Unicellular organism
Valonia ventricosa, a species of alga with a diameter that ranges typically from 1 to 4 centimetres (0.4 to 1.6 in) is among the largest unicellular species

A unicellular organism, also known as a single-celled organism, is an organism that consists of a single cell, unlike a multicellular organism that consists of multiple cells. Organisms fall into two general categories: prokaryotic organisms and eukaryotic organisms. Most prokaryotes are unicellular and are classified into bacteria and archaea. Many eukaryotes are multicellular, but some are unicellular such as protozoa, unicellular algae, and unicellular fungi. Unicellular organisms are thought to be the oldest form of life, with early protocells possibly emerging 3.8–4.0 billion years ago.[1][2]

Although some prokaryotes live in colonies, they are not specialised cells with differing functions. These organisms live together, and each cell must carry out all life processes to survive. In contrast, even the simplest multicellular organisms have cells that depend on each other to survive.

Most multicellular organisms have a unicellular life-cycle stage. Gametes, for example, are reproductive unicells for multicellular organisms.[3] Additionally, multicellularity appears to have evolved independently many times in the history of life.

Some organisms are partially unicellular, like Dictyostelium discoideum. Additionally, unicellular organisms can be multinucleate, like Caulerpa, Plasmodium, and Myxogastria.

Evolutionary hypothesis

Primitive protocells were the precursors to today's unicellular organisms. Although the origin of life is largely still a mystery, in the currently prevailing theory, known as the RNA world hypothesis, early RNA molecules would have been the basis for catalyzing organic chemical reactions and self-replication.[4]

Compartmentalization was necessary for chemical reactions to be more likely as well as to differentiate reactions with the external environment. For example, an early RNA replicator ribozyme may have replicated other replicator ribozymes of different RNA sequences if not kept separate.[5] Such hypothetic cells with an RNA genome instead of the usual DNA genome are called 'ribocells' or 'ribocytes'.[4]

When amphiphiles like lipids are placed in water, the hydrophobic tails aggregate to form micelles and vesicles, with the hydrophilic ends facing outwards.[2][5] Primitive cells likely used self-assembling fatty-acid vesicles to separate chemical reactions and the environment.[5] Because of their simplicity and ability to self-assemble in water, it is likely that these simple membranes predated other forms of early biological molecules.[2]

Prokaryotes

Prokaryotes lack membrane-bound organelles, such as mitochondria or a nucleus.[6] Instead, most prokaryotes have an irregular region that contains DNA, known as the nucleoid.[7] Most prokaryotes have a single, circular chromosome, which is in contrast to eukaryotes, which typically have linear chromosomes.[8] Nutritionally, prokaryotes have the ability to utilize a wide range of organic and inorganic material for use in metabolism, including sulfur, cellulose, ammonia, or nitrite.[9] Prokaryotes are relatively ubiquitous in the environment and some (known as extremophiles) thrive in extreme environments.

Bacteria

Modern stromatolites in Shark Bay, Western Australia. It can take a century for a stromatolite to grow 5 cm.[10]

Bacteria are one of the world's oldest forms of life, and are found virtually everywhere in nature.[9] Many common bacteria have plasmids, which are short, circular, self-replicating DNA molecules that are separate from the bacterial chromosome.[11] Plasmids can carry genes responsible for novel abilities, of current critical importance being antibiotic resistance.[12] Bacteria predominantly reproduce asexually through a process called binary fission. However, about 80 different species can undergo a sexual process referred to as natural genetic transformation.[13] Transformation is a bacterial process for transferring DNA from one cell to another, and is apparently an adaptation for repairing DNA damage in the recipient cell.[14] In addition, plasmids can be exchanged through the use of a pilus in a process known as conjugation.[12]

