Neurone en fuseau

Les neurones en fuseau ou neurones de von Economo (NVE) sont un type de neurones caractérisés par la forme de leur corps cellulaire de grande taille qui est en fuseau s'effilant progressivement en un axone apical unique dans une direction avec seulement un unique arbre dendritique touffu sur le pole basal tourné vers les couches corticales. Les autres neurones ont en effet tendance à avoir de nombreuses dendrites.

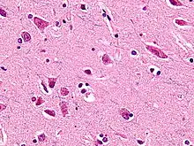
Neurones en fuseau ou neurones de von Economo dans le cortex cingulaire.

Les neurones en fuseaux sont présents dans très peu de régions du cerveau des hominidés : le cortex cingulaire antérieur, le cortex fronto-insulaire et le cortex préfrontal dorsolatéral. Ils ont aussi été retrouvés chez de nombreuses espèces présentant un coefficient d'encéphalisation élevé comme les baleines, les dauphins et les éléphants.

Découverte et anatomie cellulaire

Ces cellules neuronales particulières ont été découvertes en 1925 par le neurologue autrichien Constantin von Economo[1],[2]. Les NVE sont de grosses cellules (plus grosses que les cellules pyramidales) fusiformes, avec un axone apical unique et un buisson dentritique sur leur face basale. Ils sont principalement présents dans deux régions cérébrales : l'insula et le cortex cingulaire et un peu plus nombreux dans le cortex cérébral droit[2].

Fonctions

Les NVE sont rares dans le monde animal et leur présence est corrélée avec des taux d'encéphalisation élevés, particulièrement chez les homonines. Peu nombreux à la naissance, leur apparition (et différenciation) augmente à partir du huitième mois chez le nourrisson humain pour assurer leur fonction vers l'âge de trois ans[1].

Leurs fonctions restent débattues, mais pour certains neuroscientifiques les NVE seraient associés au développement de comportements sociaux complexes et de capacités cognitives et affectives spécialisées[1],[2]. Ils sont directement associés, en cas de déplétion, à des désordres psychiatriques impliquant une baisse d'empathie, de conscience sociale et de contrôle de soi. Dans le cas de la démence fronto-temporale, il est observé une perte de 75 % du nombre des NVE, de même que dans certains cas d'autisme et de schizophrénie précoce[2].

Notes et références

  • icône décorative Portail des neurosciences
  • icône décorative Portail de la biologie
Cet article est issu de Wikipedia. Le texte est sous licence Creative Commons – Attribution – Partage à l’identique. Des conditions supplémentaires peuvent s’appliquer aux fichiers multimédias.