Glande parotide
La glande parotide est la plus volumineuse des glandes salivaires principales chez la plupart des animaux. Chez l'humain, ce sont des glandes paires, localisées de chaque côté de la bouche, en avant de l'oreille, pesant de 25 à 30 g. Comme les autres glandes salivaires, elle a un rôle de production exocrine de salive, qui est excrétée dans la bouche pour faciliter la mastication, la déglutition et débuter la digestion du bol alimentaire.
Étymologie
Le nom parotide dérive du mot grec ancien παρωτίς, -ίδος (parôtís, -ídos) qui est formé du radical παρα-, à côté et de οὖς, ὠτός, oreille ; παρωτίς se traduit par tumeur le long des oreilles, oreillon, bout de l'oreille[1].
Situation
La glande parotide est située entre la branche montante de la mandibule en avant, le conduit auditif externe au-dessus, et la mastoïde en arrière. Elle est comprise dans une capsule fibreuse, et contenue dans une loge, appelée loge parotidienne.
Anatomie humaine

Morphologie
Chez l'homme, la glande parotide est la plus volumineuse des glandes salivaires principales, pesant 25 à 30 grammes chez l'adulte. De forme pyramidale, à sommet médial et base latérale, elle est moulée sur les parois de la loge parotidienne, entre la région rétro-stylienne en arrière, la région parapharyngée en dedans et la fosse infra-temporale en avant.
Elle est traversée par le nerf facial (qui dérive de la septième paire de nerf crânien, responsable de la mimique). C'est le principal élément nerveux, qui forme par ses ramifications terminales le plexus parotidien et qui divise la glande en deux lobes : superficiel et profond. Il y chemine également le nerf auriculo-temporal, branche du nerf mandibulaire.
Limites anatomiques
La loge parotidienne a une forme de prisme à sommet médial et base latérale dans laquelle va venir se mouler la parotide. Elle est limitée en postérieur par le diaphragme stylien, dans sa portion située en dehors du ligament stylo-hyoïdien. La paroi antérieure est formée de dehors en dedans par le muscle masséter, la branche de la mandibule, le ligament sphéno-mandibulaire, le muscle ptérygoïdien médial puis par le ligament stylo-mandibulaire. L’extrémité supérieure de cette région est étroite, formée par le méat acoustique externe en arrière et l’articulation temporo-mandibulaire en avant. Son extrémité inférieure est large, et correspond à la cloison inter-mandibulo-parotidienne elle-même formée de la bandelette mandibulaire en dehors, qui unit l’angle mandibulaire au muscle sterno-cléido-mastoïdien, et du ligament stylo-mandibulaire en dedans. Cette cloison est traversée par les veines jugulaire externe et rétro-mandibulaire et marque la limite avec la région submandibulaire.
Prolongements anatomiques
La glande parotide peut présenter plusieurs prolongements anatomiques. En avant, il peut exister un prolongement dans le tunnel stylo-mandibulaire, aussi dénommé boutonnière rétro condylienne de Juvara, situé en dedans du col du condyle. Ce trajet est aussi emprunté par le paquet vasculo-nerveux maxillaire et le nerf auriculo-temporal. En dehors elle présente deux prolongements souvent volumineux : un prolongement antéro externe en dehors de la face latérale du muscle masséter, et un prolongement postéro-externe qui déborde sur la face latérale du muscle sterno-cléido-mastoïdien. En arrière, on peut retrouver un prolongement traversant le rideau stylien, entre le muscle stylo-hyoïdien et le ventre postérieur du muscle digastrique. En dedans, la glande peut aussi se prolonger entre le ligament sphéno-mandibulaire et le ligament sphéno-maxillaire, pour donner un prolongement qui se développe alors aux dépens de l’espace para-pharyngé.
Éléments anatomiques traversant la parotide

La parotide est traversée par différents éléments vasculo-nerveux, avec de dedans en dehors :
- le nerf auriculo-temporal ;
- l’artère carotide externe ;
- le plexus veineux intra- parotidien ;
- puis le nerf facial, qui délimite artificiellement la parotide en deux lobes : superficiel en dehors et profond en dedans.
Vascularisation
Les vaisseaux sont situés médialement par rapport au plexus et cette vascularisation est assurée par l'artère carotide externe ou par ses branches : artère temporale superficielle, artère maxillaire et artère auriculaire postérieure. Les artérioles remontent ensuite le long des canaux formant un premier plexus vasculaire au niveau des canaux striés, puis un second au niveau des acini. Le retour veineux se fait par la veine jugulaire externe et par la veine rétro-mandibulaire.
Drainage lymphatique