The photosynthetic cyanobacteria are arguably the most successful bacteria, and changed the early atmosphere of the earth by oxygenating it.[15] Stromatolites, structures made up of layers of calcium carbonate and trapped sediment left over from cyanobacteria and associated community bacteria, left behind extensive fossil records.[15][16] The existence of stromatolites gives an excellent record as to the development of cyanobacteria, which are represented across the Archaean (4 billion to 2.5 billion years ago), Proterozoic (2.5 billion to 540 million years ago), and Phanerozoic (540 million years ago to present day) eons.[16] Much of the fossilized stromatolites of the world can be found in Western Australia.[16] There, some of the oldest stromatolites have been found, some dating back to about 3,430 million years ago.[16]

Clonal aging occurs naturally in bacteria, and is apparently due to the accumulation of damage that can happen even in the absence of external stressors.[17]

Archaea

A bottom-dwelling community found deep in the European Arctic.[18]

Hydrothermal vents release heat and hydrogen sulfide, allowing extremophiles to survive using chemolithotrophic growth.[19] Archaea are generally similar in appearance to bacteria, hence their original classification as bacteria, but have significant molecular differences most notably in their membrane structure and ribosomal RNA.[20][21] By sequencing the ribosomal RNA, it was found that the Archaea most likely split from bacteria and were the precursors to modern eukaryotes, and are actually more phylogenetically related to eukaryotes.[21] As their name suggests, Archaea comes from a Greek word archaios, meaning original, ancient, or primitive.[22]

Some archaea inhabit the most biologically inhospitable environments on earth, and this is believed to in some ways mimic the early, harsh conditions that life was likely exposed to. Examples of these Archaean extremophiles are as follows:

Methanogens are a significant subset of archaea and include many extremophiles, but are also ubiquitous in wetland environments as well as the ruminant and hindgut of animals.[27] This process utilizes hydrogen to reduce carbon dioxide into methane, releasing energy into the usable form of adenosine triphosphate.[27] They are the only known organisms capable of producing methane.[28] Under stressful environmental conditions that cause DNA damage, some species of archaea aggregate and transfer DNA between cells.[29] The function of this transfer appears to be to replace damaged DNA sequence information in the recipient cell by undamaged sequence information from the donor cell.[30]

Eukaryotes

Eukaryotic cells contain membrane bound organelles, such as mitochondria, a nucleus, and chloroplasts. Prokaryotic cells probably transitioned into eukaryotic cells between 2.0 and 1.4 billion years ago.[31] This was an important step in evolution. In contrast to prokaryotes, eukaryotes reproduce by using mitosis and meiosis. Sex appears to be a ubiquitous and ancient, and inherent attribute of eukaryotic life.[32] Meiosis, a true sexual process, allows for efficient recombinational repair of DNA damage [14] and a greater range of genetic diversity by combining the DNA of the parents followed by recombination.[31] Metabolic functions in eukaryotes are more specialized as well by sectioning specific processes into organelles.

The endosymbiotic theory holds that mitochondria and chloroplasts have bacterial origins. Both organelles contain their own sets of DNA and have bacteria-like ribosomes. It is likely that modern mitochondria were once a species similar to Rickettsia, with the parasitic ability to enter a cell.[33] However, if the bacteria were capable of respiration, it would have been beneficial for the larger cell to allow the parasite to live in return for energy and detoxification of oxygen.[33] Chloroplasts probably became symbionts through a similar set of events, and are most likely descendants of cyanobacteria.[34] While not all eukaryotes have mitochondria or chloroplasts, mitochondria are found in most eukaryotes, and chloroplasts are found in all plants and algae. Photosynthesis and respiration are essentially the reverse of one another, and the advent of respiration coupled with photosynthesis enabled much greater access to energy than fermentation alone.

