Opisthorchiase

L'opisthorchiase est une maladie parasitaire causée par certaines espèces du genre Opisthorchis (en particulier Opisthorchis viverrini et Opisthorchis felineus). Elle peut entraîner un cholangiocarcinome.

Photographie d'un Opisthorchis viverrini adulte, prélevé dans les canaux biliaires d'un hamster atteint d'opisthorchiase.

Les coûts des soins médicaux et de la perte de salaire causés par Opisthorchis viverrini au Laos et en Thaïlande s'élèvent à environ 120 millions de USD par an[1]. En Asie, l'infection par Opisthorchis viverrini touche les populations les plus pauvres[2]. L'opisthorichiase figure sur la liste de l'Organisation mondiale de la santé parmi les 20 maladies tropicales négligées, aux côtés des autres trématodoses d'origine alimentaire[2].

Symptômes

Les symptômes de l'opisthorchiase sont les mêmes que ceux de la clonorchiase[3]. Environ 80 % des personnes infectées sont asymptomatiques, même si elles peuvent présenter une éosinophilie[1]. L'infection peut être asymptomatique lorsqu'il y a moins de 1 000 œufs par gramme de selles[1]. L’infection est considérée comme grave lorsqu’il y a entre 10 000 et 30 000 œufs par gramme de selles[1]. Les symptômes d'infections graves peuvent inclure la diarrhée, des douleurs épigastriques, un manque d'appétit, de la fatigue, un ictère et une légère fièvre[1].

L'opistorchiase peut provoquer un œdème des jambes, une ascite et une hypertrophie de la vésicule biliaire[1].

Opisthorchiase chronique et cholangiocarcinome

Incidence du cholangiocarcinome et prévalence d'O. viverrini en Thaïlande de 1990 à 2001.

Les opistorchiases provoquent le cholangiocarcinome chez l'humain[4]. Clonorchis sinensis et Opisthorchis viverrini sont tous deux classés par le Centre international de recherche sur le cancer comme cancérogènes du groupe 1[5].

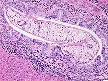
Chez l'humain, l'apparition du cholangiocarcinome est associée à des lésions hépatobiliaires[4]. Les lésions hépatobiliaires sont dues à l'irritation mécanique continue de l'épithélium par les douves présentes, en particulier via leurs ventouses, ainsi que par les processus immunitaires qu'elles provoquent.

L'incidence du cholangiocarcinome est plus élevée dans les régions où Opisthorchis viverrini est hautement endémique[4]. De tous les cancers enregistrés dans le monde en 2002, 0,02 % étaient des cholangiocarcinomes causés par Opisthorchis viverrini[4].

Diagnostic

Le diagnostic est généralement établi par la recherche d'œufs d'Opisthorchis viverrini dans les selles[1] selon la technique Kato[6]. Alternativement, un antigène d'Opisthorchis viverrini peut être détecté par test ELISA[1]. Un test par réaction en chaîne par polymérase pouvant être effectué sur les selles a aussi été développé et évalué dans une communauté rurale du centre de la Thaïlande[7].

Prévention

La prévention peut être accomplie par l'éducation à l'importance d'une cuisson suffisante de la viande de poisson. Cependant, les coutumes alimentaires consistant à la consommation de poisson cru ou peu cuit persistent dans les zones d'endémie.

Un programme de santé communautaire, connu sous le nom de Programme intégré de lutte contre l'opisthorchiase, a connu du succès dans la région des lacs Lawa, au sud de Khon Kaen[8].

La cuisson ou la surgélation (−20 °C pendant 7 jours) [9] des aliments à base de poisson constitue une méthode de prévention efficace[1]. Des méthodes de prévention d'Opisthorchis viverrini dans les étangs piscicoles ont également été proposées[10].

Traitement

L'opisthorchiasis est généralement traité par du praziquantel. Une dose unique de praziquantel de 40 mg/kg corporel est efficace contre l'opisthorchiase (et également contre la bilharziose)[6]. Malgré l’efficacité de ce composé, le manque d’immunité acquise contre l’infection prédispose les humains à la réinfection dans les régions endémiques. De plus, dans des conditions expérimentales, le traitement de hamsters infestés par Opisthorchis viverrini avec du praziquantel a induit une dispersion des antigènes parasitaires, entraînant des modifications immunopathologiques indésirables suite à une réinfection par Opisthorchis viverrini, un processus qui pourrait initier ou favoriser la développement du cholangiocarcinome chez l'humain[11]. L'albendazole peut être utilisé comme alternative[12].

