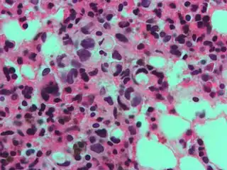
Signet ring cell, as seen in a case of colon adenocarcinoma with mucinous features, showing a tumor cell with a vacuole of mucin. H&E stain.
Signet ring for comparison.

In histology, a signet ring cell is a cell with a large vacuole. The malignant type is seen predominantly in carcinomas. Signet ring cells are most frequently associated with stomach cancer,[1] but can arise from any number of tissues including the prostate,[2] bladder, gallbladder,[3] breast, colon,[4] ovarian stroma and testis.[5]

Types

The NCI Thesaurus identifies the following types of signet ring cell

  • Castration cell, a non-malignant cell arising in the anterior pituitary gland under certain abnormal hormonal conditions.
  • Neoplastic thyroid gland follicular signet ring cell
  • Signet ring adenocarcinoma cell
  • Signet ring melanoma cell
  • Signet ring stromal cell

Appearance

The name of the cell comes from its appearance; signet ring cells resemble signet rings. They contain a large amount of mucin, which pushes the nucleus to the cell periphery. The pool of mucin in a signet ring cell mimics the appearance of a finger hole and the nucleus mimics the appearance of the face of the ring in profile.

Diagnostic significance

A significant number of signet ring cells, generally, are associated with a worse prognosis.[6][7]

Classification of carcinomas

SRC carcinomas can be classified using immunohistochemistry.[8]

See also

References

  1. Cancer Research UK. Signet Ring Cancer. cancerhelp.org.uk. URL: http://www.cancerhelp.org.uk/help/default.asp?page=7581 Archived 2007-10-14 at the Wayback Machine. Accessed on: November 2, 2007.
  2. Leong FJ, Leong AS, Swift J (1996). "Signet-ring carcinoma of the prostate". Pathol. Res. Pract. 192 (12): 1232–8, discussion 1239–41. doi:10.1016/S0344-0338(96)80156-7. PMID 9182294.
  3. Jain V, Gupta K, Kudva R, Rodrigues GS (2006). "A case of ovarian metastasis of gallbladder carcinoma simulating primary ovarian neoplasm: diagnostic pitfalls and review of literature". Int. J. Gynecol. Cancer. 16 Suppl 1: 319–21. doi:10.1111/j.1525-1438.2006.00335.x. PMID 16515613.
  4. Makino T, Tsujinaka T, Mishima H, et al. (2006). "Primary signet-ring cell carcinoma of the colon and rectum: report of eight cases and review of 154 Japanese cases". Hepatogastroenterology. 53 (72): 845–9. PMID 17153438.
  5. Michal M, Hes O, Kazakov DV (2005). "Primary signet-ring stromal tumor of the testis". Virchows Arch. 447 (1): 107–10. doi:10.1007/s00428-005-1218-2. PMID 15909171.
  6. Lee WS, Chun HK, Lee WY, et al. (2007). "Treatment outcomes in patients with signet ring cell carcinoma of the colorectum". Am. J. Surg. 194 (3): 294–8. doi:10.1016/j.amjsurg.2006.12.041. PMID 17693269.
  7. Cabebe EC, Mehta VK, Fisher G. Gastric Cancer. eMedicine.com. URL: http://www.emedicine.com/med/topic845.htm. Accessed on: November 8, 2007.
  8. Tian MM, Zhao AL, Li ZW, Li JY (2007). "Phenotypic classification of gastric signet ring cell carcinoma and its relationship with clinicopathologic parameters and prognosis". World J. Gastroenterol. 13 (23): 3189–98. PMID 17589897.
This article is issued from Wikipedia. The text is licensed under Creative Commons - Attribution - Sharealike. Additional terms may apply for the media files.