Protozoa

Paramecium tetraurelia, a ciliate, with oral groove visible

Protozoa are largely defined by their method of locomotion, including flagella, cilia, and pseudopodia.[35] While there has been considerable debate on the classification of protozoa caused by their sheer diversity, in one system there are currently seven phyla recognized under the kingdom Protozoa: Euglenozoa, Amoebozoa, Choanozoa sensu Cavalier-Smith, Loukozoa, Percolozoa, Microsporidia and Sulcozoa.[36][37] Protozoa, like plants and animals, can be considered heterotrophs or autotrophs.[33] Autotrophs like Euglena are capable of producing their energy using photosynthesis, while heterotrophic protozoa consume food by either funneling it through a mouth-like gullet or engulfing it with pseudopods, a form of phagocytosis.[33] While protozoa reproduce mainly asexually, some protozoa are capable of sexual reproduction.[33] Protozoa with sexual capability include the pathogenic species Plasmodium falciparum, Toxoplasma gondii, Trypanosoma brucei, Giardia duodenalis and Leishmania species.[14]

Ciliophora, or ciliates, are a group of protists that utilize cilia for locomotion. Examples include Paramecium, Stentors, and Vorticella.[38] Ciliates are widely abundant in almost all environments where water can be found, and the cilia beat rhythmically in order to propel the organism.[39] Many ciliates have trichocysts, which are spear-like organelles that can be discharged to catch prey, anchor themselves, or for defense.[40][41] Ciliates are also capable of sexual reproduction, and utilize two nuclei unique to ciliates: a macronucleus for normal metabolic control and a separate micronucleus that undergoes meiosis.[40] Examples of such ciliates are Paramecium and Tetrahymena that likely employ meiotic recombination for repairing DNA damage acquired under stressful conditions.

The Amebozoa utilize pseudopodia and cytoplasmic flow to move in their environment. Entamoeba histolytica is the cause of amebic dysentery.[42] Entamoeba histolytica appears to be capable of meiosis.[43]

Unicellular algae

A scanning electron microscope image of a diatom

Unicellular algae are plant-like autotrophs and contain chlorophyll.[44] They include groups that have both multicellular and unicellular species:

  • Euglenophyta, flagellated, mostly unicellular algae that occur often in fresh water.[44] In contrast to most other algae, they lack cell walls and can be mixotrophic (both autotrophic and heterotrophic).[44] An example is Euglena gracilis.
  • Chlorophyta (green algae), mostly unicellular algae found in fresh water.[44] The chlorophyta are of particular importance because they are believed to be most closely related to the evolution of land plants.[45]
  • Diatoms, unicellular algae that have siliceous cell walls.[46] They are the most abundant form of algae in the ocean, although they can be found in fresh water as well.[46] They account for about 40% of the world's primary marine production, and produce about 25% of the world's oxygen.[47] Diatoms are very diverse, and comprise about 100,000 species.[47]
  • Dinoflagellates, unicellular flagellated algae, with some that are armored with cellulose.[48] Dinoflagellates can be mixotrophic, and are the algae responsible for red tide.[45] Some dinoflagellates, like Pyrocystis fusiformis, are capable of bioluminescence.[49]

Unicellular fungi

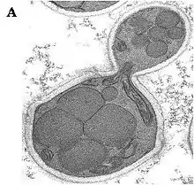
Transmission electron microscope image of budding Ogataea polymorpha

Unicellular fungi include the yeasts. Fungi are found in most habitats, although most are found on land.[50] Yeasts reproduce through mitosis, and many use a process called budding, where most of the cytoplasm is held by the mother cell.[50] Saccharomyces cerevisiae ferments carbohydrates into carbon dioxide and alcohol, and is used in the making of beer and bread.[51] S. cerevisiae is also an important model organism, since it is a eukaryotic organism that is easy to grow. It has been used to research cancer and neurodegenerative diseases as well as to understand the cell cycle.[52][53] Furthermore, research using S. cerevisiae has played a central role in understanding the mechanism of meiotic recombination and the adaptive function of meiosis. Candida spp. are responsible for candidiasis, causing infections of the mouth and/or throat (known as thrush) and vagina (commonly called yeast infection).[54]

Macroscopic unicellular organisms

Most unicellular organisms are of microscopic size and are thus classified as microorganisms. However, some unicellular protists and bacteria are macroscopic and visible to the naked eye.[55] Examples include:

See also

References

  1. An Introduction to Cells, ThinkQuest, retrieved 2013-05-30
  2. 1 2 3 Pohorille, Andrew; Deamer, David (2009-06-23). "Self-assembly and function of primitive cell membranes". Research in Microbiology. 160 (7): 449–456. doi:10.1016/j.resmic.2009.06.004. PMID 19580865.
  3. Coates, Juliet C.; Umm-E-Aiman; Charrier, Bénédicte (2015-01-01). "Understanding "green" multicellularity: do seaweeds hold the key?". Frontiers in Plant Science. 5: 737. doi:10.3389/fpls.2014.00737. PMC 4299406. PMID 25653653.
  4. 1 2 Lane N (2015). The Vital Question – Energy, Evolution, and the Origins of Complex Life. WW Norton. p. 77. ISBN 978-0-393-08881-6.
  5. 1 2 3 "Exploring Life's Origins: Fatty Acids". exploringorigins.org. Retrieved 2015-10-28.
  6. "Prokaryotes". webprojects.oit.ncsu.edu. Retrieved 2015-11-22.
  7. Kleckner, Nancy; Fisher, Jay K.; Stouf, Mathieu; White, Martin A.; Bates, David; Witz, Guillaume (2014-12-01). "The bacterial nucleoid: nature, dynamics and sister segregation". Current Opinion in Microbiology. Growth and development: eukaryotes/ prokaryotes. 22: 127–137. doi:10.1016/j.mib.2014.10.001. PMC 4359759. PMID 25460806.
  8. "Eukaryotic Chromosome Structure | Science Primer". scienceprimer.com. Retrieved 2015-11-22.
  9. 1 2 Smith, Dwight G (2015). Bacteria. Salem Press Encyclopedia of Science. ISBN 978-1-58765-084-0.
  10. "Nature Fact Sheets – Stromatolites of Shark Bay » Shark Bay". www.sharkbay.org.au. Retrieved 2015-11-22.
  11. "Conjugation (prokaryotes)". www.nature.com. Retrieved 2015-11-22.
  12. 1 2 Cui, Yanhua; Hu, Tong; Qu, Xiaojun; Zhang, Lanwei; Ding, Zhongqing; Dong, Aijun (2015-06-10). "Plasmids from Food Lactic Acid Bacteria: Diversity, Similarity, and New Developments". International Journal of Molecular Sciences. 16 (6): 13172–13202. doi:10.3390/ijms160613172. PMC 4490491. PMID 26068451.
  13. Johnston C, Martin B, Fichant G, Polard P, Claverys JP (2014). "Bacterial transformation: distribution, shared mechanisms and divergent control". Nat. Rev. Microbiol. 12 (3): 181–96. doi:10.1038/nrmicro3199. PMID 24509783. S2CID 23559881.
  14. 1 2 3 Bernstein, Harris; Bernstein, Carol; Michod, Richard E. (January 2018). "Sex in microbial pathogens". Infection, Genetics and Evolution. 57: 8–25. doi:10.1016/j.meegid.2017.10.024. PMID 29111273.
  15. 1 2 "Fossil Record of the Cyanobacteria". www.ucmp.berkeley.edu. Retrieved 2015-11-22.
  16. 1 2 3 4 McNamara, Kenneth (2009-09-01). Stromatolites. Western Australian Museum. ISBN 978-1-920843-88-5.
  17. Łapińska, U; Glover, G; Capilla-Lasheras, P; Young, AJ; Pagliara, S (2019). "Bacterial ageing in the absence of external stressors". Philos Trans R Soc Lond B Biol Sci. 374 (1786): 20180442. doi:10.1098/rstb.2018.0442. PMC 6792439. PMID 31587633.
  18. "NOAA Ocean Explorer: Arctic Exploration 2002: Background". oceanexplorer.noaa.gov. Retrieved 2015-11-22.