Un essai randomisé contrôlé publié en 2011 a montré que la tribandimidine, un anthelminthique à large spectre, semble être au moins aussi efficace que le praziquantel[13]. L'artémisinine est également efficace contre Opisthorchis viverrini[14].

Épidémiologie

L'opisthorchiase est répandue chez les populations consommant des cyprinidés crus[15]. La prévalence augmente avec l’âge ; les enfants de moins de 5 ans sont rarement infectés par Opisthorchis viverrini. Les hommes sont plus touchés que les femmes[16],[17].

L'Organisation mondiale de la santé estime que les trématodoses d'origine alimentaire touchent 56 millions de personnes dans le monde et que 750 millions sont à risque d'infection[18],[19]. 80 millions de personnes sont à risque d'opisthorchiase, dont 67 millions à cause d'Opisthorchis viverrini en Asie du Sud-Est et 13 millions à cause d'Opisthorchis felineus au Kazakhstan, en Russie et en Ukraine[20],[21].

Dans le bassin inférieur du Mékong, la maladie est hautement endémique, et plus encore dans les basses terres[15], avec une prévalence pouvant atteindre 60 % dans certaines régions du nord-est de la Thaïlande. Cependant, les estimations utilisant des techniques de diagnostic basées sur la réaction en chaîne par polymérase indiquent que la prévalence est probablement largement sous-estimée[22]. Dans une étude des années 1980, une prévalence de plus de 90 % a été constatée chez les personnes de plus de 10 ans dans un petit village près de Khon Kaen, au nord-est de la Thaïlande, dans la région d'Isan[23]. Des cas sporadiques ont été signalés en Malaisie, à Singapour et aux Philippines[19]. Bien que la prévalence globale ait diminué depuis les premières enquêtes réalisées dans les années 1950, une augmentation s'est produite depuis les années 1990 dans certaines régions, probablement liée à une augmentation de l'aquaculture[21].

Le chat est le réservoir principal des parasites responsables d'opisthorchiases. Les chiens sont aussi des réservoirs[24].

Recherche

Grâce à la modification génétique utilisant la technique CRISPR sur des modèles animaux, les chercheurs ont pu éliminer les gènes responsables des symptômes de l'opisthorchiase, ce qui pourrait conduire à des recherches plus approfondies sur un nouveau traitement et un contrôle de cette maladie et de ses séquelles[25].

