté le ).
- (en) T. Onishi, N. Hayashi, R. L. Theriault, G. N. Hortobagyi et N. T. Ueno, « Future directions of bone-targeted therapy for metastatic breast cancer », Nature reviews. Clinical oncology, vol. 7, no 11, , p. 641–651. (ISSN 1759-4782, PMID 20808302, DOI 10.1038/nrclinonc.2010.134).
- (en) D. Santini, S. Galluzzo, A. Zoccoli, F. Pantano et al., « New molecular targets in bone metastases », Cancer treatment reviews, vol. 36 Suppl 3, , S6–S10. (ISSN 1532-1967, PMID 21129612, DOI 10.1016/S0305-7372(10)70013-X) (revue).
- (de) P. Feyer, W. Haase et al., « Leitlinien: Palliative Strahlentherapie (Allgemein) », sur pall-rad.de (consulté le ).
- (en) R. E. Coleman, P. Smith et R. D. Rubens, « Clinical course and prognostic factors following bone recurrence from breast cancer », British journal of cancer, vol. 77, no 2, , p. 336–340 (ISSN 0007-0920, PMID 9461007, PMCID PMC2151240).
- (en) K. Fan et C. F. Peng, « Predicting the probability of bone metastasis through histological grading of prostate carcinoma: a retrospective correlative analysis of 81 autopsy cases with antemortem transurethral resection specimen », The Journal of urology, vol. 130, no 4, , p. 708–711 (ISSN 0022-5347, PMID 6350620).
- (en) P. G. Koenders, L. V. Beex, P. W. Kloppenborg, A. G. Smals et T. J. Benraad, « Human breast cancer: survival from first metastasis. Breast Cancer Study Group », Breast cancer research and treatment, vol. 21, no 3, , p. 173–180 (ISSN 0167-6806, PMID 1515652).
- (en) E. F. Solomayer, I. J. Diel, G. C. Meyberg, C. Gollan et G. Bastert, « Metastatic breast cancer: clinical course, prognosis and therapy related to the first site of metastasis », Breast cancer research and treatment, vol. 59, no 3, , p. 271–278 (ISSN 0167-6806, PMID 10832597).
- (en) R. J. Cook et P. Major, « Multistate analysis of skeletal events in patients with bone metastases », Clinical cancer research, vol. 12, no 20, , p. 6264s–6269s (ISSN 1078-0432, PMID 17062711, DOI 10.1158/1078-0432.CCR-06-0654) (revue).
- (en) H. C. Bauer et R. Wedin, « Survival after surgery for spinal and extremity metastases. Prognostication in 241 patients. », Acta orthopaedica Scandinavica, vol. 66, no 2, , p. 143–146 (ISSN 0001-6470, PMID 7740944).
- (en) R. K. Chhem et D. R. Brothwell, Paleoradiology : Imaging Mummies and Fossils., Springer, (ISBN 978-3-540-48832-3 et 3-540-48832-4), p. 101.
- (en)« Paleontologists Teach Medical Students About Fossil Tumors. », Science Daily, (consulté le ).
- (de) M. Kessler, Kleintieronkologie – Diagnose und Therapie von Tumorerkrankungen bei Hunden und Katzen., Georg Thieme Verlag, (ISBN 3-8304-4103-7) aperçu limité sur Google livres.
- (de) R. W. Nelson et C. G. Couto, Innere Medizin der Kleintiere., Urban & Fischer, (ISBN 3-437-57040-4), p. 1229.
Annexes
Bibliographie
- En général
- (en) D. Kardamakis, V. Vassiliou et E. Chow, Bone Metastases : A Translational and Clinical Approach., Bone Metastases - A Translational and Clinical Approach., (ISBN 978-1-4020-9818-5 et 1-4020-9818-9) (aperçu limité sur Google livres)
- (en) C. Jasmin (dir.), R. Capanna (dir.) et coll., Textbook of Bone Metastases, Chichester, John Wiley and Sons, , 568 p. (ISBN 0-471-87742-5) (aperçu limité sur Google livres))
- (en) M. Joerger (dir.) et M. Gnant (dir.), Prevention of Bone Metastases, Springer, , 233 p. (ISBN 978-3-642-21891-0 et 3-642-21891-1, lire en ligne)
- (de) S. Braun, Operative Therapie und Prognose bei Patienten mit skelettären Karzinommetastasen. : Dissertation, Ludwig-Maximilians-Universität zu München, (lire en ligne)
- Pathogenèse
- (en) L. J. Suva, C. Washam, R. W. Nicholas et R. J. Griffin, « Bone metastasis: mechanisms and therapeutic opportunities. », Nature Reviews Endocrinology, vol. 7, no 4, , p. 208–218 (ISSN 1759-5037, PMID 21200394, PMCID 3134309, DOI 10.1038/nrendo.2010.227) (Revue)
- (en) M. N. Thobe 1, R. J. Clark, R. O. Bainer, S. M. Prasad et C. W. Rinker-Schaeffer, « From Prostate to Bone: Key Players in Prostate Cancer Bone Metastasis. », Cancers, vol. 3, , p. 478–493 (DOI 10.3390/cancers3010478, lire en ligne)