La parotide se draine dans les nœuds lymphatiques parotidiens, puis dans les nœuds cervicaux profonds, en cheminant le long de l'artère carotide externe.
Innervation
L'innervation parotidienne est double, sensitive et autonome. L'innervation sensitive est assurée par le nerf auriculo-temporal, branche du nerf mandibulaire V3, qui va innerver la glande, sa capsule et la peau en regard. Ce nerf véhicule aussi les fibres parasympathiques sécrétoires post-ganglionnaires otiques.
L'innervation autonome permet le contrôle de la production de salive et est dédiée par le nerf glossopharyngien (IX). Les fibres pré-ganglionnaires de ce nerf gagnent le ganglion otique par le plexus tympanique, et le nerf petit pétreux. L'innervation sympathique provient du plexus carotidien externe.
Conduit excréteur
Le conduit excréteur de la glande parotide est le conduit parotidien (anciennement nommé canal de Sténon[2]). Il démarre au bord antérieur de la glande parotide, par réunion des canaux efférents plus postérieurs, puis chemine sous la peau, en superficie par rapport au muscle masséter, dans un dédoublement du fascia masséterique. Il contourne ensuite le corps adipeux de la joue (anciennement nommé boule de Bichat), perfore le muscle buccinateur, et se termine dans la cavité buccale en regard de la deuxième molaire supérieure. L'orifice de sortie de sortie vestibulaire y forme une saillie muqueuse appelée papille parotidienne. Long d'environ 5 cm chez l'adulte, il peut être exploré spécifiquement par sialendoscopie.
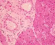
Histologie