Références

  1. Muller R. & Wakelin D. (2002). Worms and human disease. CABI. page 43-44.
  2. Sripa, « Concerted Action is Needed to Tackle Liver Fluke Infections in Asia », PLOS Neglected Tropical Diseases, vol. 2, no 5, , e232 (PMID 18509525, PMCID 2386259, DOI 10.1371/journal.pntd.0000232).
  3. King et Scholz, « Trematodes of the family Opisthorchiidae: A minireview », The Korean Journal of Parasitology, vol. 39, no 3, , p. 209–221 (PMID 11590910, PMCID 2721069, DOI 10.3347/kjp.2001.39.3.209)
  4. Sripa, Kaewkes, Sithithaworn et Mairiang, « Liver fluke induces cholangiocarcinoma. », PLOS Medicine, vol. 4, no 7, , e201 (PMID 17622191, PMCID 1913093, DOI 10.1371/journal.pmed.0040201) Accès libre
  5. « IARC Monographs on the Evaluation of Carcinogenic Risks to Humans », monographs.iarc.fr (consulté le )
  6. World Health Organization (1995). Control of Foodborne Trematode Infection. WHO Technical Report Series. 849. PDF part 1, PDF part 2. page 89-91.
  7. Traub, MacAranas, Mungthin et Leelayoova, « A New PCR-Based Approach Indicates the Range of Clonorchis sinensis Now Extends to Central Thailand », PLOS Neglected Tropical Diseases, vol. 3, no 1, , e367 (PMID 19156191, PMCID 2614470, DOI 10.1371/journal.pntd.0000367).
  8. Head, « Deadly dish: the dinner that can give you cancer », BBC News, (consulté le )
  9. World Health Organization (2004). REPORT JOINT WHO/FAO WORKSHOP ON FOOD-BORNE TREMATODE INFECTIONS IN ASIA. Report series number: RS/2002/GE/40(VTN). 55 pp. PDF. pages 15-17.
  10. Khamboonruang, Keawvichit, Wongworapat et Suwanrangsi, « Application of hazard analysis critical control point (HACCP) as a possible control measure for Opisthorchis viverrini infection in cultured carp (Puntius gonionotus) », The Southeast Asian Journal of Tropical Medicine and Public Health, vol. 28, no Suppl 1, , p. 65–72 (PMID 9656352).
  11. Young, Campbell, Hall et Jex, « Unlocking the transcriptomes of two carcinogenic parasites, Clonorchis sinensis and Opisthorchis viverrini », PLOS Neglected Tropical Diseases, vol. 4, no 6, , e719 (PMID 20582164, PMCID 2889816, DOI 10.1371/journal.pntd.0000719) Accès libre
  12. « Opisthorchiasis - Treatment Information », CDC - DPDx, (consulté le )
  13. Soukhathammavong, Odermatt, Sayasone et Vonghachack, « Efficacy and safety of mefloquine, artesunate, mefloquine–artesunate, tribendimidine, and praziquantel in patients with Opisthorchis viverrini: A randomised, exploratory, open-label, phase 2 trial », The Lancet Infectious Diseases, vol. 11, no 2, , p. 110–118 (PMID 21111681, DOI 10.1016/S1473-3099(10)70250-4, lire en ligne)
  14. Keiser et Utzinger, « Artemisinins and synthetic trioxolanes in the treatment of helminth infections », Current Opinion in Infectious Diseases, vol. 20, no 6, , p. 605–612 (PMID 17975411, DOI 10.1097/QCO.0b013e3282f19ec4, S2CID 34591129).
  15. Sithithaworn, Andrews, Nguyen et Wongsaroj, « The current status of opisthorchiasis and clonorchiasis in the Mekong Basin. », Parasitology International, vol. 61, no 1, , p. 10–6 (PMID 21893213, PMCID 3836690, DOI 10.1016/j.parint.2011.08.014)
  16. Jeremy Farrar, Peter Hotez, Thomas Junghanss, Gagandeep Kang, Laloo et White, Manson's tropical diseases., Philadelphia, New, (ISBN 978-0702051012)
  17. Kaewpitoon, Kaewpitoon et Pengsaa, « Opisthorchiasis in Thailand: review and current status. », World Journal of Gastroenterology, vol. 14, no 15, , p. 2297–302 (PMID 18416453, PMCID 2705081, DOI 10.3748/wjg.14.2297)
  18. « Foodborne trematodiases » [archive du ], World Health Organization (consulté le )
  19. Sripa, Kaewkes, Intapan et Maleewong, « Food-borne trematodiases in Southeast Asia epidemiology, pathology, clinical manifestation and control. », Advances in Parasitology, vol. 72, , p. 305–50 (PMID 20624536, DOI 10.1016/S0065-308X(10)72011-X)
  20. Keiser et Utzinger, « Food-borne trematobiases », Clinical Microbiology Reviews, vol. 22, no 3, , p. 466–83 (PMID 19597009, PMCID 2708390, DOI 10.1128/cmr.00012-09)
  21. Keiser et Utzinger, « Emerging foodborne trematodiasis. », Emerging Infectious Diseases, vol. 11, no 10, , p. 1507–14 (PMID 16318688, PMCID 3366753, DOI 10.3201/eid1110.050614)
  22. Johansen, Sithithaworn, Bergquist et Utzinger, « Towards improved diagnosis of zoonotic trematode infections in Southeast Asia. », Advances in Parasitology, vol. 73, , p. 171–95 (ISBN 9780123815149, PMID 20627143, DOI 10.1016/S0065-308X(10)73007-4)
  23. Upatham, Viyanant, Kurathong et Brockelman, « Morbidity in relation to intensity of infection in Opisthorchiasis viverrini: study of a community in Khon Kaen, Thailand. », The American Journal of Tropical Medicine and Hygiene, vol. 31, no 6, , p. 1156–63 (PMID 6983303, DOI 10.4269/ajtmh.1982.31.1156)
  24. (en) Sirikachorn Tangkawattana et Prasarn Tangkawattana, Advances in Parasitology, vol. 101, Elsevier, , 214 p. (ISBN 978-0-12-814576-0, ISSN 0065-308X, DOI 10.1016/bs.apar.2018.05.003), chap. 3 Chapter Three Reservoir Animals and Their Roles in Transmission of Opisthorchis viverrini »), p. 69-95
  25. (en) « CRISPR/Cas9 shown to limit impact of certain parasitic diseases », www.bionity.com (consulté le )
  • icône décorative Portail de la médecine
Cet article est issu de Wikipedia. Le texte est sous licence Creative Commons – Attribution – Partage à l’identique. Des conditions supplémentaires peuvent s’appliquer aux fichiers multimédias.