- (en) K. C. Nannuru et R. K. Singh, « Tumor-stromal interactions in bone metastasis. », Current osteoporosis reports, vol. 8, no 2, , p. 105–113 (PMID 20425618) (Revue)
- (en) M. S. Virk et J. R. Lieberman, « Tumor metastasis to bone. », Arthritis research & therapy, vol. 9 Suppl 1, , S5 (ISSN 1478-6362, PMID 17634144, PMCID 1924520, DOI 10.1186/ar2169) (Revue)
- (en) L. A. Kingsley, P. G. Fournier, John M. Chirgwin et Theresa A. Guise, « Molecular biology of bone metastasis. », Molecular cancer therapeutics, vol. 6, no 10, , p. 2609–2617 (ISSN 1535-7163, PMID 17938257, DOI 10.1158/1535-7163.MCT-07-0234, lire en ligne) (revue)
- (en) E. T. Keller (dir.) et L. W. K. Chung (dir.), The biology of skeletal metastases., vol. 118, Dordrecht, Springer, , 344 p. (ISBN 1-4020-7749-1) (aperçu limité sur Google livres)
- (en) P. J. Kostenuik, « Revisiting the seed and soil theory of bone metastasis: new tools, same answer. », Journal of musculoskeletal & neuronal interactions, vol. 4, no 4, , p. 375–376 (ISSN 1108-7161, PMID 15758267) (revue)
- (en) T. A. Guise, « Molecular mechanisms of osteolytic bone metastases. », Cancer, vol. 88, no 12 S, , p. 2892–2898 (ISSN 0008-543X, PMID 10898330) (revue)
- (en) J. M. Chirgwin et T. A. Guise, « Molecular mechanisms of tumor-bone interactions in osteolytic metastases. », Critical reviews in eukaryotic gene expression, vol. 10, no 2, , p. 159–178 (ISSN 1045-4403, PMID 11186331) (revue)
- Diagnostic
- (de) D. Hellwig, B. J. Krause, H. Schirrmeister et M. Freesmeyer, « Skelettdiagnostik mittels 18F-Natriumfluorid-PET und -PET/CT. », Nuklearmedizin, vol. 49, no 5, , p. 195–201 (ISSN 0029-5566, PMID 20838734, DOI 10.3413/nukmed-0343, lire en ligne)
- (en) C. M. Costelloe, H. H. Chuang, J. E. Madewell et N. T. Ueno, « Cancer Response Criteria and Bone Metastases: RECIST 1.1, MDA and PERCIST. », Journal of Cancer, vol. 1, , p. 80–92 (ISSN 1837-9664, PMID 20842228, PMCID 2938069, lire en ligne)
- (en) A. M. Davies, M. Sundaram et S. L. J. James, Imaging of Bone Tumors and Tumor-Like Lesions., Springer, , 701 p. (ISBN 978-3-540-77982-7 et 3-540-77982-5) (aperçu limité sur Google livres)
- (de) R. Dichtel, Kernspintomographisches Ganzkörper-Screening ossärer Metastasen bei Kindern – Vergleich zur Skelettszintigraphie. : Dissertation, Ludwig-Maximilians-Universität zu München, (lire en ligne)
- Prise en charge et thérapeutique
- A. David, « Prise en charge thérapeutique des métastases osseuses en radiologie interventionnelle. », Médecine Nucléaire,, vol. 41(4), , p. 273-279 (revue)
- (en) A. Lipton, « Implications of bone metastases and the benefits of bone-targeted therapy. », Seminars in oncology, vol. 37 Suppl 2, , S15–S29 (ISSN 1532-8708, PMID 21111244, DOI 10.1053/j.seminoncol.2010.10.002) (revue)
- (en) G. Bauman, M. Charette, R. Reid et J. Sathya, « Radiopharmaceuticals for the palliation of painful bone metastasis-a systemic review. », Radiotherapy and oncology, vol. 75, no 3, (ISSN 0167-8140, PMID 16299924) (revue)
- (en) G. Singh et S. A. Rabbani, Bone metastasis : experimental and clinical therapeutics., Humana Press, (ISBN 1-58829-403-X) (aperçu limité sur Google livres)
- (de) P. Schmid:, Supportive Therapie von Knochenmetastasen., UNI-MED-Verlag, (ISBN 3-89599-906-7)
- (en) E. B. Silberstein, L. Eugene et S. R. Saenger, « Painful osteoblastic metastases: the role of nuclear medicine. », Oncology (Williston Park, N.Y.), vol. 15, no 2, , p. 157–163 (ISSN 0890-9091, PMID 11252931) (revue)
Liens externes
- (de)« Knochenmetastasen. », sur Deutsche Krebsgesellschaft (consulté le )
- (de)« Zwiegespräche zwischen Knochen und Tumorzellen. », sur Berufsverband der Fachärzte für Orthopädie und Unfallchirurgie (consulté le )
- (de)« Detaillierte Darstellung von operativer Therapie und Prognose der Knochenmetastasen » (consulté le )
- Portail de la médecine
- Portail de la biologie

