Cholesterolosis of gallbladder
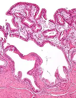
Micrograph of cholesterolosis of the gallbladder, with an annotated foam cell. H&E stain.
SpecialtyGastroenterology Edit this on Wikidata

In surgical pathology, strawberry gallbladder, more formally cholesterolosis of the gallbladder and gallbladder cholesterolosis, is a change in the gallbladder wall due to excess cholesterol.[1]

The name strawberry gallbladder comes from the typically stippled appearance of the mucosal surface on gross examination, which resembles a strawberry. Cholesterolosis results from abnormal deposits of cholesterol esters in macrophages within the lamina propria (foam cells) and in mucosal epithelium. The gallbladder may be affected in a patchy localized form or in a diffuse form. The diffuse form macroscopically appears as a bright red mucosa with yellow mottling (due to lipid), hence the term strawberry gallbladder. It is not tied to cholelithiasis (gallstones) or cholecystitis (inflammation of the gallbladder).[2]

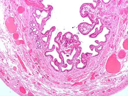
Additional images

See also

References

  1. Strawberry gallbladder - cancerweb.ncl.ac.uk.
  2. "Cholesterolosis of the Gall Bladder".

Further reading

  • Izzo L, Boschetto A, Brachini G, et al. (2001). "["Strawberry" gallbladder: review of the literature and our experience]". Il Giornale di Chirurgia (in Italian). 22 (1–2): 33–6. PMID 11272434.
This article is issued from Wikipedia. The text is licensed under Creative Commons - Attribution - Sharealike. Additional terms may apply for the media files.