Maladie de Kaposi
La maladie de Kaposi est une tumeur liée à l’infection par l’herpèsvirus humain type 8. Cette maladie tient son nom du dermatologue hongrois Moritz Kaposi, enseignant à l'Université de Vienne, qui l'a décrite pour la première fois en 1872[1]. La forme classique, qui provoque des tumeurs cutanées des extrémités chez les personnes âgées, fut décrite à la fin du XIXe siècle dans le pourtour méditerranéen. Son virus HHV8, qui existe sous forme endémique en Afrique, se développe particulièrement chez les individus immunodéprimés. L’épidémie de sida a donc provoqué une explosion du nombre de cas de sarcomes de Kaposi.
En Europe et aux États-Unis, la maladie concerne surtout les adultes atteints par le VIH, contrairement à l’Afrique où la transmission semble se faire de façon préférentielle de la mère à l’enfant et d’un enfant à l’autre. Il existe par ailleurs de nombreux porteurs asymptomatiques.
Des études[2],[3] montrent que les poppers (nitrite d’amyle) pourraient être à l’origine de sarcomes de Kaposi. Cette idée a servi à appuyer les thèses de scientifiques[4] contestant l’origine virale exclusive du sida ; cependant ce lien est très ténu[2] et est insuffisant pour démonter un véritable lien causal.
Signes et symptômes
L'atteinte cutanée débute par une macule qui évolue vers une papule, un nodule, puis une plaque ulcérovégétante. Cette lésion est bien limitée, érythémateuse, puis violacée, et peut simuler tout d'abord un hématome. Les lésions sont de taille variable, localisées ou généralisées. L'évolution est elle aussi très variable, très lente ou progressant rapidement.

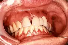
L'atteinte muqueuse est observée dans plus de 50 % des cas : buccopharyngée — palatine, gingivale, labiale, jugale, linguale, amygdalienne — ano-génitale ou oculaire.
L'atteinte viscérale fait toute la gravité de la maladie de Kaposi, en particulier l'atteinte pulmonaire. Les signes cliniques sont peu spécifiques : toux, dyspnée, fièvre prolongée. Les signes radiologiques sont tardifs, sous forme de nodules flous, mal limités, symétriques, avec éventuellement un épanchement pleural. Le scanner thoracique, le lavage bronchoalvéolaire (LBA) et la fibroscopie bronchique sont une aide au diagnostic.
Traitement
Le traitement de la maladie de Kaposi fait appel à des traitements généraux et/ou locaux[5]. Dans le cadre de l'infection à VIH, le traitement général est indiqué en cas de lésions cutanéomuqueuses extensives et/ou d'atteintes viscérales. Il fait appel à une monochimiothérapie de bléomycine si les lésions cutanées sont étendues et les lésions viscérales peu évolutives. Si les lésions cutanées sont œdématiées et les lésions viscérales graves, il repose sur une polychimiothérapie associant adriamycine, bléomycine, vincristine ou vinblastine, anthracyclines liposomiales et taxanes[5].
Le « traitement local » est indiqué dans le cas d'atteintes cutanéomuqueuses stables et limitées.
Histoire
La maladie tient du nom de celui qui en a fait sa découverte, Moritz Kaposi (1837 - 1902), un dermatologue hongrois qui a décrit pour la première fois les symptômes en 1872[1]. Des recherches faites dans le siècle suivant supposent que la maladie, comme toutes les autres formes de cancer, pourrait être causée par un virus ou des facteurs génétiques, mais aucun résultat n'a été concluant.
La maladie de Kaposi, l'un des premiers symptômes du stade sida, est sujette à d'intenses recherches.
Le virus est sexuellement transmissible[6] et peut être transmis également par don d'organe[7]. En Afrique, des statistiques montrant une très forte poussée de l'infection supposent que la maladie de Kaposi est le cancer le plus répandu en Afrique sub-saharienne[8].
Notes et références
- (de) Kaposi M., Idiopathisches multiples Pigmentsarkom der Haut, vol. 4, , 265–273 p. (DOI 10.1007/BF01830024, lire en ligne), chap. 2
- (en) Ho-Leung Fung et Doanh C Tran, « Effects of inhalant nitrites on VEGF expression: a feasible link to Kaposi’s sarcoma? », Journal_of_Neuroimmune_Pharmacology (en), vol. 1, no 3, , p. 317-322 (PMID 18040808, DOI 10.1007/s11481-006-9024-4, lire en ligne)
- (en) Corey Casper, Anna Wald, John Pauk, Stephen R. Tabet, Lawrence Corey et Connie L. Celum, « Correlates of Prevalent and Incident Kaposi's Sarcoma—Associated Herpesvirus Infection in Men Who Have Sex with Men », The Journal of Infectious Diseases (en), vol. 185, no 7, , p. 990–993 (DOI 10.1086/339605, lire en ligne) « The relationship of amyl nitrite use to KSHV seroincidence was further investigated by adding the significant univariate variables to the model, one at a time. The OR did not change after adding either HSV-2 infection or bacterial STIs to the model, but it declined from 7.0 (95% CI, 2.0-24.9) to 5.5 (95% CI, 1.4-20.8) after adding a reported history of bathhouse use. Thus, these variables did not mitigate the association between amyl nitrite use and KSHV seroconversion. »
- (en) Bryan J. Ellison, Allen B. Downey et Peter H. Duesberg, « HIV as a surrogate marker for drug use: a re-analysis of the San Francisco Men's Health Study », Genetica, vol. 95, , p. 165–171 (PMID 7744259, DOI 10.1007/BF01435008)
- Dupin N., « Kaposi (maladie de) », sur www.therapeutique-dermatologique.org, (consulté le )
- (en) Jeffrey N. Martin, Donald E. Ganem, Dennis H. Osmond, Kimberly A. Page-Shafer, Don Macrae et Dean H. Kedes, « Sexual transmission and the natural history of human herpesvirus 8 infection », The New England Journal of Medicine, vol. 338, , p. 948-954 (DOI 10.1056/NEJM199804023381403, lire en ligne, consulté le )
- (en) Carlo Parravicini, Sonja J. Olsen, Maria Capra, Francesca Poli, Girolamo Sirchia, Shou-Jiang Gao, Emilio Berti, Arcangelo Nocera, Edardo Rossi, Giovannina Bestetti, Massimo Pizzuto, Massimo Galli, Mauro Moroni, Patrick S. Moore et Mario Corbellino, « Risk of Kaposi's sarcoma : associated herpes virus transmission from donor allografts among Italian posttransplant Kaposi's sarcoma patients », Blood, vol. 90, no 7, (DOI 10.1182/blood.V90.7.2826, lire en ligne)
- (en) M Dedicoat et R Newton, « Review of the distribution of Kaposi’s sarcoma-associated herpesvirus (KSHV) in Africa in relation to the incidence of Kaposi’s sarcoma », British Journal of Cancer (en), vol. 88, , p. 1-3 (DOI 10.1038/sj.bjc.6600745)
Liens externes
- http://www.thachers.org/internal_medicine.htm
- http://hivinsite.ucsf.edu/InSite?page=kb-authors&doc=kb-06-02-01
- "What About the Relationship Between Alkyl Nitrites and KS?, Christine Weber, B.Sc.
- Moulage pédagogique ancien, en cire (Collection de l'hôpital Saint-Louis)
- Portail de la virologie
- Portail des maladies infectieuses