  19. Barton, Larry L.; Fardeau, Marie-Laure; Fauque, Guy D. (2014-01-01). "Hydrogen Sulfide: A Toxic Gas Produced by Dissimilatory Sulfate and Sulfur Reduction and Consumed by Microbial Oxidation". The Metal-Driven Biogeochemistry of Gaseous Compounds in the Environment. Metal Ions in Life Sciences. Vol. 14. pp. 237–277. doi:10.1007/978-94-017-9269-1_10. ISBN 978-94-017-9268-4. ISSN 1559-0836. PMID 25416397.
  20. "Archaea". www.microbeworld.org. Retrieved 2015-11-22.
  21. 1 2 "Archaeal Ribosomes". www.els.net. Retrieved 2015-11-22.
  22. "archaea | prokaryote". Encyclopedia Britannica. Retrieved 2015-11-22.
  23. 1 2 3 4 5 6 Gupta, G.N.; Srivastava, S.; Khare, S.K.; Prakash, V. (2014). "Extremophiles: An Overview of Microorganism from Extreme Environment". International Journal of Agriculture, Environment and Biotechnology. 7 (2): 371. doi:10.5958/2230-732X.2014.00258.7. Retrieved 2015-11-22.
  24. Falb, Michaela; Pfeiffer, Friedhelm; Palm, Peter; Rodewald, Karin; Hickmann, Volker; Tittor, Jörg; Oesterhelt, Dieter (2005-10-01). "Living with two extremes: Conclusions from the genome sequence of Natronomonas pharaonis". Genome Research. 15 (10): 1336–1343. doi:10.1101/gr.3952905. ISSN 1088-9051. PMC 1240075. PMID 16169924.
  25. "Acidophiles". www.els.net. Retrieved 2015-11-22.
  26. ""Extremophiles: Archaea and Bacteria" : Map of Life". www.mapoflife.org. Retrieved 2015-11-22.
  27. 1 2 "Methanogens". www.vet.ed.ac.uk. Retrieved 2015-11-22.
  28. Hook, Sarah E.; Wright, André-Denis G.; McBride, Brian W. (2010-01-01). "Methanogens: methane producers of the rumen and mitigation strategies". Archaea. 2010: 945785. doi:10.1155/2010/945785. ISSN 1472-3654. PMC 3021854. PMID 21253540.
  29. van Wolferen M, Wagner A, van der Does C, Albers SV (2016). "The archaeal Ced system imports DNA". Proc. Natl. Acad. Sci. U.S.A. 113 (9): 2496–501. Bibcode:2016PNAS..113.2496V. doi:10.1073/pnas.1513740113. PMC 4780597. PMID 26884154.
  30. Witzany, Guenther, ed. (2017). Biocommunication of Archaea. doi:10.1007/978-3-319-65536-9. ISBN 978-3-319-65535-2. S2CID 26593032.
  31. 1 2 Yett, Jay R. (2015). Eukaryotes. Salem Press Encyclopedia of Science.
  32. Speijer, D.; Lukeš, J.; Eliáš, M. (2015). "Sex is a ubiquitous, ancient, and inherent attribute of eukaryotic life". Proc. Natl. Acad. Sci. U.S.A. 112 (29): 8827–34. Bibcode:2015PNAS..112.8827S. doi:10.1073/pnas.1501725112. PMC 4517231. PMID 26195746.
  33. 1 2 3 4 5 "Origin of Mitochondria". Nature. Retrieved 2015-11-23.
  34. "Endosymbiosis and The Origin of Eukaryotes". users.rcn.com. Retrieved 2015-11-23.
  35. Klose, Robert T (2015). Protozoa. Salem Press Encyclopedia of Science.
  36. Ruggiero, Michael A.; Gordon, Dennis P.; Orrell, Thomas M.; Bailly, Nicolas; Bourgoin, Thierry; Brusca, Richard C.; Cavalier-Smith, Thomas; Guiry, Michael D.; Kirk, Paul M. (2015-04-29). "A Higher Level Classification of All Living Organisms". PLOS ONE. 10 (4): e0119248. Bibcode:2015PLoSO..1019248R. doi:10.1371/journal.pone.0119248. PMC 4418965. PMID 25923521.
  37. "Protozoa". www.microbeworld.org. Retrieved 2015-11-23.
  38. "Ciliophora: ciliates, move with cilia". www.microscope-microscope.org. Retrieved 2015-11-23.
  39. "Introduction to the Ciliata". www.ucmp.berkeley.edu. Retrieved 2015-11-23.