C'est une glande exocrine, composée d'acini séreux (noyaux ronds, lumière étroite, sombre en microscopie optique en coloration HE). Elle produit l'alpha-amylase qui permet une première dégradation des sucres.
Elle possède une capsule qui émet des cloisons incomplètes à l'intérieur de la glande, délimitant des lobules. La sécrétion est excrétée par les canaux intercalaires (avec passage de Boll, qui a un épithélium cubique simple dont la lumière est plus étroite que la lumière de l'acinus, puis canal de Pflügger avec un épithélium prismatique simple), puis canaux intralobulaires (épithélium prismatique simple) s'abouchant dans les canaux interlobaires (épithélium prismatique bistratifié), et enfin se terminant au niveau du canal de Sténon (épithélium prismatique stratifié) qui s'abouche à la face interne de la joue (terminaison par un épithélium de type épidermoïde).
Embryologie
Les premières ébauches de la parotide apparaissent lors de la 6e semaine de vie intra-utérine. Elle se développe aux dépens de bourgeons épithéliaux d'origine épiblastique endoblastique ou mixte. Le mésenchyme va donner le tissu conjonctif et la capsule, tandis que l'ectoderme va former un tunnel, se refermant progressivement, donnant de multiples ramifications, dont chaque terminaisons va donner un acinus[3]. Le développement se fait ensuite progressivement et parallèlement au développement du nerf facial. On voit apparaitre les lumières dans les différents canaux de 1er ordre au 3ème ordre entre la 8e et la 9e semaine de gestation[4].
Exploration
Imagerie
Du fait de sa position superficielle, la parotide est explorée préférentiellement par une échographie, qui permet d'explorer le parenchyme glandulaire, la capsule, les canaux excréteurs et la vascularisation. En temps normal, le parenchyme est régulier, et aucun canal, y compris le conduit parotidien, ne peuvent être individualisés. Cet examen rapide et atraumatique, est donc utilisé en cas de masse de la région parotidienne pour différencier une tumeur parotidienne d'un diagnostic différentiel (adénopathie...). Il peut aussi permettre le diagnostic de pathologies inflammatoires[5], et des pathologies lithiasiques. L'échographie peut aussi permettre de guider la cytoponction pour augmenter sa rentabilité diagnostique .
L'IRM est l'examen morphologique de choix pour explorer le parenchyme parotidien[6]. C'est un examen indispensable pour caractériser une tumeur parotidienne. Des séquences de perfusion au gadolinium et de diffusion sont réalisées pour compléter les séquences morphologiques T2 et T1, et permettre de caractériser avec précision une tumeur bénigne d'une tumeur maligne[7]. Il existe aussi des séquences IRM de sialoIRM, qui permettent de visualiser avec précision les canaux excréteurs et le conduit parotidien, en cas de pathologie salivaire obstructive.
Le scanner est parfois utilisé bien que moins que les deux examens précédents. Il est en effet souvent artéfacté par les composites dentaires, localisés à proximité. Il permet de déterminer avec précision un envahissement osseux en cas de tumeur, et peut aussi être utilisé pour localiser une lithiase salivaire[8].
La sialographie est un examen d'imagerie consistant à injecter dans le conduit parotidien, via la papille parotidienne, un produit de contraste, suivi de clichés d'imagerie. Cet examen est utilise lors de processus infectieux ou rétentifs, mais tend de nos jours à être remplacée par la sialoIRM.
Exploration instrumentale
La sialendoscopie est une technique instrumentale consistant à introduire une caméra, associé le plus souvent à un canal opérateur, dans le conduit parotidien. Elle est utilisée en cas de pathologie lithiasique, de pathologie non lithiatique obstructive, ou en cas de pathologies inflammatoires, et peut être utilisée à visée diagnostique en cas de parotidomégalie.
L'exploration d'une tumeur parotidienne peut comprendre la réalisation d'une cytoponction, prélèvement cytologique pouvant être guidé ou non par échographie, permettant de déterminer la nature d'une lésion[6].
Pathologie
- Parotidite : de cause infectieuse (d'origine virale — par exemple pour les oreillons — ou bactérienne) ou lors d'une maladie de système comme la sarcoïdose, le syndrome de Gougerot-Sjögren ou la tuberculose.
- Lithiase parotidienne.
- Tumeurs parotidiennes. L'adénome pléomorphe est la forme histologique la plus fréquente.
Chirurgie
La chirurgie parotidienne consiste à retirer une portion plus ou moins étendue de la glande parotide. Cette chirurgie s'appelle la parotidectomie.
Notes et références
- « PAROTIDE : Etymologie de PAROTIDE », sur www.cnrtl.fr (consulté le )
- « Glande parotide », sur le dictionnaire de l’Académie nationale de médecine
- (en) Grant W. Carlson, « THE SALIVARY GLANDS », Surgical Clinics of North America, vol. 80, no 1, , p. 261–273 (DOI 10.1016/S0039-6109(05)70405-9, lire en ligne, consulté le )
- (en) Raymond F. Gasser, « The early development of the parotid gland around the facial nerve and its branches in man », The Anatomical Record, vol. 167, no 1, , p. 63–77 (ISSN 1097-0185, DOI 10.1002/ar.1091670107, lire en ligne, consulté le )
- Dr Divi Cornec, Dr Sandrine Jousse-Joulin, Dr Sophie Geoffroy du Coudret, Pr Alain Saraux, Pr Valérie Devauchelle-Pensec, « L’échographie des glandes salivaires. Un examen indispensable au diagnostic du syndrome de Gougerot-Sjögren »

- M. Boucenna Feumi-Jantou, « Imagerie avancée de la parotide », La Lettre d'ORL et de chirurgie cervico-faciale, avril-mai-juin 2017 (lire en ligne
) - Emile Reyt, « Diagnostic d’une tuméfaction parotidienne », Corpus Médical – Faculté de Médecine de Grenoble, (lire en ligne
) - « Explorations radiologiques des glandes salivaires », sur Institut d'Explorations Fonctionnelles des Glandes Salivaires (consulté le )
Annexes
Bibliographie en langue française
- Pierre Kamina, Anatomie Clinique : Tête Cou Dos, t. II, Maloine, coll. « Anatomie Clinique » (no 2), , 3e éd., 394 p. (ISBN 978-2-224-02958-6), p. 302 - 304
- Henri Rouvière et Vincent Delmas, Anatomie humaine : Descriptive, topographique et fonctionnelle, t. I : Tête et cou, Paris, Masson, , 15e éd. (ISBN 2-294-00391-8), p. 479-482
- Pierre Bonfils et Jean Marc Chevallier, Anatomie ORL, Paris, Lavoisier, 2011, 3e éd. (ISBN 2257204581 et 978-2257204585)
Publications scientifiques en langue anglaise
- (en) Amit Kochhar, Babak Larian et Babak Azizzadeh, « Facial Nerve and Parotid Gland Anatomy », Otolaryngologic Clinics of North America, vol. 49, no 2, , p. 273–284 (DOI 10.1016/j.otc.2015.10.002, lire en ligne, consulté le )
Voir aussi
Articles connexes
- Portail de l’anatomie
- Portail de la médecine
- Portail de la physiologie