  40. 1 2 "ciliate | protozoan". Encyclopedia Britannica. Retrieved 2015-11-23.
  41. Sugibayashi, Rika; Harumoto, Terue (2000-12-29). "Defensive function of trichocysts in Paramecium tetraurelia against heterotrich ciliate Climacostomum virens". European Journal of Protistology. 36 (4): 415–422. doi:10.1016/S0932-4739(00)80047-4.
  42. "amoeba | protozoan order". Encyclopedia Britannica. Retrieved 2015-11-23.
  43. Kelso AA, Say AF, Sharma D, Ledford LL, Turchick A, Saski CA, King AV, Attaway CC, Temesvari LA, Sehorn MG (2015). "Entamoeba histolytica Dmc1 Catalyzes Homologous DNA Pairing and Strand Exchange That Is Stimulated by Calcium and Hop2-Mnd1". PLOS ONE. 10 (9): e0139399. Bibcode:2015PLoSO..1039399K. doi:10.1371/journal.pone.0139399. PMC 4589404. PMID 26422142.
  44. 1 2 3 4 "algae Facts, information, pictures | Encyclopedia.com articles about algae". www.encyclopedia.com. Retrieved 2015-11-23.
  45. 1 2 "Algae – Biology Encyclopedia – cells, plant, body, human, organisms, cycle, life, used, specific". www.biologyreference.com. Retrieved 2015-11-23.
  46. 1 2 "siliceous cell walls". www.mbari.org. Retrieved 2015-11-23.
  47. 1 2 "Diatoms are the most important group of photosynthetic eukaryotes – Site du Genoscope". www.genoscope.cns.fr. Retrieved 2015-11-23.
  48. "Algae Classification: DINOPHYTA". Smithsonian National Museum of Natural History.
  49. "BL Web: Growing dinoflagellates at home". biolum.eemb.ucsb.edu. Retrieved 2015-11-23.
  50. 1 2 "Microbiology Online | Microbiology Society | About Microbiology – Introducing microbes – Fungi". www.microbiologyonline.org.uk. Retrieved 2015-11-23.
  51. Alba-Lois, Luisa; Segal-Kischinevzky, Claudia (2010). "Yeast Fermentation and the Making of Beer and Wine". Nature Education. 3 (9): 17. Retrieved 2015-11-23.
  52. "Saccharomyces cerevisiae – MicrobeWiki". MicrobeWiki. Retrieved 2015-11-23.
  53. "Using yeast in biology". www.yourgenome.org. Retrieved 2015-11-23.
  54. "Candidiasis | Types of Diseases | Fungal Diseases | CDC". www.cdc.gov. Retrieved 2015-11-23.
  55. Max Planck Society Research News Release Accessed 21 May 2009
  56. Ing, Bruce (1999). The myxomycetes of Britain and Ireland : an identification handbook. Slough, England: Richmond Pub. Co. p. 4. ISBN 0855462515.
  57. Researchers Identify Mysterious Life Forms in the Desert. Accessed 2011-10-24.
  58. Bauer, Becky (October 2008). "Gazing Balls in the Sea". All at Sea. Archived from the original on 17 September 2010. Retrieved 27 August 2010.
  59. John Wesley Tunnell; Ernesto A. Chávez; Kim Withers (2007). Coral reefs of the southern Gulf of Mexico. Texas A&M University Press. p. 91. ISBN 978-1-58544-617-9.
  60. "What is the Largest Biological Cell? (with pictures)". Wisegeek.com. 2014-02-23. Retrieved 2014-03-01.
  61. 1 2 Anne Helmenstine (2018-11-29). "What Is the Largest Unicellular Organism?". sciencenotes.org. Retrieved 2020-01-07.
This article is issued from Wikipedia. The text is licensed under Creative Commons - Attribution - Sharealike. Additional terms may apply for the media files.